Найти в Дзене
НДН.ИНФО

В Новосибирске у девочки разорвалась почка из-за удара на тренировке

В Новосибирске хирурги прооперировали 12-летнюю девочку, у которой разорвало почку. Об этом сообщает Министерство здравоохранения Новосибирской области.

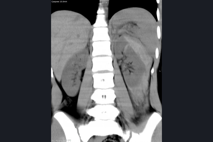
Юная спротсменка во время тренировки 3 февраля ударилась о стойку, на которую была натянута сеть. После чего у нее начались тупые боли в животе, и ее экстренно доставили в хирургическое отделение Детской городской клинической больницы № 1. Там девочку обследовали и провели мультиспиральную компьютерную томографию органов брюшной полости и забрюшинного пространства.

В результате врачи обнаружили разрыв левой почки и кровоизлияние в околопочечную клетчатку с её повреждением. Операционная бригада во главе с детским хирургом провела лапароскопическую операцию, то есть остановила кровотечение, дренировали почку и удалили гематому. Общая кровопотеря при этом составила 250 миллилитров.

По результатам УЗИ, которое врачи сделали сегодня, 11 февраля, гематома вокруг почки уже уменьшилась, а кровоток улучшается. Девочка пока остается в больнице, чтобы врачи контролировали восстановление. На данный момент состояние девочки удовлетворительное, уточняют специалисты.

Ранее в Новосибирске мужчине пришили отрезанную кисть.

Екатерина Павлюх