Добавить в корзинуПозвонить
Найти в Дзене

История пациента: удаление 3 зубов мудрости в седации

Нашу сегодняшнюю героиню зовут Анастасия, ей 30 лет. Анастасия готовилась к ортодонтическому лечению, и ортодонт направил ее к хирургу для удаления зубов мудрости. И зубы оказались очень сложные. Сейчас все расскажем и покажем! Мы провели Анастасии первичный осмотр и сделали КТ, чтобы оценить сложность будущего удаления. И вот что мы увидели👇 Под удаление у пациентки идут зубы 2.8, 3.8 и 4.8. Все эти «восьмерки» ретинированные и дистопированные👇 Что значит ретинированные и дистопированные? 📝 Дистопия зуба — это одна из зубочелюстных аномалий, особенностью которой является неправильное положение прорезавшегося зуба. Дистопия затрудняет прорезывание остальных зубов и влияет на формирование прикуса. 📝 Ретенция зуба — это непрорезавшаяся или не полностью прорезавшаяся коронка, которая расположена под десной, при этом корневая часть зуба локализуется глубоко в кости. То есть, ретинированный зуб — это зубная единица, которая находится внутри челюсти. Ситуация Анастасии достаточно сложная
Оглавление

Нашу сегодняшнюю героиню зовут Анастасия, ей 30 лет. Анастасия готовилась к ортодонтическому лечению, и ортодонт направил ее к хирургу для удаления зубов мудрости. И зубы оказались очень сложные. Сейчас все расскажем и покажем!

Содержание

  • Клиническая картина
  • Справка: чем опасны дистопия и ретенция
  • Планирование лечения
  • Удаление
  • После удаления
  • Вопросы и ответы
  • Дальнейшие рекомендации
  • Лечащий врач

Клиническая картина

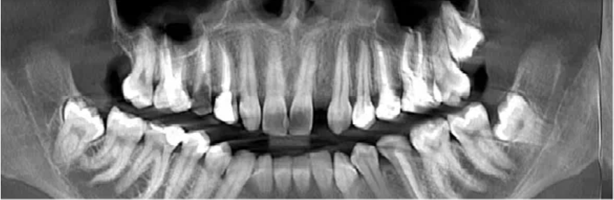
Мы провели Анастасии первичный осмотр и сделали КТ, чтобы оценить сложность будущего удаления. И вот что мы увидели👇

КТ Анастасии
КТ Анастасии

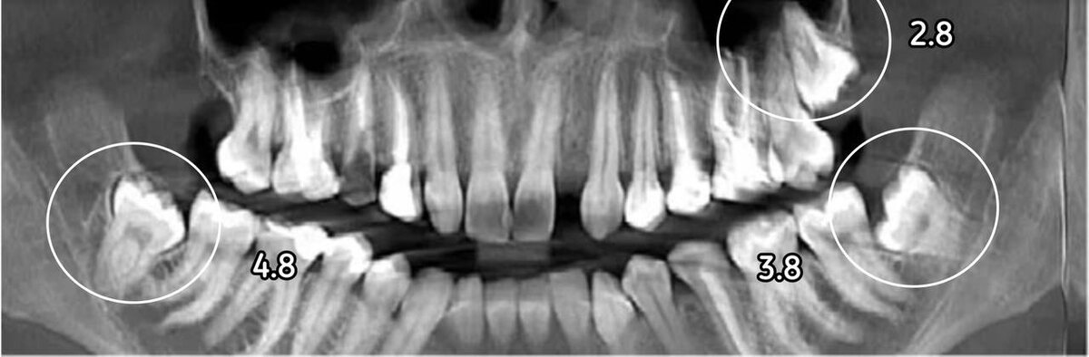
Под удаление у пациентки идут зубы 2.8, 3.8 и 4.8. Все эти «восьмерки» ретинированные и дистопированные👇

Зубы под удаление
Зубы под удаление

Что значит ретинированные и дистопированные?

📝 Дистопия зуба — это одна из зубочелюстных аномалий, особенностью которой является неправильное положение прорезавшегося зуба. Дистопия затрудняет прорезывание остальных зубов и влияет на формирование прикуса.

📝 Ретенция зуба — это непрорезавшаяся или не полностью прорезавшаяся коронка, которая расположена под десной, при этом корневая часть зуба локализуется глубоко в кости. То есть, ретинированный зуб — это зубная единица, которая находится внутри челюсти.

Ситуация Анастасии достаточно сложная. Ее зубы располагаются очень глубоко внутри толщи кости.

📝 Справка: чем опасны дистопия и ретенция? Почему такие зубы нужно удалять?

Ретинированные и дистопированные зубы нужно удалять в 100% случаев, по нескольким причинам:

  • они приводят к излишнему давлению на зубные ряды, тем самым вызывая изменения положения зубов: например, скученность
  • возникают проблемы с прикусом
  • ретинированные и дистопированные «восьмерки» механически давят на соседние седьмые зубы и могут вызвать проблемы, связанные с резорбцией (разрушением костной ткани) и кариозными поражениями. В любом зубе мудрости заложена генетическая программа прорезывания: он должен двигаться, чтобы вылезти наружу. Но иногда оказывается, что для него просто нет места. В таком случае он оказывает еще большее давление на седьмые зубу, постепенно разрушая их.
  • в этой области из-за нарушения прорезывания может образоваться фолликулярная киста. Сначала вокруг зуба мудрости образуется капсула, которая со временем увеличивается и может вырасти до очень больших размеров. Это серьезное и опасное осложнение, которого, к счастью, Анастасии удалось избежать.

Ретенция и дистопия могут проявляться локальными болями или ощущением распирания в этой области. Сильных болевых ощущений обычно не возникает — у Анастасии их также не было. Но это не значит, что нужно ждать, пока возникнет боль. Ретинированные и дистопированные «восьмерки» обязательно нужно удалять.

Планирование лечения

Поскольку картина на КТ оказалось достаточно сложной, было принято решение проводить удаление зубов в седации. Седация — это постепенное введение человека в медикаментозный сон с использованием лекарственных препаратов. В результате пациент чувствует успокоение, уходит чувство панического страха и интенсивная боль. Это хорошо для пациента и с физической, и с психологической точки зрения. В седации Анастасия была спокойна, у нее не выделялись адреналин и кортизол, ее давление было в норме. Удалось избежать страха, связанного со звуками при распиле зубов (хруст, скрежет и т.д.) Доказано, что в сложных случаях восстановление после операции, проведенной в седации, быстрее, чем при использовании обычной местной анестезии.

Перед операцией мы попросили Анастасию сдать стандартный комплекс анализов:

  • «госпитальная тройка»: ВИЧ, сифилис, гепатит
  • анализы для анестезиолога: общий анализ крови, коагулограмма, ЭКГ, биохимический анализ крови

Есть случаи, при которых удаление сложных зубов в седации не рекомендуется, и лучше отправить пациента в стационар, где после операции он будет несколько дней находиться под наблюдением. Это рекомендуется, в частности, при:

  • заболеваниях крови
  • беременности
  • диабете первого типа

У Анастасии к седации не было никаких противопоказаний.

Удаление

«Восьмерки», особенно ретинированные и дистопированные, удаляются всегда сегментарно. То есть, мы распиливаем зуб на части и аккуратно их достаем. Вся операция заняла около часа — за это время мы полностью удалили три зуба.

Почему нельзя удалять «восьмерки» методом вытягивания? Это чревато осложнениями, в частности, переломом челюсти.

Поперечный (аксиальный) срез на КТ
Поперечный (аксиальный) срез на КТ

На КТ Анастасии видно, что зуб мудрости у нее занимает достаточный объем в толще челюсти. За счет того, что вокруг него тонкие костные стенки, если приложить силу в процессе удаления, это может привести к перелому одной из этих стенок. Это и есть перелом нижней челюсти.

После удаления

В течение двух месяцев Анастасия чувствовала легкое онемение с левой стороны.

Пациентка ощущала онемение слева после удаления зуба 3.8.
Пациентка ощущала онемение слева после удаления зуба 3.8.

Можно сказать, что зуб 3.8 у Анастасии лежал на нерве. Онемение в данном случае возникло как раз вследствие реакции нерва на удаление зуба, с которым он соседствовал всю жизнь. Это временное последствие — у Анастасии ощущение онемения полностью исчезло спустя месяц.

Вопросы и ответы

Какой симптоматики можно ждать после удаления сложного зуба?

После удаления нормально, если есть:

  • отек
  • болезненность
  • временное повышение температуры

Все это должно пройти за неделю после удаления.

Какие рекомендации нужно соблюдать после сложного удаления?

  • полоскать рот антисептиком
  • соблюдать спокойный режим, свести к минимуму физические нагрузки
  • не перегреваться: избегать горячего душа, повременить с приемом ванны
  • не переохлаждаться
  • помнить, что организм и, в частности, его иммунная система, сейчас уязвимы

А что ненормально? На что нужно обратить внимание?

На сохранение повышенной температуры в течение 3-4 дней после удаления: это говорит о присоединении инфекции в области удаления, развитии воспаления тканей. В таких случаях пациенту назначают антибиотики. Иногда антибиотики назначают превентивно, сразу после удаления, чтобы избежать инфицирования и воспаления.

Дальнейшие рекомендации

Анастасия пришла на осмотр через неделю после удаления. К этому моменту боль у нее полностью прошла, отек спал, микросинячки исчезли. Однако оставалось онемение с левой стороны, поэтому в течение месяца мы наблюдали за состоянием пациентки в динамике: она приходила на осмотр раз в неделю. За месяц онемение полностью прошло.

Лечащий врач

  • Янгильдин Ренат Рашидович, стоматолог-ортопед, хирург, имплантолог, специалист по имплантации и бережному малотравматичному удалению зубов с сохранением костной ткани. Первичный осмотр, планирование лечения, удаление 2.8, 3.8, 4.8 в седации, послеоперационное наблюдение.

🏥 Клиника реконструктивной стоматологии

Задать вопрос ✍️ WhatsApp

Позвонить 📞 +7 (495) 989-57-49

Мы рядом 🏥 Москва, Ленинский проспект, 105к1

📚 Читайте также

👀 Смотрите также