Найти в Дзене

Прогрессирование после полного эффекта от химиотерапии. История пациентки

Пациентка И., 62 года. При обследовании в 2021 году выявлена опухоль головки поджелудочной железы с метастатическим поражением печени. Выполнена биопсия опухоли, по данным гистологического исследования получен рост злокачественной опухоли - умереннодифференцированной протоковой аденокарциномы поджелудочной железы. При подобной распространенности заболевания единственной потенциально эффективной лечебной опцией является проведение системной лекарственной терапии. Операция не имеет смысла. В качестве первой линии назначена химиотерапия по схеме FOLFIRINOX. Всего проведено 14 курсов. По данным промежуточных контрольных обследований регистрировался частичный эффект, но после 14-го курса уровень онкомаркера СА 19-9 начал повышаться и назначенное контрольное обследование показало опухолевый рост. В качестве второй линии противоопухолевой терапии была назначена химиотерапия по схеме nab-паклитаксел+гемцитабин. Всего было проведено 8 курсов, по результатам промежуточного контроля подтверждена

Пациентка И., 62 года. При обследовании в 2021 году выявлена опухоль головки поджелудочной железы с метастатическим поражением печени.

Выполнена биопсия опухоли, по данным гистологического исследования получен рост злокачественной опухоли - умереннодифференцированной протоковой аденокарциномы поджелудочной железы.

При подобной распространенности заболевания единственной потенциально эффективной лечебной опцией является проведение системной лекарственной терапии. Операция не имеет смысла.

В качестве первой линии назначена химиотерапия по схеме FOLFIRINOX. Всего проведено 14 курсов. По данным промежуточных контрольных обследований регистрировался частичный эффект, но после 14-го курса уровень онкомаркера СА 19-9 начал повышаться и назначенное контрольное обследование показало опухолевый рост.

В качестве второй линии противоопухолевой терапии была назначена химиотерапия по схеме nab-паклитаксел+гемцитабин. Всего было проведено 8 курсов, по результатам промежуточного контроля подтверждена положительная динамика в виде уменьшения размеров опухоли в поджелудочной железе и очагов в печени, а контрольное МРТ после 8 курсов продемонстрировало полный эффект - ни один из опухолевых очагов больше не определялся. Полный эффект всего после 8 курсов химиотерапии при раке поджелудочной железы - явление достаточно редкое.

К сожалению, через 5 месяцев после окончания химиотерапии, появились новые очаги в печени.

Принято решение о возврате к химиотерапии второй линии. Было проведено 6 курсов nab-паклитаксел+гемцитабин с разнонаправленной динамикой: практически все очаги в печени исчезли, но один очаг, расположенный в правой доле печени, увеличился в размерах почти в два раза.

Стало понятно, что на фоне общей эффективности лечения, появился нечувствительный к данной схеме химиотерапии опухолевый очаг.

