Найти в Дзене
В мире медицины

Особенности инсульта в детском возрасте

В структуре смертности от всех сосудистых катастроф ОНМК (инсульт) находится на втором месте после ИБС. Во всем мире отмечается тенденция к "омоложению" инсульта, а данным диагнозом у человека в возрасте 20-30 лет уже особо никого не удивить. По клиническим рекомендациям МЗ РФ от 2024 г., за последние десятилетия заболеваемость ишемическим инсультом в молодом возрасте выросла на 40%. Кроме того, в 2023 году глава ФМБА В. Скворцова сообщила, что до 8% всех случаев ОНМК в нашей стране выявлено у людей младше 45 лет, а риск его возникновения увеличивается втрое каждые последующие десять лет. По данным международного исследования INTERSTROKE, проведенного в 22 странах, были выделены основные факторы риска, приводящие к инсульту. Довольно интересным выводом стало следующее: почти все из выделенных факторов риска являются модифицируемыми (т.е. управляемыми). И если с "возрастными'' инсультами ситуация более-менее ясная и в плане механизма развития с основными клиническими симптомами, и в пл
Оглавление
В структуре смертности от всех сосудистых катастроф ОНМК (инсульт) находится на втором месте после ИБС.

Во всем мире отмечается тенденция к "омоложению" инсульта, а данным диагнозом у человека в возрасте 20-30 лет уже особо никого не удивить. По клиническим рекомендациям МЗ РФ от 2024 г., за последние десятилетия заболеваемость ишемическим инсультом в молодом возрасте выросла на 40%.

Кроме того, в 2023 году глава ФМБА В. Скворцова сообщила, что до 8% всех случаев ОНМК в нашей стране выявлено у людей младше 45 лет, а риск его возникновения увеличивается втрое каждые последующие десять лет.

По данным международного исследования INTERSTROKE, проведенного в 22 странах, были выделены основные факторы риска, приводящие к инсульту. Довольно интересным выводом стало следующее: почти все из выделенных факторов риска являются модифицируемыми (т.е. управляемыми).

И если с "возрастными'' инсультами ситуация более-менее ясная и в плане механизма развития с основными клиническими симптомами, и в плане факторов риска (ожирение, артериальная гипертензия, сахарный диабет, курение, употребление алкоголя, гиподинамия), то в детской практике ситуация совершенно иная.

Особенности инсульта в детском возрасте

Инсульт у детей и подростков значительно отличается от взрослого, что требует дальнейшего совершенствования и оптимизации подхода как к его диагностике, так и лечению на всех этапах оказания медицинской помощи.

Наибольшие трудности на догоспитальном этапе вызывает дифференциальная диагностика ОНМК, т.к. детский инсульт имеет множество "масок".

Структура заболеваемости детским инсультом

В некоторых странах (Канада, Швейцария) был создан Национальный регистр заболеваемости инсультом у детей. По данным этих регистров частота встречаемости ОНМК по ишемическому типу у детей в возрасте до 16 лет в период с 1990 до 2001 гг. составляла 1,72 и 2,1 на 100 тысяч в год соответственно.

В нашей стране до сих пор не существует подобного регистра, а потому данные о частоте и структуре детского инсульта сильно разнятся, что затрудняет объективную оценку ситуации в целом.

Я буду опираться на представленные данные Центра по лечению цереброваскулярной патологии у детей, созданного на базе Морозовской ДГКБ ДЗМ г. Москвы.

В период с 2015 по 2019 гг. частота встречаемости цереброваскулярной патологии среди детей выросла с 6,59 до 6,61 на 100 тысяч в год, а в 2020 г. и вовсе составила 10,95 случаев на 100 тысяч.

Однако, несмотря на данные показатели, важно отметить, что смертность от инсульта среди детей все же снижается, что, вероятно, связано с внедрением более современных методов его лечения по типу системной тромболитической терапии и тромбоэкстракции.

