Добавить в корзинуПозвонить
Найти в Дзене
Клиника щитовидной железы

Как прекратить принимать гормональный препарат и начать нормально жить при ГИПОТИРЕОЗЕ. Доктор А.В. Ушаков, 1 часть

Среди последних публикаций, тема о восстановлении при Гипотиреозе оказалась самой актуальной. Вы, наши читатели, проголосовали за неё своими "дочитываниями". Поэтому в этой статье я точнее обозначу: 1) начальные требования к диагностике для оценки индивидуальных особенностей и 2) принципы мероприятий для отмены Левотироксина и восстановления организма и его щитовидной железы. О том, что тактика "лечения ТТГ" при гипотиреозе бесперспективна и не излечивает, знают даже эндокринологи, назначающие своим пациентам гормональные средства. Врачи так и сообщают: "Пожизненно. Не излечивается". Эти слова следует понимать так: В действительности, большая часть клинических вариантов первичного гипотиреоза излечима. Следует лишь правильно понимать явление гипотиреоза (!!!), верно диагностировать (главные признаки!!!), точно направлять и дозировать лечебные влияния. Если верно понимать сущность болезни и верно лечить, то происходит восстановление! И наоборот, если ошибочно - то никакого излечения ожи
Оглавление

Среди последних публикаций, тема о восстановлении при Гипотиреозе оказалась самой актуальной. Вы, наши читатели, проголосовали за неё своими "дочитываниями". Поэтому в этой статье я точнее обозначу: 1) начальные требования к диагностике для оценки индивидуальных особенностей и 2) принципы мероприятий для отмены Левотироксина и восстановления организма и его щитовидной железы.

О том, что тактика "лечения ТТГ" при гипотиреозе бесперспективна и не излечивает, знают даже эндокринологи, назначающие своим пациентам гормональные средства. Врачи так и сообщают: "Пожизненно. Не излечивается". Эти слова следует понимать так:

  1. не излечивается с помощью гормонального препарата,
  2. поэтому гормональный препарат нужно принимать всю оставшуюся жизнь.

В действительности, большая часть клинических вариантов первичного гипотиреоза излечима. Следует лишь правильно понимать явление гипотиреоза (!!!), верно диагностировать (главные признаки!!!), точно направлять и дозировать лечебные влияния.

Если верно понимать сущность болезни и верно лечить, то происходит восстановление! И наоборот, если ошибочно - то никакого излечения ожидать не приходится.

Наши читатели уже знают, что первичный гипотиреоз изначально и продолжительно представляет усиление напряжения щитовидной железы с её постепенным истощением (от перенапряжения). То есть, орган страдает не от иммунной атаки, а от избыточной работы по обеспечению организма нужным ему количеством гормонов. Так происходит всегда, когда организм попадает в неблагоприятные условия, т.к. для их преодоления нужно больше энергии и, следовательно, энергодающих гормонов щитовидной железы - Т4 и Т3.

Этот механизм гипотиреоза вообще не рассматривается в современной эндокринологии. При этом существует большое количество исследований физиологических и клинических о развитии гипотиреоза в случаях, когда организм попадает в условия с избыточными энергозатратами (проживание в холодных регионах, избыточной физической активности и пр.), для преодоления которых нужно больше щитовидных гормонов. Но эти причины игнорируются. В списке причин это место занято аутоиммунным тиреоидитом (АИТ) - гипотезой, которой противоречат факты.

Поэтому врачи, обладая искаженными знаниями, занимаются формальным делом - применяют заместительную гормональную помощь, называя её ЛЕЧЕНИЕМ, не смотря на то, что оно не излечивает - не восстанавливает щитовидную железу. (Они подменяют понятия).

Восстановление любого органа и ЩЖ возможно и происходит за счёт РЕГЕНЕРАЦИИ. Но большая доза гормонального препарата при продолжительном (годами) применении тормозит регенерацию и может вести к атрофии. Для определения потенциала для восстановления щитовидной железы требуется клиническая диагностика (не формальная!!!). Нужно исходно определиться с индивидуальной перспективой и особенностями тактики настоящего лечения. И лишь затем грамотно начать ответственное дело по восстановлению и постепенной отмене препарата.

Требования к Диагностике для отмены гормонального препарата

Определите гормональный обмен полноценно!

Нужно оценить с помощью анализа крови не только ТТГ и Т4св., а весь комплекс показателей: ТТГ, Т4св., Т3св., Т4общ., Т3общ. Этого перечня достаточно для понимания процессов (но в сочетании с прочими данными). Дополнительные показатели (например. реверсивный Т3св.) не являются обязательными, но помогут в оценке.

Определите напряжение-истощение щитовидной железы

В этом помогут антитела крови АТ-ТПО и АТ-ТГ. Иногда (реже) будет полезна оценка Тиреоглобулина.

