Добавить в корзинуПозвонить
Найти в Дзене

Лейкоэнцефалопатия и дуральные артерио-венозные фистулы

Перевод статьи Leukoencephalopathy and Dural Arteriovenous Fistulas R. van den Berg, G.J. Lycklama à Nijeholt, and J.M.C. van Dijk Краниальные дуральные артериовенозные фистулы (DAVF) составляют 10–15% всех внутричерепных артериовенозных поражений. Точная причина их возникновения неизвестна. Они могут развиться после операции, травмы головы или тромбоза дурального синуса. Взрослые обычно приобретают такие фистулы, а у детей они встречаются редко. В некоторых случаях они могут проявляться еще до рождения или у новорожденных, часто связаны с аномалией дурального синуса. Симптомы DAVF зависят от самой фистулы, например, может появляться пульсирующий шум в ушах, или от венозной гипертензии в зоне пораженной вены. Симптомы и риск серьезных осложнений, таких как кровоизлияние в мозг, напрямую связаны с тем, как кровь отводится из фистулы. В зависимости от этого могут возникнуть симптомы в области глаз (например, выпученные глаза) и нарушения работы черепных нервов. Если кровь возвращается в
Оглавление

Перевод статьи Leukoencephalopathy and Dural Arteriovenous Fistulas R. van den Berg, G.J. Lycklama à Nijeholt, and J.M.C. van Dijk

Краниальные дуральные артериовенозные фистулы (DAVF) составляют 10–15% всех внутричерепных артериовенозных поражений. Точная причина их возникновения неизвестна. Они могут развиться после операции, травмы головы или тромбоза дурального синуса. Взрослые обычно приобретают такие фистулы, а у детей они встречаются редко. В некоторых случаях они могут проявляться еще до рождения или у новорожденных, часто связаны с аномалией дурального синуса.

Симптомы DAVF зависят от самой фистулы, например, может появляться пульсирующий шум в ушах, или от венозной гипертензии в зоне пораженной вены. Симптомы и риск серьезных осложнений, таких как кровоизлияние в мозг, напрямую связаны с тем, как кровь отводится из фистулы. В зависимости от этого могут возникнуть симптомы в области глаз (например, выпученные глаза) и нарушения работы черепных нервов. Если кровь возвращается в корковые вены, это может вызвать локальные неврологические нарушения, такие как проблемы с речью или слабость мышц. Фистулы могут также вызывать отдаленные симптомы, особенно если они находятся в областях кавернозного синуса, тенториума или большого затылочного отверстия. В таких случаях может возникать венозная перегрузка ствола мозга или спинного мозга, что приводит к специфическим симптомам. Повышенное венозное давление может затруднить отток жидкости в головном мозге, что приводит к отеку зрительного нерва и другим осложнениям. Эти нарушения могут проявляться симптомами паркинсонизма (например, замедленность движений и проблемы с ходьбой), а в тяжелых случаях — деменцией.

Наличие обратного оттока крови в корковые вены при DAVF связано с ежегодной смертностью 10,4%. Риск кровоизлияния оценивается в 8,1% в год, а риск неврологических нарушений без кровоизлияния — в 6,9%. Таким образом, ежегодный риск осложнений у пациентов с агрессивными DAVF составляет 15%.

Патология

Гистопатологически дуральные артериовенозные фистулы (DAVF) расположены в стенке синуса. Фистула не имеет промежуточного капиллярного русла или узла, и состоит из мелких венул. Отмечается гиперплазия внутренней оболочки как дуральных артерий, так и вен. Стенки артериол утолщены, что в основном проявляется гиперплазией средней оболочки. В 100% случаев в дуральных синусах обнаружены организованные тромбы.