Диаграмму по структуре ЦВЗ у детей можно представить следующим образом:

Транзиторная ишемическая атака стоит на первом месте. Напомню, что главным отличием ТИА от ишемического инсульта является преходящее нарушение кровообращения при первом состоянии (ТИА является обратимой)
Транзиторная ишемическая атака стоит на первом месте. Напомню, что главным отличием ТИА от ишемического инсульта является преходящее нарушение кровообращения при первом состоянии (ТИА является обратимой)

Основные причины ТИА/ИИ в педиатрической практике:

  • врождённые пороки сердца, осложненные церебральной тромбоэмболией (эмболический инсульт) - наиболее часто;
  • нарушения свёртываемости крови;
  • инфекции ЦНС;
  • ряд наследственных заболеваний и генетических состояний (нейрофиброматоз, туберозный склероз, синдром Марфана);
  • артериопатии (диссекция артерий, церебральный ангиит);
  • травмы ГМ;
  • злокачественные новообразования;
  • острая гипоксия в родах, преэклампсия и эклампсия у беременной женщины.

Интересный факт

В группе детей с ОНМК в три раза больше детей, перенесших в анамнезе (как вы думаете, какую инфекцию?)...

ветряную оспу в течение года до манифеста инсульта.

Окончательный механизм до конца не выяснен, однако предполагают непосредственное влияние вируса на артериальную стенку, а также нарушения в свёртывающей системе крови, сопровождаемые повышенным тромбообразованием.

Основные причины ГИ у детей:

  • артериовенозные мальформации;
  • аневризмы церебральных артерий;
  • нарушения свёртываемости крови, сопровождаемые повышенной кровоточивостью (гемофилия, например);
  • ДВС-синдром;
  • системные поражения соединительной ткани (васкулиты, болезнь Кавасаки, синдром Такаясу).
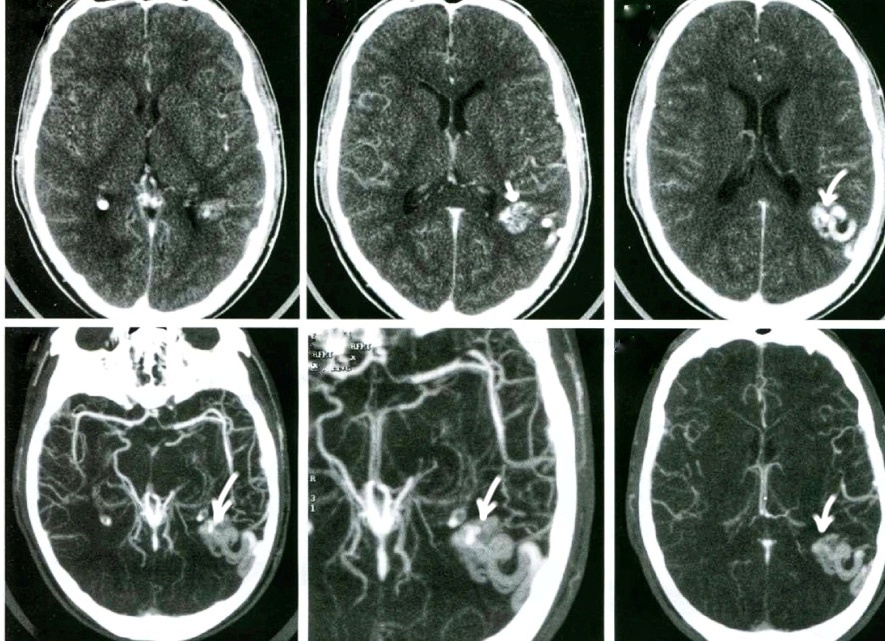
Так на МСКТ-ангиографии (МIP-реконструкция) выглядит артериовенозная мальформация (АVM) теменной области слева (указано стрелками) в виде клубка сосудов, интенсивно накапливающего контрастное вещество (кровоснабжение из конечных ветвей СМА)
Так на МСКТ-ангиографии (МIP-реконструкция) выглядит артериовенозная мальформация (АVM) теменной области слева (указано стрелками) в виде клубка сосудов, интенсивно накапливающего контрастное вещество (кровоснабжение из конечных ветвей СМА)

Что такое АVM?

