Найти в Дзене

Коричневые пятна на зубах

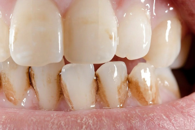
Коричневые пятна на эмали зубов могут свидетельствовать о наличии в организме патологических изменений.
Причины, по которым образовываются коричневые пятна
Курение и употребление таких напитков как кофе и черный чай – оказывают отрицательное воздействие на изменение цвета эмали. Некачественная чистка зубов только усугубляет образование пятен на эмали.
Неравномерное распределение нагрузки на зубы,
Оглавление

Коричневые пятна на эмали зубов могут свидетельствовать о наличии в организме патологических изменений.

Причины, по которым образовываются коричневые пятна

  • Курение и употребление таких напитков как кофе и черный чай – оказывают отрицательное воздействие на изменение цвета эмали. Некачественная чистка зубов только усугубляет образование пятен на эмали.
  • Неравномерное распределение нагрузки на зубы, неправильный прикус, которые могут привести к стиранию эмали. В этот момент она становится уязвимой для появления на ней пятен различного цвета.
  • Развитие воспалительных заболеваний зубов и десен способствует усиленному развитию болезнетворных бактерий, которые могут начать разрушение эмали, на которой появляются коричневые пятна.
  • Образование налета и зубного камня также могут стать причиной появления пятен на эмали. Усиленное образование налета на зубах может сигнализировать о заболевании пищеварительной и эндокринной системы организма.
  • Коричневые пятна могут появиться на зубах беременной женщины или если у нее наступает менопауза. В этих случаях в организме женщины происходят гормональные изменения, которые могут привести к образованию коричневых пятен на эмали зубов.
  • Заболевание зубов кариесом, при котором пятна могут возникнуть по границе кариесных отверстий или в местах старых пломб.
  • Прием тетрациклиновых антибиотиков и препаратов на основе хлоргексида особенно во время беременности могут повлиять на деминерализацию зубной эмали, и она теряет устойчивость к вредоносным бактериям.

Другие причины появления пятен на эмали зубов

-2

Эмаль состоит из микроскопических пор, в которые могут проникать вещества, поступающие в организм при приеме пищи. Химикаты и красители разрушают эмаль, проникают в глубокие слои ее структуры и становятся причиной заболевания пульпитом, пародонтозом или кариесом, что в конечном итоге приводит к появлению на эмали пятен.

Диагностика

При осмотре зубов пациента стоматолог уточняет, какие лекарства он принимает. Затем врач снимает с зубов налет и осматривает зубы на наличие кариеса. Назначает рентгенографию всех зубов и просвечивает все пятна мощным источником света. Если у врача появляются доводы, что пятина возникли из-за нарушения работы внутренних органов, он дает направление пациенту на обследование у эндокринолога и гастроэнтеролога.

Лечение

Коричневее пятна можно излечить несколькими способами:

  • терапевтическим методом;
  • аппаратным способом;
  • профилактическими мероприятиями.

Если курс медикаментозного лечения не дает хороших результатов, то пациенту назначают аппаратное лечение, при котором специальным прибором с очень тонкими иголками чистят коричневые пятна, снимают зубной налет, а эмаль зубов покрывают защитной пленкой.

Профилактика заболевания

-3

В профилактических целях пациент должен выполнять ряд мероприятий, улучшающих состояние эмали зубов:

  • тщательно соблюдать гигиену полости рта и зубов. Ополаскивать рот специальными растворами после каждого приема пищи;
  • отказаться от вредных привычек (курения и употребления алкоголя);
  • проходить ежегодный профилактический осмотр зубов у стоматолога.

Отбеливание зубов в домашних условиях

Дома можно попробовать отбелить зубы средствами, которые имеются в каждом доме.

  • Сделать пасту из активированного угля, который надо растереть в порошок и смешать с небольшим количеством соды, добавив к нему несколько капель воды и размешать состав до пастообразного состояния. Эту «Пасту» нанести на зубы и вычистить их.
  • Лимонный сок и сода. Добавить к лимонному соку немного пищевой соды и вычистить этой смесью зубы. Этим средством можно чистить зубы 1-3 месяца.

Избавление от пятен коричневого цвета в домашних условиях может использоваться только как дополнительные средства, которые применяют при прохождении медицинского курса лечения зубов, в стоматологическом кабинете. Поэтому самым идеальным вариантом будет обращение в специализированную стоматологическую клинику.