Добавить в корзинуПозвонить
Найти в Дзене

Профессиональная гигиена полости рта и пародонтологическое лечение. Нужно ли делать, если вы и так 2 раза в день чистите зубы?

Благодаря вездесущей рекламе, большинство людей знает (и Вы в том числе, дорогой пациент), что чистить зубы нужно 2 раза в день, чтобы не было кариеса и чистить их только особенной пастой, которая спасет ваши зубы (конечно же только той, которая оплачивает именно эту рекламу), и конечно же, особенной зубной щеткой, которая сама за Вас все знает (опять же только той фирмы, которая эту рекламу запускает), иначе вы пропали. А если кровят десны, то, как вы уже догадались, все, что вам нужно – это всего лишь поменять зубную пасту на «Лесной бальзам», Paradontax, Lacalut – список можно продолжать бесконечно. Других усилий, согласно этой концепции, прилагать не надо, волшебная паста и щетка сделают всю работу за вас. Ах да, простите, есть же еще ополаскиватели, ну из соседней рекламы, в общем Вы уже все и так узнали из телевизора и доктор вам ни к чему. Прошу прощения за свой сарказм и занудство, но именно такие эмоции у меня вызывает весь бесконечный поток «волшебных» средств на все случаи
Рисунок с сайта : https://gas-kvas.com/detskie-risunki/34179-chistit-zuby-risunok-detskij-40-foto.html
Рисунок с сайта : https://gas-kvas.com/detskie-risunki/34179-chistit-zuby-risunok-detskij-40-foto.html

Благодаря вездесущей рекламе, большинство людей знает (и Вы в том числе, дорогой пациент), что чистить зубы нужно 2 раза в день, чтобы не было кариеса и чистить их только особенной пастой, которая спасет ваши зубы (конечно же только той, которая оплачивает именно эту рекламу), и конечно же, особенной зубной щеткой, которая сама за Вас все знает (опять же только той фирмы, которая эту рекламу запускает), иначе вы пропали. А если кровят десны, то, как вы уже догадались, все, что вам нужно – это всего лишь поменять зубную пасту на «Лесной бальзам», Paradontax, Lacalut – список можно продолжать бесконечно. Других усилий, согласно этой концепции, прилагать не надо, волшебная паста и щетка сделают всю работу за вас. Ах да, простите, есть же еще ополаскиватели, ну из соседней рекламы, в общем Вы уже все и так узнали из телевизора и доктор вам ни к чему. Прошу прощения за свой сарказм и занудство, но именно такие эмоции у меня вызывает весь бесконечный поток «волшебных» средств на все случаи жизни. Реальность же значительно отличается от красивой картинки на экране.

Так давайте вернемся к истокам, и для начала вспомним, для чего мы чистим зубы и что будет, если этого не делать.

Когда мы едим, на зубах задерживаются остатки пищи, а если пьем напитки, содержащие сахар (будь то добавленный сахар или природные сахара, например, в соках) то на зубах остается часть этих углеводов. Поскольку в нашей пищеварительной системе и, в том числе во рту, присутствуют различные бактерии (какие-то полезные, какие-то нейтральные, а какие-то вредные), то эти остатки пищи служат едой для нашей микрофлоры.

Так уж случилось, что углеводы любят в основном неполезные для зубов и десен бактерии, а еще сахара очень любит грибковая инфекция (грибы рода Candida), которая также есть у большинства людей и которые нашему организме тоже приносят, прямо скажем, мало пользы и много вреда (и не только зубам – в избыточном количестве они также нарушают нормальную работу кишечника).