Иммуногистохимически DAVF демонстрируют сильное окрашивание на основной фибробластический фактор роста (bFGF) в подэндотелиальном слое и гипертрофированной срединной оболочке артерий в стенке синуса, а также в фиброзной соединительной ткани вокруг синусов, при этом эндотелий не затронут. Фактор роста сосудистого эндотелия (VEGF) положительно окрашивается в эндотелии дурального синуса, мелких артерий и вен в стенках синуса. Также VEGF положительно окрашивается в эндотелии многих капилляров в синусах, которые закупорены организованным тромбом. Такие находки не встречаются в дуральных синусах контрольных образцов. Неизвестно, какие факторы стимулируют bFGF и VEGF, но предполагается, что гипоксия ткани или внутриполостное напряжение сдвига, вызванное венозной гипертензией, стимулирует экспрессию этих ангиогенных факторов роста.

Острые и хронические паренхимальные изменения при корковом венозном рефлюксе (агрессивный тип фистул) связаны с венозной гипертензией. Острые изменения включают диффузный отек мозга и точечные кровоизлияния в сером и белом веществе. Хронические изменения включают резко расширенные и утолщенные, гиалинизированные стенки паренхимальных вен. В белом веществе может развиваться глиоз.

Патогенетические соображения

Часто описывается связь DAVF с венозным тромбозом. Другим важным фактором, способствующим развитию DAVF, является венозная или синусовая гипертензия. Однако синусовый тромбоз не всегда приводит к развитию DAVF, и было высказано предположение, что венозная гипертензия является необходимым условием для формирования DAVF, даже при отсутствии тромбоза синуса. DAVF также может развиваться после внутричерепных операций, травм, хирургических вмешательств в отдаленных областях тела и в послеродовом периоде. Широкий спектр этиологических факторов не следует рассматривать как прямые причины DAVF, скорее они создают условия, благоприятные для их развития у определенных пациентов.

Существуют две основные теории патогенеза DAVF. Первая утверждает, что DAVF возникают вследствие увеличения уже существующих микрофистул в дуральной оболочке. Эти микрофистулы увеличиваются из-за повышенного венозного давления, связанного либо с тромбозом синуса, либо с нарушением оттока из синуса. Вторая теория указывает на развитие ангиогенных факторов, таких как упомянутые ранее bFGF и VEGF, либо непосредственно из-за организации тромбоза синуса, либо косвенно из-за местной гипоксии ткани, вызванной повышением венозного давления.

Для DAVF предложено множество классификаций, из которых наиболее часто используются классификации Бордена и Коньяра. Общая концепция обеих классификаций заключается в разделении DAVF с антеградным оттоком в дуральный синус (доброкачественный тип: Borden 1, Cognard типы I и IIa) и DAVF с корковым венозным рефлюксом (агрессивный тип: Borden 2 и 3, Cognard тип IIb и выше). Важность схемы венозного оттока заключается в корреляции с клинической симптоматикой и риском кровоизлияний. Обратная передача артериального давления в венозную сеть приводит к венозной гипертензии, застою и нарушению венозного дренажа паренхимы. Это вызывает хроническую (венозную) ишемию. В тех случаях, когда наблюдается обширный рефлюкс в сочетании с нарушением венозного оттока через синусы, венозное давление может значительно повыситься.

Классификация краниальных дуральных артериовенозных фистул

Классификация Бордена:

  1. Венозный отток напрямую в дуральный венозный синус или менингеальную вену.
  2. Венозный отток в дуральный венозный синус с корковым венозным рефлюксом.
  3. Венозный отток напрямую в субарахноидальные вены (только корковый венозный рефлюкс).

Классификация Коньяра:

  • I. Венозный отток в дуральный венозный синус с антеградным кровотоком.
  • IIa. Венозный отток в дуральный венозный синус с ретроградным кровотоком.
  • IIa-b. Венозный отток в дуральный венозный синус с ретроградным кровотоком и корковым венозным рефлюксом.
  • IIb. Венозный отток в дуральный венозный синус с антеградным кровотоком и корковым венозным рефлюксом.
  • III. Венозный отток напрямую в субарахноидальные вены (только корковый венозный рефлюкс).
  • IV. Тип III с венозными эктазиями дренирующих субарахноидальных вен.