Нужно Клиническое УЗИ щитовидной железы (не формальное)

В 99,99% случаев врачи УЗД при ультразвуковом исследовании (УЗИ) щитовидной железы делают формальный вывод. В Протоколе УЗИ нет важных сведений. Врачи-формалисты пишут о гипо- и изоэхогенных зонах (участках), локусах и фокусах, после чего заключают о каком-то "диффузном процессе, характерном для АИТ".

Что же нужно нам от УЗИ? Прежде всего - оценка количества (в %) полноценной гормонообразующей ткани в железе. Именно эта ткань является источником гормонов. Если её достаточно, то перспектива уменьшения дозы гормонального препарата и его последующей отмены реальна и соответственно близка.

Также нужно оценить объем щитовидной железы. Он показывает и достаточность ткани, и величину перенапряжения, и силу компенсации и последствие гормонального воздействия (медикаментом). Важно знать истинные, а не ошибочные нормы и оптимум объема ЩЖ. (18 мл и 25 мл для женщин и мужчин - ошибочные значения объема нормы). Если увеличен объем ЩЖ (зоб) - нужна степень зоба (врачи УЗД в 99,99% случаев не могут указать такую степень).

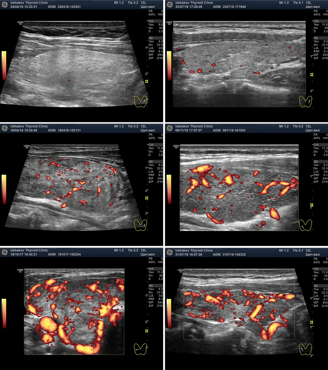
Очень важно в режиме ЦДК или ЭДК при УЗИ определить величину интенсивности кровотока. Не просто - "без изменения" или увеличен, а насколько увеличен.

Интенсивность кровотока (врачи пишут - васкуляризация) прямо указывает ан величину напряжения щитовидной железы!!! Это исследование не проводят около 50-60% узистов и ошибочно выполняют 40-49% других врачей УЗД. Не сопровождают Протоколы УЗИ снимками о кровотоке где-то 95% специалистов УЗИ.

Копия из https://www.dr-md.ru/doppler.html
Копия из https://www.dr-md.ru/doppler.html

Скорость кровотока (максимальная) в артериях щитовидной железы также показывает величину напряжения щитовидной железы (соответственно, её истощения!!!).

Копия https://www.dr-md.ru/doppler.html#n07
Копия https://www.dr-md.ru/doppler.html#n07

И, конечно, нужно оценить изменения. Диффузные или узловые. Какие конкретно диффузные изменения?

В моём руководстве "Ультразвуковая диагностика Диффузных процессов щитовидной железы" (2019 и 2020) показаны 11 клинических вариантов диффузных процессов железы!!!

Я создал от нашей Клиники Научную школу УЗИ ЩЖ, на сайте которой разместил бесплатно огромное количество знаний, включая первое издание указанной книги. Помогите своим врачам получить эти знания! Ваш местный специалист должен освоить эти лучшие знания. Тогда он сможет лучше диагностировать вас и других людей.

Нужна ИСТОРИЯ вашей болезни!!!

Когда появились первые симптомы (и какие!), как они появлялись и усиливались? Когда начали принимать гормональный медикамент и в какой дозе? Как изменялась доза, самочувствие и данные гормонального анализа крови?

Нужна История жизни!

В каких условиях вы жили и живете, какой образ жизни вели и ведете, включая местность проживания. Что влияло, как часто и чем болели.

Определите достаточность йода

Не по волосам, а с помощью анализа мочи или крови (но не в Инвитро).

Во 2-й части статьи расскажу о принципах мероприятий для отмены Левотироксина и восстановления организма с его щитовидной железой.

Как вы понимаете, восстановление будет реально только при вашем активном участии (оно начинается с получения настоящих знаний). Только вы являетесь самым заинтересованным лицом. Поэтому не ждите волшебника с голубым вертолётом... Начинайте получать знания и выходить на дорогу, ведущую к здоровью!

Клиника Щитовидной железы доктора А.В. Ушакова желает здоровья всем нашим читателям!

Мы знаем о сущности, лечении и помощи при многих болезнях и состояниях, сопровождающих изменения щитовидной железы, и восстанавливаем железу через восстановление всего организма. Проконсультируйтесь с врачами нашей Клиники.

ДЛЯ ВЫБОРА ДИАГНОСТИКИ И ЛЕЧЕНИЯ НЕОБХОДИМО ПРОКОНСУЛЬТИРОВАТЬСЯ С КОМПЕТЕНТНЫМ СПЕЦИАЛИСТОМ

Поддержите наш канал ЛАЙКОМ.

Если желаете - ПОДПИСЫВАЙТЕСЬ и ДЕЛИТЕСЬ.