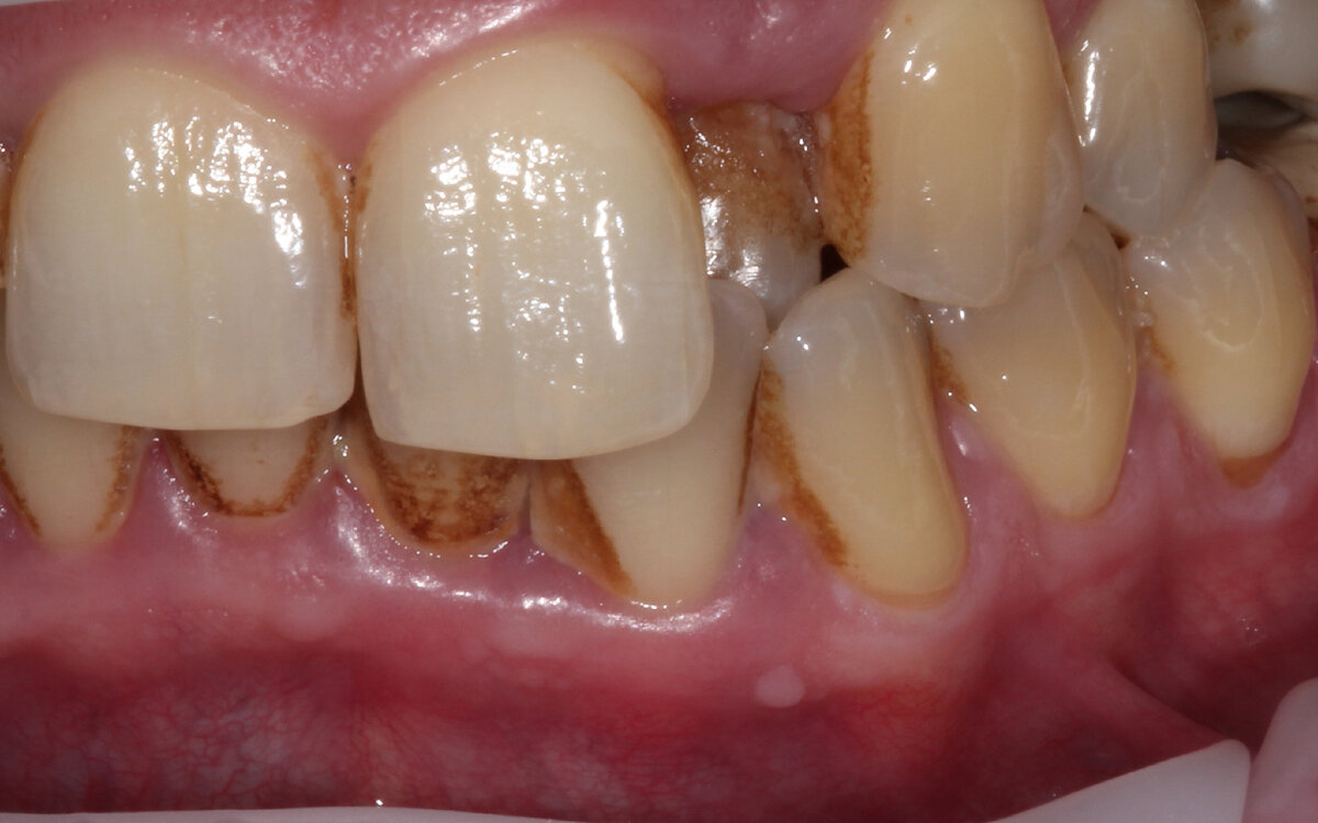
Когда углеводы долго остаются на зубах, то вредные бактерии начинают активно размножаться, в итоге эти бактерии и отходы их жизнедеятельности вначале «вымывают» минералы из эмали зубов (этот процесс называется деминерализацией эмали), затем эмаль разрушается, потом разрушается не только эмаль, но уже сам зуб, а параллельно этому процессу бактерии, соприкасаясь с десной, вызывают в ней воспаление и, как прямое следствие этого воспаления - кровоточивость. Снова едим и пьем →больше «еды» для бактерий→ активное размножение→ разрушение зубов и воспаление десен, и так по кругу. При этом, если вначале на зубах микробы в налете располагаются можно сказать поодиночке, то уже в течение первых суток, микроорганизмы собираются в хорошо организованные «бандитские» группировки (биопленка), которые гораздо лучше могут противостоять защитным силам организма и даже антибиотикам, а спустя 7 дней их состав становится откровенно «маргинальным». Также со временем мягкий зубной налет насыщается минералами из слюны и превращается в твердые камни, на поверхности которых присутствует много патогенных бактерий.

Если в десне длительное время идет воспалительный процесс (когда поверхностное воспаление десны-гингивит, переходит в более глубокие слои и развивается пародонтит), то в конечном итоге, кость вокруг зуба и связочный аппарат начинают необратимо разрушаться (пародонтит). Это проявляется в оголении корней зубов, из десны может вытекать гной, зубы становятся подвижными, они могут начать менять свое изначальное положение. Также в большинстве случаев будет ярко выраженный неприятный запах изо рта (галитоз), который появляется из-за большого количества патогенных микробов, преимущественно анаэробных (которым не нужен кислород для жизнедеятельности).

Разорвать этот замкнутый круг может только удаление остатков пищи и бактерий с зубов и десен, а также языка, в первую очередь механическим способом, то есть посредством банальной ежедневной двухразовой чистки зубов. Для адекватной чистки зубов дома у относительно здорового человека необходимо пользоваться как минимум 2 средствами: зубной щеткой с пастой (щетку нужно менять раз в 2 месяца) и зубной нитью (так как зубная щетка чисто физически не может прочистить 2 поверхности у каждого зуба – там, где соседние зубы касаются друг друга, т.е. контактные поверхности зубов). Если есть скученность зубов, то, чтобы качественно их прочистить, помимо зубной щетки и зубной нити, будет рекомендовано использование монопучковой зубной щетки, которая за счет своей компактной головки сможет очистить те участки зубов, где щетка и флосс будут малоэффективны (как на фото внизу).

При такой скученности зубов обычная зубная щетка и зубная нить будут недостаточно эффективны, и нужно дополнительно чистить зубы монопучковой зубной щеткой
При такой скученности зубов обычная зубная щетка и зубная нить будут недостаточно эффективны, и нужно дополнительно чистить зубы монопучковой зубной щеткой
Пример монопучковой зубной щетки
Пример монопучковой зубной щетки

Чистить зубы нужно, используя правильную технику чистки, а также строго с утра после еды и вечером перед сном.