57-летний мужчина обратился с жалобами на быстрое снижение когнитивных функций, связанное с дуральной артериовенозной фистулой (DAVF), расположенной в области торкуляра (срединное соединение дуральных синусов). На обычной компьютерной томографии (КТ) были выявлены расширенные мозговые вены в правой височной области.
57-летний мужчина обратился с жалобами на быстрое снижение когнитивных функций, связанное с дуральной артериовенозной фистулой (DAVF), расположенной в области торкуляра (срединное соединение дуральных синусов). На обычной компьютерной томографии (КТ) были выявлены расширенные мозговые вены в правой височной области.

Терапия

Естественное течение болезни связано с характером венозного дренажа при дуральных артериовенозных фистулах (DAVF). DAVF с антеградным оттоком проявляется только локальными симптомами, связанными с самой фистулой, и сопровождается низкой заболеваемостью и смертностью. В таких случаях лечение должно быть направлено на уменьшение локальных симптомов. Однако DAVF с корковым венозным рефлюксом может привести к серьёзным осложнениям и требует агрессивного лечения. Отключение коркового венозного рефлюкса является обязательным, чтобы защитить пациента от таких последствий, как внутричерепное кровоизлияние и неврологические нарушения без кровоизлияния. Частичное лечение не снижает риска этих осложнений.

Для лечения DAVF доступны как эндоваскулярная эмболизация, так и хирургическое вмешательство. Ранее стандартом лечения было хирургическое отключение фистульных вен, но с появлением жидких адгезивных эмболизирующих веществ, которые обеспечивают стойкий результат без реканализации, эти методы считаются равными по эффективности. Выбор метода лечения должен приниматься совместно интервенционным нейрорадиологом и нейрохирургом.

Если выбран эндоваскулярный метод лечения, предпочтительно использовать артериальный доступ. Цель артериальной эмболизации, при которой жидкий эмболизирующий агент, такой как н-бутилцианоакрилат (NBCA), считается более эффективным, чем частицы поливинилового спирта (PVA), заключается в том, чтобы проникнуть в фистульную точку и перекрыть проксимальную часть рефлюксирующей вены. Если это невозможно, показано закрытие фистульной вены через альтернативный доступ. Наименее агрессивным подходом является выборочное отключение рефлюксирующих вен. Это оставит DAVF без лечения. Если фистульная зона более обширна и корковый венозный рефлюкс обнаружен в нескольких участках дурального синуса, или если основной проблемой является венозная гипертензия, единственным вариантом лечения может стать облитерация синуса. Однако предварительно необходимо тщательное ангиографическое исследование венозного дренажа нормально функционирующих вен, включая вены задней черепной ямки. Жертвование дуральным синусом возможно только в случае, если обеспечен адекватный венозный отток из головного мозга. Если синус больше не используется для дренажа паренхимы мозга, и вены задней черепной ямки не впадают в поражённый сегмент, синус может быть закрыт.

Выборочное отключение коркового венозного рефлюкса или закрытие (части) дурального синуса может быть также выполнено с помощью открытого хирургического подхода или комбинации эндоваскулярных и хирургических методов. У пациентов с окклюзией поражённого синуса как с проксимальной, так и с дистальной стороны (изолированный синус), можно получить прямой доступ к поражённому синусу через небольшое трепанационное отверстие, что позволит напрямую проколоть дуральный синус. Затем фистульная зона DAVF может быть закрыта с использованием спиралей или других тромбогенных материалов.

Магнитно-резонансная томография (МРТ)

При наличии дуральной артериовенозной фистулы (DAVF) с корковым венозным рефлюксом на неусиленных снимках КТ могут быть видны гиподенсные участки, представляющие собой зоны глиоза, отека или венозной ишемии. Также могут быть отображены аномально увеличенные мозговые вены благодаря их большей плотности по сравнению с паренхимой мозга (рис. 101.1). Контрастное КТ выявит обширное усиление расширенной сети мозговых вен.