Это врождённое нарушение строения сосудистой системы, когда имеется аномальный шунт ("прямое соединение") между артерией и веной в обход капиллярного русла. Это ведёт к тому, что артериальная кровь достаточно под высоким давлением поступает в венозное русло (которое не адаптировано для такой нагрузки) с высоким риском развития геморрагического инсульта.

Пример AVM правой височной области с признаками периферического обызвествления (отложения солей кальция) на МСКТ головного мозга без контраста
Пример AVM правой височной области с признаками периферического обызвествления (отложения солей кальция) на МСКТ головного мозга без контраста

Наиболее частые причины синус-тромбоза у детей:

  • перинатальные осложнения (в том числе механическое воздействие на головку ребенка в родах);
  • ЛОР-инфекции, а также различные гнойно-воспалительные заболевания челюстно-лицевой области;
  • инфекционный эндокардит;
  • прием некоторых лекарственных препаратов (ниже представлен случай, как раз связанный с употреблением таковых).
Пациентка 16 лет, употребляет КОК. Жалобы на головную боль в течение нескольких дней. На аксиальных срезах КТ ГМ отмечается гиперденсность в проекции прямого и левого поперечного венозного синусов (черные стрелки). Дополнительно направлена на МРТ с контрастом, где подтвержден тромбоз венозных синусов мозга (положительный симптом дельты в прямом синусе и выраженный дефект наполнения в левом поперечном за счёт тромботических масс).
Пациентка 16 лет, употребляет КОК. Жалобы на головную боль в течение нескольких дней. На аксиальных срезах КТ ГМ отмечается гиперденсность в проекции прямого и левого поперечного венозного синусов (черные стрелки). Дополнительно направлена на МРТ с контрастом, где подтвержден тромбоз венозных синусов мозга (положительный симптом дельты в прямом синусе и выраженный дефект наполнения в левом поперечном за счёт тромботических масс).

Ещё один интересный пример (на мой взгляд) - мальформация вены Галена. Эта вена является одним из крупнейших основных венозных коллекторов в головном мозге. Он собирает кровь из глубоких отделов каждого полушария. При данной сосудистой аномалии вена может достигать огромных размеров, а потому риск ее разрыва с развитием геморрагического инсульта очень высок.

МСКГ ГМ (контраст+натив) демонстрирует огромную мальформацию вены Галена у ребенка с выраженным расширением желудочков мозга (окклюзионная внутренняя гидроцефалия)
МСКГ ГМ (контраст+натив) демонстрирует огромную мальформацию вены Галена у ребенка с выраженным расширением желудочков мозга (окклюзионная внутренняя гидроцефалия)

Дифференцировка источников кровоснабжения мальформации зачастую бывает затруднена даже с использованием МР-ангиографии, а полное представление об отводящих и приводящих сосудах можно получить только с использованием селективной церебральной ангиографии.

Особенностью аномалии является то, что после рождения ребенка резко увеличивается кровоток через сосуды мозга с одновременным увеличением венозного возврата к сердцу.

За счёт этого развивается сердечная недостаточность и феномен "обкрадывания" системного кровотока. Если своевременно не провести оперативное вмешательство в ближайшее время (зависит от размеров мальформации, степени выраженности нарушения гемодинамики) после стабилизации состояния (в том числе, коррекции внутричерепной гипертензиии), то прогноз крайне неблагоприятный.

Заключение

Инсульт в детском возрасте имеет множество причин, а клиническая картина не всегда специфична, особенно у новорожденных и детей грудного возраста. Важным остается вопрос именно догоспитальной диагностики ОНМК с последующей оптимальной маршрутизацией пациента и квалифицированным оказанием медицинской помощи на всех ее этапах.

*Статья написана благодаря коллеге по Дзену, ведущей свой собственный канал "МЕДИЦИНА. Доступно всем".