Симптом яркой СМА на аксиальном срезе КТ головного мозга, сглаженность субарахноидального пространства и нечеткость базальных ядер - вот, на что должен обратить внимание рентгенолог при КТ-исследовании пациента с неврологической симптоматикой.
Ишемический инсульт (ИИ) является одной из самых частых форм ОНМК с развитием гипоксии участка вещества мозга и формированием зоны инфаркта, сопровождающееся характерными проявлениями при визуализации (МРТ и КТ).
Ишемические инсульты возникают в пределах сосудистых бассейнов головного мозга, которые имеют типичное расположение.
Ранние признаки инсульта на КТ.
КТ является золотым стандартом в диагностике ОНМК, а с помощью него возможно определить 60% инфарктов в первые 3-6 часов, остальную часть - в первые сутки.
- Снижение контрастности между серым и белым веществом на участке, соответствующему конкретному сосудистому бассейну за счёт выраженного внутриклеточного отека;
- Сглаженность субарахноидального пространства, нечеткость границ извилин и борозд,утрата ребристой поверхности островка (признаки нарастания объема внеклеточной жидкости);
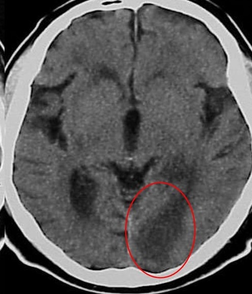
- Зона пониженной плотности в веществе головного мозга. Обнаружение в первые 6 часов гиподенсной зоны является специфичным признаком необратимого ишемического повреждения мозга. У пациентов с клиникой инсульта и выявленной гиподенсной областью на КТ в первые 6 часов есть риск увеличения зоны ишемии. Кроме этого, у таких пациентов хуже ответ на проводимую медикаментозную терапию.Таким образом,выявление гиподенсной зоны является неблагоприятным прогнозом;
- Сглаженность базальных ядер (обскурация чечевицеобразного ядра или симптом расплывшегося пятна базальных ядер);
- Симптом плотной СМА или симптом точки (проявляется вследствие тромбоза СМА или значимого замедления кровотока по тому или иному сегменту артерии);
- Островковый ленточный симптом (включает в себя гиподенсную зону и отек коры головного мозга в области островка. Область головного мозга, кровоснабжаемая СМА, очень чувствительна к гипоксии в связи с тем, что СМА не имеет коллатералей).
КТ при геморрагическом инсульте головного мозга*
Основным КТ-признаком при внутримозговом кровоизлиянии является наличие очага повышенной плотности округлой или неправильной формы, часто с неровными границами. В подавляющем большинстве случаев зона гематомы окружена зоной пониженной плотности, соответствующей перифокальным изменениям в веществе мозга.
На этом заканчиваю. Всем спасибо за внимание и до скорых встреч!