При отсутствии коркового венозного рефлюкса DAVF может быть не видна на МРТ. В таких случаях расположение DAVF в пределах твердой мозговой оболочки и отсутствие масс-эффекта на паренхиму мозга значительно затрудняют визуализацию фистульного узла на МРТ. МР-ангиография (МРА) является более чувствительной для отображения фистулы, хотя недостаток информации о потоке во времени является одним из её ограничений. МРА с введением болюса внутривенного контраста может устранить это ограничение.

При DAVF с корковым венозным рефлюксом МРТ показывает выраженные "пустоты потока" на поверхности мозга, соответствующие расширенным корковым сосудам, или более тонкие извилистые или точечные сосудистые структуры (рис. 101.2). Это является важным признаком правильного диагноза. Может наблюдаться гидроцефалия, вторичная по отношению к венозной гипертензии в верхнем сагиттальном синусе. Паренхима мозга, особенно белое вещество, может показывать гиперинтенсивность на Т2-взвешенных изображениях (рис. 101.2), что связано с венозной гипертензией и застойными явлениями в мозге на ранних стадиях и глиозом на более поздних стадиях. Поражение мозга может быть обширным (рис. 101.2) или очаговым (рис. 101.4). В зависимости от локализации шунта могут быть поражены мозжечок, глубокие серые ядра или ствол мозга. DAVF также описаны как причина двусторонних таламических гиперинтенсивностей на Т2-взвешенных изображениях.

Дифференциальный диагноз при двусторонних таламических гиперинтенсивностях на Т2 должен включать инфаркт основной артерии, опухолевую инфильтрацию и окклюзию глубоких вен. Дифференциальный диагноз более диффузных гиперинтенсивностей на Т2 может включать тромбоз верхнего сагиттального синуса с венозным застоем, диффузную глиому и другие лейкоэнцефалопатии. Однако комбинация большого количества расширенных мозговых сосудов, контрастного усиления этих сосудов и гиперинтенсивности глубокого белого вещества на Т2 весьма наводит на мысль о DAVF и требует дальнейшего ангиографического анализа.

Ангиография обязательна для подтверждения диагноза DAVF и планирования лечения. Селективные контрастные инъекции в различные ветви наружной сонной артерии выявят быстрое артериовенозное шунтирование через фистулу в венозную систему мозга, что приводит к артериализации венозной системы. Важными сопутствующими находками являются обструкция оттока из-за окклюзии венозного синуса, что может приводить к внекраниальному дренажу через коллатеральные пути, включая орбитальную систему, и увеличивает риск ретроградного кровотока в корковые и мозжечковые вены. Время прохождения контраста при селективном введении во внутреннюю сонную артерию увеличено, что свидетельствует о венозном застое. В норме венозный отток наблюдается через 4–6 секунд после начала артериальной фазы. Помимо анализа венозного рефлюкса, венозный дренаж мозга должен быть тщательно исследован, чтобы не только выявить очаги задержанного венозного оттока, но и определить возможность жертвования дуральным синусом или рефлюксирующей веной как потенциальной опцией лечения.