Для очищения языка можно приобрести специальный скребок или же ограничиться использованием обычной чайной ложки, которая вполне способна его заменить.

Если же болезнь спрогрессировала на столько, что у зубов оголились корни, появились расстояния между зубами и кость в межзубных промежутках частично разрушилась (характерные треугольные промежутки при пародонтите), или в полости рта есть мостовидные протезы, то дополнительно для адекватного удаления мягкого зубного налета придется использовать межзубные ершики/суперфлосс.

Пример использования суперфлосса при наличии мостовидных протезов
Пример использования суперфлосса при наличии мостовидных протезов
Применение межзубных ершиков при пародонтите.
Применение межзубных ершиков при пародонтите.

Также положительное действие на десны будет оказывать использование ирригатора (когда струя воды или лечебного раствора будет подаваться под давлением узкой струей, которая может смыть остатки пищи между зубов).

Но это все работает ровно до тех пор, пока Вы сами тщательно и вовремя прочищаете буквально ВСЕ участки зубов. Честно, единицы врачей стоматологов дома на это способны, а не то, что обычные люди, для которых зубы не являются непосредственной частью их профессии. Поэтому, когда какие-то труднодоступные участки вы не дочищаете, там образуются такие «бандитские группировки» бактерий (биопленка) и зубные камни, убрать которые самостоятельно уже не получится. А вот в кабинете врача-стоматолога при использовании специальных дополнительных приборов и инструментов это сделать возможно. После профессиональной гигиены полости рта можно дома постараться поддержать приемлемый уровень гигиены на ближайшие несколько месяцев. Но вряд ли ваших усилий хватит на годы вперед. Именно поэтому стоматологи рекомендуют при относительно хорошем состоянии здоровья полости рта приходить на регулярный осмотр и профессиональную гигиену зубов раз в 6 месяцев. Если же есть значительные проблемы со стоматологическим здоровьем, то частота профилактических осмотров и, при необходимости, поддерживающей терапии, увеличивается.

Дополнительным фактором защиты может служить смена рациона питания – меньше легкоусвояемых углеводов, больше грубой и жесткой пищи, которая будет помогать самоочищению зубов.

Вот эти все фразы про чистить зубы 2 раза в день, менять зубную щетку раз в 2 месяца, использовать зубную нить, ершики, суперфлосс, ирригатор могут показаться банальными... Но в моей практике и практике моих коллег наберется тысячи историй, когда все эти рекомендации люди слышали первый раз в жизни. А вот про марки зубных щеток и паст слышало большинство наших пациентов. Интересно, почему?:)

А еще у каждого доктора наберется с десяток историй, когда пациенты сами придумывали собственные «рекомендации» по гигиене полости рта и с гордостью делились ими. Я приведу несколько особо запоминающихся случаев, но, пожалуйста, никогда в жизни не берите их в качестве образцов для подражания.

Например, один из пациентов хвастался, как одной зубной щеткой пользоваться 3 года. Он говорил, что когда щетинки начинают сильно топорщиться, он брал ножницы и подрезал их, потом еще пользовался до тех пор, пока они снова начнут топорщиться, опять срезал и так несколько раз, пока было, что срезать. Десна при этом выглядела как сплошное кровоточащее месиво, как из любого голливудского боевика, где одного из героев только что изрешетили пулями. В общем, как вы уже догадались, этот «лайфхак» по экономии 100 рублей каждые 2 месяца, хорошо поубавил здоровья у того пациента.

Еще многие пациенты рассказывали менее радикальные способы «продления жизни» зубных щеток в виде их кипячения. На вопрос «зачем?», был ответ, что таким образом они хотят убить инфекцию на них, что, казалось бы, логично. Но на самом деле нет. Зубная щетка должна эффективно удалять зубной налет своими щетинками. Они сделаны в большинстве своем из синтетических волокон (нейлона) и имеют определенную форму и жесткость, эти щетинки под действием высоких температур теряют свои первоначальные характеристики и уже не могут нормально удалять зубной налет. То есть конечно, наверняка часть микробов вы убьете, но чистить эффективно зубы уже не сможете. Также рекомендация менять зубную щетку раз в 2 месяца связана не только с накоплением микробов на щетинках, но и с потерей их чистящих свойств со временем.

Для экономии денег и времени, пациенты также придумывают «полноценную» замену зубным щеткам – кто-то чистит зубы пальцем, кто-то не чистит, но обязательно ест перед сном сырую морковь, один человек умудрялся чистить зубы головкой чеснока, другой вообще не напрягался и просто не чистил зубы, при этом заявляя, что ему проще приходить и постоянно лечить кариес… В общем, как говорится «каждый выбирает для себя…», но пожалуйста, если сделали свой выбор, отличный от рекомендаций доктора, будьте готовы принять и последствия этого выбора, так как это ваше здоровье и ответственность за него лежит большей частью на Вас самих. А лучше понять возможные последствия (кроме развития кариеса и болезней десен), вы можете благодаря следующей публикации, которая скоро выйдет на этом канале.