Найти в Дзене

Все о КТ ангиографии сосудов головного мозга

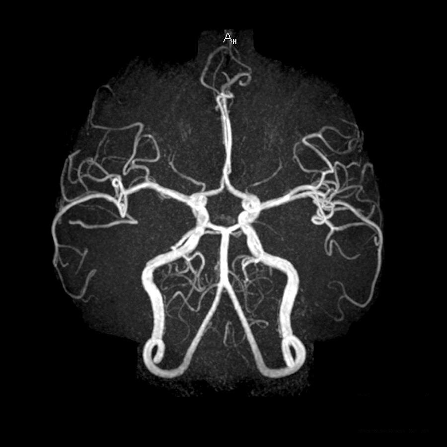
Компьютерная томография сосудов головного мозга или КТ ангиография головного мозга (КТА) – современный вид диагностики с использованием рентгеновских лучей. Благодаря данному методу можно получить послойные снимки исследуемой области организма и затем создать из них трехмерную модель. КТ ангиография артерий головного мозга позволяет проводить точные исследования сосудистой системы и мозгового кровотока абсолютно безболезненно для пациента. Компьютерный томограф делает серию снимков, на которых четко видны сосуды головы и шеи.
Что покажет КТ ангиография головы? Точность результатов обследования на ранних стадиях выявляет врожденные пороки и заболевания сосудистой системы головного мозга: Показания к проведению КТ сосудов головного мозга Направление на КТ сосудов головного мозга чаще всего получают пациенты с жалобами на: Также КТ сосудов головы и шеи используют для обследования артерий головного мозга пациентов, которые перенесли инсульт или черепно-мозговую травму. Если на первом п
Оглавление

Компьютерная томография сосудов головного мозга или КТ ангиография головного мозга (КТА) – современный вид диагностики с использованием рентгеновских лучей. Благодаря данному методу можно получить послойные снимки исследуемой области организма и затем создать из них трехмерную модель. КТ ангиография артерий головного мозга позволяет проводить точные исследования сосудистой системы и мозгового кровотока абсолютно безболезненно для пациента. Компьютерный томограф делает серию снимков, на которых четко видны сосуды головы и шеи.

-2

Что покажет КТ ангиография головы?

Точность результатов обследования на ранних стадиях выявляет врожденные пороки и заболевания сосудистой системы головного мозга:

  • мальформации артерий и вен;
  • атеросклеротические изменения сосудов;
  • инсульты и кровоизлияния после травм;
  • тромбозы;
  • васкулиты;
  • ангиопатии;
  • сдавливание артерий и вен головы и шеи новообразованиями;
  • эмболии и аневризмы.

Показания к проведению КТ сосудов головного мозга

Направление на КТ сосудов головного мозга чаще всего получают пациенты с жалобами на:

  • интенсивные и продолжительные головные боли;
  • частые головокружения и обмороки;
  • тошноту;
  • боли в шейном отделе позвоночника.

Также КТ сосудов головы и шеи используют для обследования артерий головного мозга пациентов, которые перенесли инсульт или черепно-мозговую травму.

Если на первом приеме врач затрудняется предположить диагноз, таким пациентам рекомендуют сделать КТ сосудов головного мозга и шеи или МРТ сосудов головного мозга. В СПб цена на КТ ангиографию из-за необходимости введения контраста будет выше, чем стоимость МР-ангиографии. КТ с введением контраста и МРТ по диагностической ценности сопоставимы и для анализа состояния пациента перед операцией или другими серьезными процедурами часто в медицинских центрах СПб используются совместно.

КТ сосудов головного мозга с контрастом

КТ ангиография сосудов головного мозга всегда проводится с контрастом. Контраст вводится для прокрашивания просветов артерий и вен. Это позволяет врачам визуализировать сосуды головного мозга диаметром до 1 мм. Без контрастного усиления сосудистая система плохо видна на снимках. Контрастирование при КТ ангиографии головы осуществляют с помощью введения болюсным способом йодсодержащего контрастного препарата из расчета 2 мл на 1 кг массы обследуемого. Для этого в локтевую вену пациента введут специальный катетер. После этого медицинская сестра присоединяет к катетеру автоматический шприц с колбой, наполненной контрастным веществом, и начинает сканирование.

Подготовка

Процедура КТ ангиографии не требует особой подготовки. Для того, чтобы введение контраста не вызвало рвоту, лучше отказаться от приема пищи за 2 часа до сканирования. Если у вас есть вопросы о подготовке к КТ сосудов головного мозга или вы хотите уточнить, сколько стоит сделать КТ в диагностических центрах СПб, сотрудники центра записи будут рады проконсультировать вас по всем аспектам томографии.

Процедура

КТ ангиография сосудов головного мозга обязательно должна выполняться с использованием контраста. Контрастное вещество на основе йода вводится внутривенно перед процедурой. Во время обследования необходимо неподвижно лежать на столе томографа. Время проведения ангиографии сосудов головы зависит от сложности и области сканирования. Длительность не превышает 5-10 минут. После окончания исследования нужно будет подождать расшифровки результатов в течение 30-40 минут.

Что лучше - МРТ или КТ сосудов головного мозга?

Ответ на вопрос, что лучше - МРТ или КТ сосудов головного мозга, зависит от трех аспектов:

  • информативность;
  • безопасность;
  • цена.

Обследование сосудов головного мозга информативно и на МРТ, и на КТ сосудов с контрастом. Магнитно-резонансная томография хорошо покажет сосудистые мальформации, окклюзии и перегибы. КТ сосудов головного мозга рекомендуется в случае, если есть подозрение на аневризму.

С точки зрения безопасности МРТ является более предпочтительным вариантом обследования, так как, в отличие от КТ ангиографии, она не несет в себе лучевую нагрузку. Однако пациенту порекомендуют сделать компьютерную томографию в случае противопоказаний к МРТ, например, если в теле человека имеются вшитые приборы (кардиостимуляторы, слуховые аппараты) или металлические инклюзии (стальные протезы, скобы, пули) .

КТ сосудов головного мозга всегда проводится с контрастным усилением на базе йода. Без контрастирования томография малоинформативна. Это ощутимо удорожает стоимость КТ ангиографии. Поэтому в большинстве случаев МРТ сосудов головного мозга будет более дешевой процедурой.

Противопоказания

Метод КТ ангиографии имеет несколько серьезных противопоказаний. В основном они касаются введения контрастного вещества, а также рентгеновских лучей, которые излучает томограф. Компьютерная томография запрещена беременным и кормящим женщинам, нежелательна детям младше 14 лет при отсутствии серьезных показаний, пациентам с индивидуальной чувствительностью к препаратам йода. Диагностическая процедура МРА, при которой отсутствует рентгеновское излучение и в большинстве случаев не требуется введение контраста, может стать альтернативой для беременных и аллергиков. Она может быть назначена вместо КТ.

-3

Стоимость КТ может варьироваться в зависимости от количества производимых срезов и объема контрастного вещества, которое нужно ввести, исходя из веса человека. В Санкт-Петербурге цены на КТ сосудов головного мозга также зависят от места проведения процедуры - частный или государственный КТ центр.