Добавить в корзинуПозвонить
Найти в Дзене
Стоматолог Виолетта

Как прячется кариес

Скрытый кариес - это форма кариеса, которая развивается без видимых визуальных признаков. Обычно это происходит, когда кариозные процессы развиваются на контактной поверхности зубов и, зачастую, затрагивают два соседних зуба. Такой кариес образовывается между зубами от недостатка гигиены. Скрытый кариес может развиваться без каких-либо явных симптомов, и пациент обычно осознает его наличие только тогда, когда зуб начинает болеть (когда кариес достигает нерва зуба) или когда прогрессирующий кариес распространяется вглубь и поражает все пространство дентина под эмалью. Тогда зуб превращается в хрупкий полупустой сосуд, который может разрушиться от любой нагрузки. Весь этот процесс при определенных обстоятельствах может протекать совершенно бессимптомно, когда пациент вдруг чувствует ужасный треск во рту, и половины зуба уже нет. Для определения скрытого кариеса может потребоваться рентгеновское исследование, а также осмотр стоматолога. Как именно лечится такой кариес?
Удаление

Скрытый кариес - это форма кариеса, которая развивается без видимых визуальных признаков. Обычно это происходит, когда кариозные процессы развиваются на контактной поверхности зубов и, зачастую, затрагивают два соседних зуба. Такой кариес образовывается между зубами от недостатка гигиены.

Скрытый кариес может развиваться без каких-либо явных симптомов, и пациент обычно осознает его наличие только тогда, когда зуб начинает болеть (когда кариес достигает нерва зуба) или когда прогрессирующий кариес распространяется вглубь и поражает все пространство дентина под эмалью. Тогда зуб превращается в хрупкий полупустой сосуд, который может разрушиться от любой нагрузки. Весь этот процесс при определенных обстоятельствах может протекать совершенно бессимптомно, когда пациент вдруг чувствует ужасный треск во рту, и половины зуба уже нет.

Для определения скрытого кариеса может потребоваться рентгеновское исследование, а также осмотр стоматолога.

Молодой человек не жалуется на зубы, пришел на осмотр для справки перед операцией, на первый взгляд, зуб целый
Молодой человек не жалуется на зубы, пришел на осмотр для справки перед операцией, на первый взгляд, зуб целый

при рентгеновском исследовании мы видим СКРЫТЫЕ КАРИОЗНЫЕ ПРОЦЕССЫ
при рентгеновском исследовании мы видим СКРЫТЫЕ КАРИОЗНЫЕ ПРОЦЕССЫ

Как именно лечится такой кариес?

Удаление пораженных тканей: Я удаляю пораженные части зуба, используя современные повышающие наконечники, что обеспечивает контролируемое и более плавное препарирование в сравнении с турбинным наконечником, пескоструйный аппарат и ультразвуковое иссечение кариеса. Это позволяет остановить распространение кариеса.

Пломбирование: После удаления пораженных тканей, я заполняю образовавшуюся полость (полость кариеса) пломбой из различных материалов таких как компомеры, фотополимеры, стеклоиономерные цементы и др.

Ниже вы можете увидеть, как выглядит процесс.

на фото скрытый кариес верхнего премоляра
на фото скрытый кариес верхнего премоляра

После вскрытия кариозной полости
После вскрытия кариозной полости

Восстановление анатомической формы зуба
Восстановление анатомической формы зуба

Важно следить за гигиеной полости рта, регулярно чистить зубы, используя зубную щетку, зубную нить, ирригатор, правильные пасты. Это поможет предотвратить образование новых кариесов.

Еще один клинический случай из моей практики

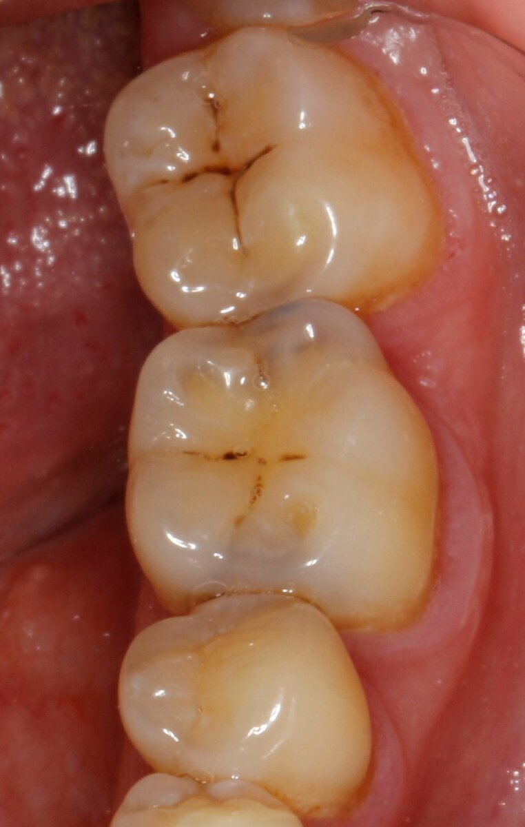
Девушка пришла с запросом на осмотр зубов перед постановкой брекетов, скрытый кариес нижнего премоляра
Девушка пришла с запросом на осмотр зубов перед постановкой брекетов, скрытый кариес нижнего премоляра

после раскрытия кариозного процесса
после раскрытия кариозного процесса

Анатомическая форма зуба восстановлена
Анатомическая форма зуба восстановлена

Регулярные посещения стоматолога для профессиональной гигиены зубов и профилактических осмотров помогут предотвратить развитие кариеса. Также я рекомендую применять фторидные лаки и покрытия для укрепления эмали.

А теперь поиграем в игру: посмотрите внимательно и напишите на каком зубе "спрятался" кариозный процесс. Свой вариант ответа пишите в комментариях

-10

Я врач стоматолог с 20 летним стажем, работаю и принимаю в Москве, и если хотите попасть на прием ко мне, либо есть вопросы, то можете написать их в комментариях. Подписывайтесь и ставьте лайки, это мотивирует меня писать чаще.