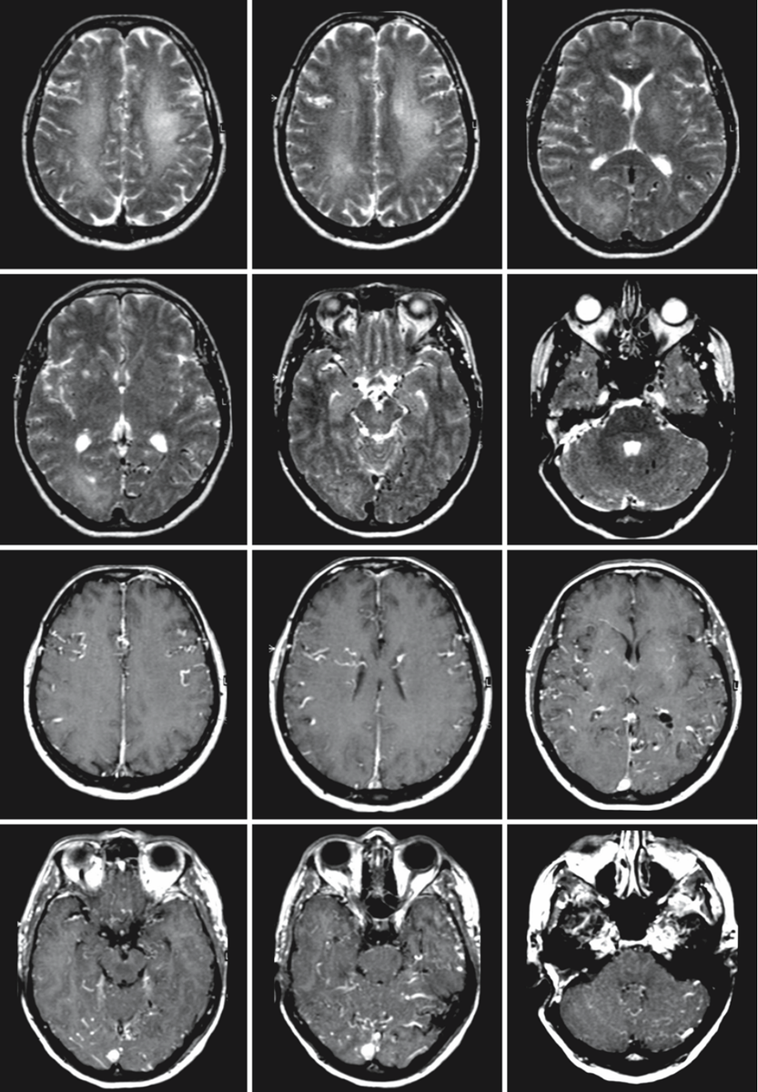
67-летняя женщина в анамнезе перенесла операцию по удалению акустической невриномы справа. Она обратилась с жалобами на быстрое снижение когнитивных функций. На Т2-взвешенных изображениях (первые два ряда) наблюдается диффузное повышение сигнала в глубоких слоях белого вещества обоих полушарий мозга. Аномальные "пустоты потока" заметны на поверхности мозга и в его паренхиме, особенно в височных долях и в задней черепной ямке. Т1-взвешенные изображения с контрастированием (третий и четвертый ряды) демонстрируют обширное усиление корковых и паренхиматозных вен.
67-летняя женщина в анамнезе перенесла операцию по удалению акустической невриномы справа. Она обратилась с жалобами на быстрое снижение когнитивных функций. На Т2-взвешенных изображениях (первые два ряда) наблюдается диффузное повышение сигнала в глубоких слоях белого вещества обоих полушарий мозга. Аномальные "пустоты потока" заметны на поверхности мозга и в его паренхиме, особенно в височных долях и в задней черепной ямке. Т1-взвешенные изображения с контрастированием (третий и четвертый ряды) демонстрируют обширное усиление корковых и паренхиматозных вен.
Ангиография пациентки, представленной на рис. 101.2. Селективная инъекция в наружную сонную артерию (первый ряд, слева) показывает гипертрофию поверхностной височной артерии и средней менингеальной артерии. Наблюдается немедленное контрастирование верхнего сагиттального синуса, что свидетельствует о наличии дуральной артериовенозной фистулы (DAVF). Селективная инъекция в внутреннюю сонную артерию (первый ряд, справа; второй ряд, слева) демонстрирует заполнение артерии серповидного отростка через (гипертрофированную) глазничную артерию (первый ряд, справа). Раннее контрастирование верхнего сагиттального синуса соответствует наличию DAVF. Контраст медленно проходит через паренхиму мозга из-за венозного застоя, что приводит к задержке паренхиматозной и венозной фазы. Это также иллюстрируется слабой видимостью периферических артерий на ранней фазе (второй ряд, слева) и "псевдо-флебитическим" аспектом паренхимы мозга на более поздней фазе ангиограммы (второй ряд, справа). После лечения эндоваскулярным методом (селективные инъекции клея в ветви наружной сонной артерии, питающие артериовенозную фистулу) и прямого размещения спиралей в верхнем сагиттальном синусе (третий ряд, слева; второй ряд, справа), наблюдается значительное уменьшение размера ветвей наружной сонной артерии. Инъекция в внутреннюю сонную артерию после лечения показывает аномальное дренирование мозга из-за окклюзии верхнего сагиттального синуса (третий ряд, справа). Мозг больше не использует верхний сагиттальный синус для дренирования, однако время прохождения контраста значительно сократилось. Когнитивные симптомы у пациентки практически полностью исчезли.