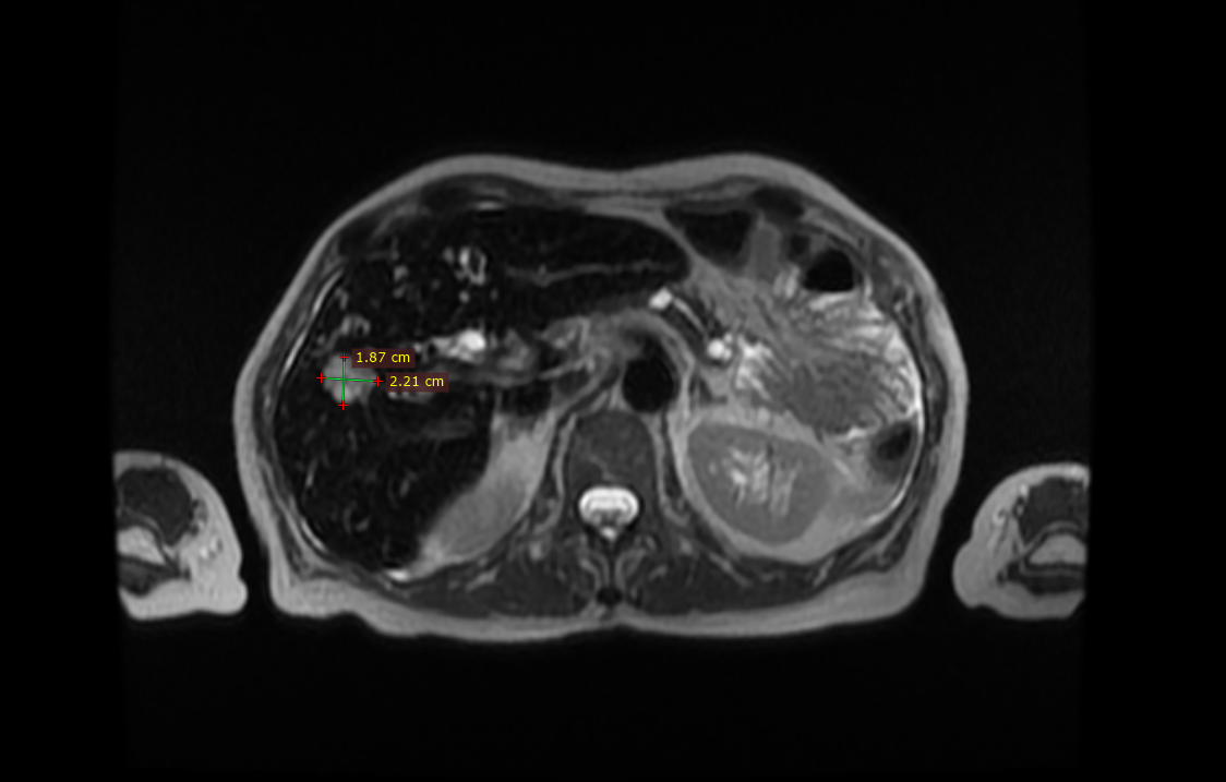
Метастаз рака поджелудочной железы в правой доле печени
Метастаз рака поджелудочной железы в правой доле печени

Данная клиническая ситуация имеет два решения:

1. Отмена текущей схемы химиотерапии и назначение третей линии терапии

2. Локальное воздействие на нечувствительный к лечению очаг и продолжение химиотерапии второй линии.

Учитывая высокую эффективность второй линии лечения, удовлетворительную переносимость лечения, а также появление одного единственного нечувствительного к лечению очага, принято решение о проведении локального воздействия на метастаз.

-3

Учитывая размеры и локализацию метастатического очага, решено провести сеанс микроволновой абляции. При проведении микроволновой абляции в условиях операционной пациента погружают в состояние медикаментозного сна. Под контролем УЗИ, либо компьютерной томографии выполняется чрескожная пункция очага специальной тонкой иглой. На кончике иглы расположен источник микроволнового излучения.

Схематичное изображение хода иглы и её расположение в метастазе перед проведением микроволновой абляции
Схематичное изображение хода иглы и её расположение в метастазе перед проведением микроволновой абляции

Всего за несколько минут опухоль разрушается под воздействием высокой температуры (свыше 150 градусов), создаваемой микроволновым излучением.

Желтые стрелки указывают на электрод, установленный в метастатический очаг. Красная стрелка указывает на метастаз, который под воздействием микроволнового излучения разрушается, приобретая по УЗИ вместо серой окраски ярко-белый цвет
Желтые стрелки указывают на электрод, установленный в метастатический очаг. Красная стрелка указывает на метастаз, который под воздействием микроволнового излучения разрушается, приобретая по УЗИ вместо серой окраски ярко-белый цвет

На следующий день после процедуры микроволновой абляции пациентка была выписана из стационара. Уже через несколько дней после процедуры можно продолжать системное противоопухолевое лечение.

Также, Вам может быть интересно: