Добавить в корзинуПозвонить
Найти в Дзене

История пациента: зубной камень и высокая чувствительность зубов

Наш сегодняшний герой — Георгий, 25 лет. Обратился к нам для проведения профессиональной гигиены. Георгий жаловался на чувствительность зубов, которая доставляла ему сильный дискомфорт. В процессе чистки выявили ортодонтические проблемы. Сейчас все расскажем и, конечно же, покажем! Георгий обратился для проведения профессиональной гигиены. Кроме того, он пожаловался на чувствительность зубов, которая доставляла ему столько неудобств, что он принял решение в домашних условиях использовать реминерализирующие средства. Сначала провели индикацию зубного налета с помощью специального средства, которое окрашивает зубные отложения в яркие цвета. Вот, что мы увидели👇 Окрашивание зубов достаточно значительное. Есть даже участки, где отложения расположены на всей коронке зубов, а не только ближе к шейке зуба. Сейчас расскажем, что это значит. Налет, окрашенный в розовый цвет, скапливался на зубах в течение одного текущего дня👇 На участках, окрашенных фиолетовым, налет откладывался в течение 2-
Оглавление

Наш сегодняшний герой — Георгий, 25 лет. Обратился к нам для проведения профессиональной гигиены. Георгий жаловался на чувствительность зубов, которая доставляла ему сильный дискомфорт. В процессе чистки выявили ортодонтические проблемы.

Сейчас все расскажем и, конечно же, покажем!

Содержание

  • Жалобы пациента
  • Клиническая картина
  • Этапы профессиональной гигиенической чистки
  • Рекомендации
  • Вопросы и ответы о клиновидном дефекте и флюорозе

⛔️ Жалобы

Георгий обратился для проведения профессиональной гигиены. Кроме того, он пожаловался на чувствительность зубов, которая доставляла ему столько неудобств, что он принял решение в домашних условиях использовать реминерализирующие средства.

Клиническая картина

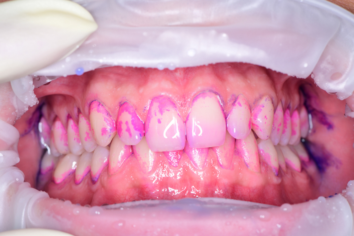
Сначала провели индикацию зубного налета с помощью специального средства, которое окрашивает зубные отложения в яркие цвета. Вот, что мы увидели👇

Индикация зубного налета и отложений
Индикация зубного налета и отложений

Окрашивание зубов достаточно значительное. Есть даже участки, где отложения расположены на всей коронке зубов, а не только ближе к шейке зуба. Сейчас расскажем, что это значит.

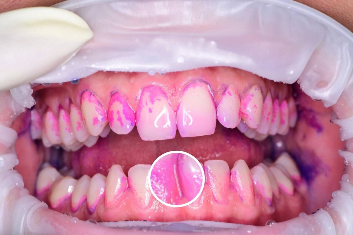
Налет, окрашенный в розовый цвет, скапливался на зубах в течение одного текущего дня👇

Налет, который скапливался в течение одного дня
Налет, который скапливался в течение одного дня

На участках, окрашенных фиолетовым, налет откладывался в течение 2-3 дней: очевидно, пациент чистил зубы недостаточно качественно.

Налет, скопившийся за 2-3 дня
Налет, скопившийся за 2-3 дня

Синий цвет указывает на налет, который держится более 3 дней👇

Налету больше 3 дней
Налету больше 3 дней

Еще во рту при индикации могут появиться участки зеленого цвета: это указывает на совсем застарелый налет, который лежит уже больше недели. К счастью, у нашего пациента зеленых участков нет.

Зато есть кое-что другое, а именно — зубной камень. Он желтого цвета и заметен даже сквозь индикацию👇

Зубной камень
Зубной камень

Этапы чистки

Этап первый — Air Flow

Air Flow — это процедура очищения зубной эмали аппаратным методом. Она проводится с помощью пескоструйного аппарата, который под высоким давлением подает из тонкой насадки специальный мелкодисперсный порошок с водой. В данном случае мы использовали порошок с эритритолом — он прекрасно устраняет поддесневой и наддесневой налет.

После удаления налета
После удаления налета

Этап второй — ультразвук

Порошок с эритритолом не справляется с твердыми зубными отложениями — их мы убрали с помощью ультразвука. Прошлись ультразвуком не только по поверхности зубов, но и чуть глубже — под десну, чтобы полностью убрать зубной камень, поскольку он может лежать не только на поверхности зуба, но и уходить под десну (там более рыхлая поверхность зуба, и налет лучше прикрепляется). Кроме того, зубной камень часто образуется на участках скученности зубов, что мы и видим на примере пациента👇

Скученные зубы — любимое место зубного камня
Скученные зубы — любимое место зубного камня

Скученные зубы гораздо сложнее качественно вычистить, но именно они как раз больше всего нуждаются в грамотной гигиене, с тщательным очищением внутренней поверхности зубов — иначе велик риск образования кариеса. Например, у Георгия в области передних зубов присутствуют естественные фиссурные ямки, в которых уже начинается кариозный процесс👇

Фиссурная ямка с начинающимся кариесом
Фиссурная ямка с начинающимся кариесом

Этап третий — Air Flow для полировки поверхностей

Еще раз прошлись порошком с эритритолом по поверхностям, обработанным ультразвуком. Это необходимо для того, чтобы зубы дольше оставались гладкими, и налет не мог на них «закрепиться».

Этап четвертый — контрольная проверка

Провели контрольный осмотр, смыли весь оставшийся порошок с зубной поверхности и высушили ее, чтобы обнаружить возможные остатки сколовшегося зубного камня, биопленки, мягкого зубного налета.

Этап пятый — профилактическая реминерализация эмали

Реминерализация необходима в том случае, если у пациента есть чувствительность зубов. Георгию реминерализация не понадобилась, поскольку он пользуется реминерализирующим гелем в домашних условиях. Пропустили этот этап, чтобы не допустить перенасыщения.

Проблемы, обнаруженные во время профгигиены

Во время осмотра и чистки обнаружили у Георгия клиновидные дефекты — локальную деструкцию твердых тканей на вестибулярной поверхности зубов, имеющую форму клина👇

Клиновидный дефект в области нижних премоляров
Клиновидный дефект в области нижних премоляров

На верхних зубах также есть участки оголения шейки и корня зуба👇

Рецессии на верхних зубах
Рецессии на верхних зубах

📝 Рецессии возникают вследствие неправильного прикуса и, как следствие, перегрузки жевательных зубов. Пациенту необходимо ортодонтическое лечение. Конечно, можно обратиться к терапевту для композитной реставрации зубов — в таком случае визуально дефект устранится. Но нет никаких гарантий, что он не возникнет вновь. Лучшее решение в данном случае комплексное:

  • лечение на брекетах у ортодонта для выравнивания прикуса и снятия излишней нагрузки с зубов
  • лечение у хирурга-пародонтолога, чтобы хирургически убрать участки оголения

Кроме того, у Георгия есть участки флюороза — поражения зубной эмали, связанное с постоянным и длительным попаданием в организм избыточного количества фтора. Эти участки имеют характерный неестественно белый цвет (при легкой степени) или желтый или даже коричневый (при более выраженном флюорозе). К сожалению, «счистить» такие полосы невозможно.

У Георгия нашли флюороз — в данном случае, легкой степени
У Георгия нашли флюороз — в данном случае, легкой степени

Флюороз возникает в период смены зубов с молочных на коренные, в момент формирования коренных зубов: то есть, зубы прорезаются уже с флюорозом. Возможно, пациент в подростковом возрасте пил фторированную воду или употреблял в пищу продукты, перенасыщенные фтором.

На флюорозных зубах хрупкая эмаль. Такие зубы склонны к образованию кариеса. В этом случае особенно важно тщательно проводить гигиену.

📝 Рекомендации пациенту

  • приобрести новую зубную щетку
  • лечение на брекетах у ортодонта для выравнивания прикуса и снятия излишней нагрузки с зубов
  • лечение у пародонтолога, чтобы хирургически убрать участки оголения

Вопросы и ответы

Можно ли пациенту с флюорозом использовать отбеливающую зубную пасту?

Можно, но важно делать это курсом: например, одну неделю чистите зубы отбеливающей пастой, вторую — обычной. Это важно, поскольку у отбеливающих паст выше индекс RDA — то есть, их частицы более абразивные. Поэтому возникает риск подвергнуть свои ослабленные и без того зубы с флюорозной эмалью истиранию. Очень важно не переусердствовать с домашним отбеливанием, в крайнем случае, лучше записаться в клинику, где вам отбелят зубы более щадящим способом.

Можно ли использовать отбеливающую пасту пациентам с клиновидным дефектом?

А вот это нежелательно. Эмаль в зонах дефекта и без того истончена, а после абразивной пасты ситуация может усугубиться.

Какую же пасту лучше использовать людям с флюорозом и клиновидными дефектами?

Есть специализированные зубные пасты для чувствительных зубов. Когда приобретаете зубную пасту, обратите внимание на индекс RDA, по которому оценивается степень абразивности пасты. Для чувствительных зубов подойдут пасты с RDA от 0 до 70, которые будут иметь минимальное повреждающее воздействие на эмаль и дентин зубов.

Лечащий врач

  • Каракетова Софья Максимовна, стоматолог-гигиенист. Первичный осмотр, профгигиена, рекомендации по дальнейшему лечению

🏥 Клиника реконструктивной стоматологии

Задать вопрос ✍️ WhatsApp

Позвонить 📞 +7 (495) 989-57-49

Мы рядом 🏥 Москва, Ленинский проспект, 105к1

📚 Читайте также

👀 Смотрите также