Ангиография пациентки, представленной на рис. 101.2. Селективная инъекция в наружную сонную артерию (первый ряд, слева) показывает гипертрофию поверхностной височной артерии и средней менингеальной артерии. Наблюдается немедленное контрастирование верхнего сагиттального синуса, что свидетельствует о наличии дуральной артериовенозной фистулы (DAVF). Селективная инъекция в внутреннюю сонную артерию (первый ряд, справа; второй ряд, слева) демонстрирует заполнение артерии серповидного отростка через (гипертрофированную) глазничную артерию (первый ряд, справа). Раннее контрастирование верхнего сагиттального синуса соответствует наличию DAVF. Контраст медленно проходит через паренхиму мозга из-за венозного застоя, что приводит к задержке паренхиматозной и венозной фазы. Это также иллюстрируется слабой видимостью периферических артерий на ранней фазе (второй ряд, слева) и "псевдо-флебитическим" аспектом паренхимы мозга на более поздней фазе ангиограммы (второй ряд, справа). После лечения эндоваскулярным методом (селективные инъекции клея в ветви наружной сонной артерии, питающие артериовенозную фистулу) и прямого размещения спиралей в верхнем сагиттальном синусе (третий ряд, слева; второй ряд, справа), наблюдается значительное уменьшение размера ветвей наружной сонной артерии. Инъекция в внутреннюю сонную артерию после лечения показывает аномальное дренирование мозга из-за окклюзии верхнего сагиттального синуса (третий ряд, справа). Мозг больше не использует верхний сагиттальный синус для дренирования, однако время прохождения контраста значительно сократилось. Когнитивные симптомы у пациентки практически полностью исчезли.
На изображениях FLAIR 51-летнего пациента, который перенес единичный эпилептический приступ с визуальными симптомами, видна область повышенного сигнала в левой затылочной доле (второй ряд).
На изображениях FLAIR 51-летнего пациента, который перенес единичный эпилептический приступ с визуальными симптомами, видна область повышенного сигнала в левой затылочной доле (второй ряд).
Ангиография пациента, представленного на рис. 101.4. Селективная инъекция в левую позвоночную артерию не показывает явных аномалий (первый ряд), за исключением отсутствия контрастирования левого поперечного и сигмовидного синусов. Селективная инъекция в наружную сонную артерию показывает раннее заполнение дурального синуса в области тенториума мозжечка, что связано с дуральной артериовенозной фистулой (DAVF), расположенной там. Фистула питается трансмастоидальной ветвью затылочной артерии (второй ряд, справа). Наблюдается рефлюкс из дурального синуса в корковые вены в данной области (третий ряд), что приводит к локальному венозному застою.
Ангиография пациента, представленного на рис. 101.4. Селективная инъекция в левую позвоночную артерию не показывает явных аномалий (первый ряд), за исключением отсутствия контрастирования левого поперечного и сигмовидного синусов. Селективная инъекция в наружную сонную артерию показывает раннее заполнение дурального синуса в области тенториума мозжечка, что связано с дуральной артериовенозной фистулой (DAVF), расположенной там. Фистула питается трансмастоидальной ветвью затылочной артерии (второй ряд, справа). Наблюдается рефлюкс из дурального синуса в корковые вены в данной области (третий ряд), что приводит к локальному венозному застою.