Найти в Дзене

Туберкулез: мифы и реальность

Туберкулез представляет собой известное с глубокой древности, тяжелое инфекционное заболевание, вызываемое бациллами Коха. Достаточно длительное время методы борьбы с этой болезнью не отличались эффективностью. Это в свою очередь обуславливало высокую смертность. Подобная крайне негативная картина стала причиной появления и укрепления немалого количества заблуждений и даже мифов. Особенности развития опасной болезни Согласно актуальной статистике, на сегодня около трети населения нашей планеты заражено бациллами Коха. Однако это не свидетельствует о том, что все эти люди больны туберкулезом. Важно учитывать, что развитие патологических процессов фиксируется только в 5-7% случаев заражения рассматриваемыми микобактериями. Ключевой момент заключается в нормальном функционировании иммунной системы, которая способна эффективно контролировать возбудителей болезни и предотвращать нанесение вреда организму. При ослаблении иммунитета бацилла сразу же получается шанс на активное размножение и
Оглавление
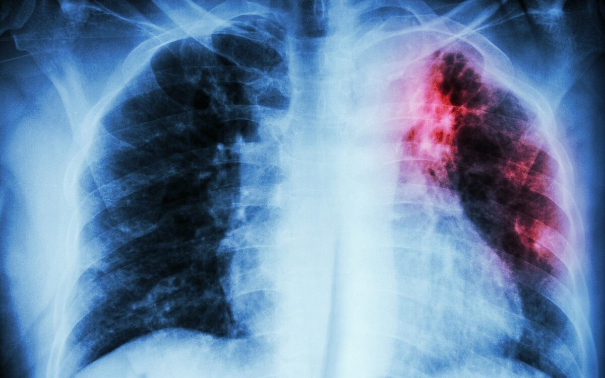
Туберкулез: мифы и реальность
Туберкулез: мифы и реальность

Туберкулез представляет собой известное с глубокой древности, тяжелое инфекционное заболевание, вызываемое бациллами Коха. Достаточно длительное время методы борьбы с этой болезнью не отличались эффективностью. Это в свою очередь обуславливало высокую смертность. Подобная крайне негативная картина стала причиной появления и укрепления немалого количества заблуждений и даже мифов.

Особенности развития опасной болезни

Согласно актуальной статистике, на сегодня около трети населения нашей планеты заражено бациллами Коха. Однако это не свидетельствует о том, что все эти люди больны туберкулезом. Важно учитывать, что развитие патологических процессов фиксируется только в 5-7% случаев заражения рассматриваемыми микобактериями. Ключевой момент заключается в нормальном функционировании иммунной системы, которая способна эффективно контролировать возбудителей болезни и предотвращать нанесение вреда организму.

При ослаблении иммунитета бацилла сразу же получается шанс на активное размножение и начинает разрушать ткани, параллельно отравляя организм человека продуктами жизнедеятельности. Благоприятные условия для развития туберкулеза обеспечивают:

  • регулярное недоедание;
  • несбалансированный рацион, для которого характерно недостаточное содержание витаминов и белков;
  • переутомление (как физическое, так и эмоциональное);
  • частые стрессы;
  • частое пребывание в помещениях с плохим микроклиматом (недостаточно проветриваемых и плохо освещаемых);
  • хронические заболевания, в перечень которых входят диабет, язва и прочие недуги;
  • частые простуды;
  • вредные пристрастия (алкоголь, табак, наркотики).

Стоит также заметить, что в группу повышенного риска входят люди, проживающие в неблагоустроенных жилищах, а также в антисанитарных условиях.

Самые распространенные мифы

Наиболее широко распространенные заблуждения касаются заразности туберкулеза и перспектив избавления от этой опасной болезни. И чаще всего приходится сталкиваться со следующими утверждениями:

  • Туберкулез – это исключительно легочная патология. Здесь стоит отметить, что в 95% случаев бацилла поражает именно органы дыхания. В остальных 5% могут пострадать ЦНС, лимфоузлы, органы зрения, суставы, костная ткань, мочеполовая система, ЖКТ и даже кожные покровы.
  • Каждый, в чей организм попала палочка Коха, заболевает. Этот миф опровергает сама статистика.
  • Все больные туберкулезом являются заразными. Данная позиция является не только ошибочной, но и достаточно жестокой. В реальности опасность исходит от тех, кто страдает открытой формой заболевания. И даже в такой ситуации у людей с крепким иммунитетом высокие шансы не заразиться даже при близком контакте.
  • Туберкулез является заболеванием нищих и бездомных. С одной стороны такое утверждение можно назвать справедливым, поскольку шансы заразиться у тех, кто ведет асоциальный образ жизни, постоянно обитает в антисанитарных условиях и пренебрегает правилами гигиены, кратно выше. В то же время, успешный человек, регулярно переутомляющийся, неправильно питающийся и подвергающийся стрессам, также находится в группе риска.
  • Болезнь неизлечима. Однозначно поддержать или опровергнуть данное утверждение сложно. Согласно статистическим данным до 40% пациентов благодаря эффективному лечению и изменению образа жизни в полной мере восстанавливают трудоспособность. Однако смертность от этой болезни на сегодня остается достаточно высокой.

По мнению многих, туберкулез в развитых странах практически побежден, и на данный момент представляет собой проблему, наиболее актуальную для развивающихся государств. Но на практике падение уровня жизни и игнорирование профилактических мер в любой момент могут спровоцировать вспышку заболеваемости и резкий рост смертности. В качестве примера можно привести Украину, которую в 1995 году ВОЗ признала зоной эпидемии туберкулеза.