❔ Что делать, если нижнечелюстной нерв расположен слишком "высоко" и не позволяет провести имплантацию
❔ О "технике сосиски" в стоматологии
❔ Какой костный материал мы используем при реконструктивном синус-лифтинге
А в конце статьи порассуждаем о концепции протезирования без хирургии.
Знакомьтесь 👋, наш пациент — Карина, 62 года, пенсионер и заслуженная бабушка со стажем 8,5 лет
⛔️ Жалобы
Проблемы, с которыми обратилась к нам Карина (в порядке убывания неприятных ощущений):
- недостойный приличного человека облик протеза на верхней челюсти
- нижний протез (бюгельный) не удобно надевать и снимать
- периодически болит справа внизу при пережевывании пищи
- плохо пахнет изо рта, кровоточат дёсна
- частые сколы керамики на протезе
- частично украдены вкусовые ощущения
- небольшие, но регулярные затруднения с дикцией
✅ Пожелания
- Сделать зубы раз и навсегда, и никогда больше к это вопросу не возвращаться
- Полноценный, не укороченный, зубной ряд, т.е. от "седьмого до седьмого зуба"
- Улыбка должна быть настолько красивой, насколько это возможно
- Зубы не должны быть пластмассовыми
Диагностика и клиническая картина
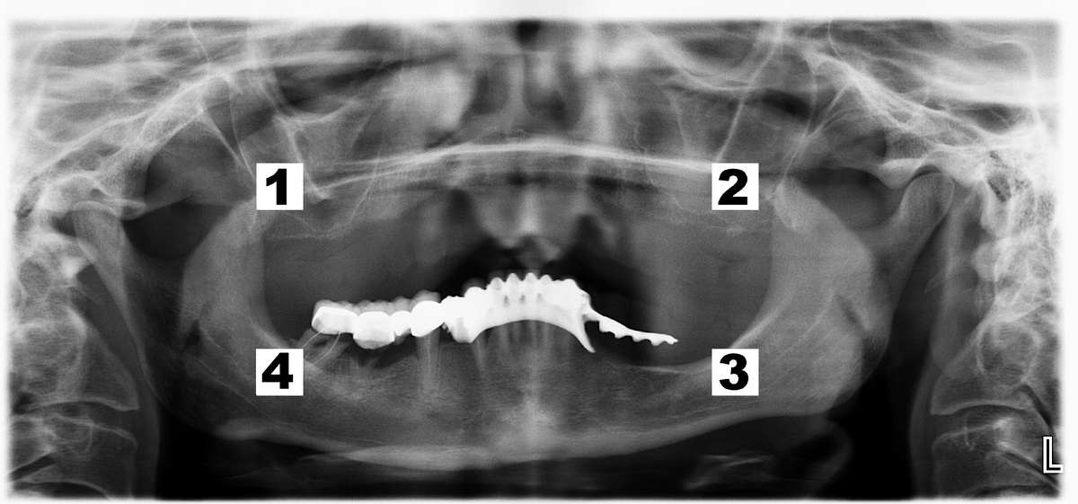
Верхняя челюсть
Снимем верхний протез 👇
- Полная адентия — все зубы отсутствуют, "компенсированы" съемным протезом
- Хороший биотип мягких тканей, достаточно толстая десна, подходящая для работы
- Костная ткань. Практически полная атрофия альвеолярного отростка в переднем отделе. В жевательных отделах — кость "ушла" по ширине
Нижняя челюсть
Отстёгиваем бюгельный протез 👇
Справа (сегмент 4 на снимке ОПТГ ☝️) — протяженный мостовидный протез из металлокерамики с опорой на собственные зубы 4.8 (зуб мудрости) и 4.4
- Зуб 4.8 и 4.5 пролечены не до конца, кариес корня, разъединение полностью под коронкой
- Корень зуба 4.7 практически полностью растворился
- Глубокие пародонтальные карманы между зубами 4.5 и 4.3, а также между 4.3 и 4.2
- Передние резцы, служившие опорой бюгельному протезу и коронкам из металлокерамики, несостоятельны
Слева (сегмент 3 на снимке ОПТГ ☝️) — хитрый бюгельный протез с металлическим основанием, фиксацией за клыки 4.3 и 3.3? замещающий зуб 4.4 и протяженностью 4 единицы
На снимке ОПТГ протез выглядит 👀 как хвостик, висящий в воздухе
От верхнего уровня альвеолярного гребня до тройничного нижнечелюстного нерва всего 8 мм. Это проблема, т.к. в данной области нерв не позволит установить имплантаты длиннее 6 мм, причём даже при установке таких коротких имплантатов риск получить в итоге парастезию (онемение) чрезвычайно высок.
Клиническая картина понятна, планируем тактику лечения и приступаем
Шаг 1. Остеопластика верхней челюсти
В первую очередь, необходимо нарастить костную ткань по ширине в жевательных отделах.
Нарастить кость по высоте, когда зубов не осталось совсем, невозможно. Никакой костный материал в таких условиях не приживётся
Проводим двусторонний синуслифтинг слева и справа за 1 визит по методике "Sausage Technique" профессора Иштвана Урбана. Для восстановления дефекта использовали мягкую мембрану Bio-Guide размером 30х40. Мембрану заполнили графтом — комбинацией костнопластического материала Bio-Oss и собственной измельченной кортикальной кости. Bio-Guide — резорбируемая мембрана, рассасывается примерно через месяц. Этого времени достаточно для того, чтобы регенерат частично интегрировался с костью челюсти и получил первичную стабильность
Операция длилась 4 часа 🕐, проводилась в седации 💤
В завершение отметим то, что при таких операциях самое трудное — это ушить десной участок с костным материалом. Десны банально не хватает для того, чтобы полностью закрыть этот новый объем. Необходимо проводить ювелирную мобилизацию лоскута, для того, чтобы десна не "раздавила" мягкую мембрану со всем её содержимым.
Шаг 2. Латерализация нижнечелюстного нерва и имплантация зубов
Через месяц после синус-лифтинга приступаем к самой ответственной и сложной части лечения — транспозиции тройничного нерва с одномоментной имплантацией. Как провели операцию, поэтапно:
- Удаляем несостоятельные резцы, передние зубы на нижней челюсти
- Надрезаем десну, открываем лоскут для визуализации ментального отверстия
- Формируем латеральное окно (в точности как при синус-лифтинге) в кости челюсти. Используем только пьезохирургический аппарат, т.к. бором проще простого повредить нерв
- Смещаем нерв, измельчаем кортикальную кость и подсыпаем её в область будущей имплантации
- Устанавливаем 2 имплантата
Так выглядит нижнечелюстной нерв "вживую":
Операция длилась 2 часа 🕐, проводилась в седации 💤
Далее — по заранее изготовленному хирургическому шаблону устанавливаем 3 имплантата во фронтальном и 4 имплантата в жевательном отделах
🕐 Установка 7 имплантатов заняла ещё 2 часа 🕐
Шаг 3. Пластика десны нижней челюсти
Так как при имплантации на нижней челюсти мы не использовали ни грамма искусственной кости, наращивание мягких тканей проводим уже через 2 месяца
Лоскут с твёрдого нёба пересаживаем в область установки имплантатов, с наружной щёчной стороны. Устанавливаем формирователи десны.
Шаг 4. Имплантация верхней челюсти
Тем временем, пришёл черед и верхней челюсти. Встречаемся для осмотра, делаем контрольный снимок компьютерной томографии, видим, что костная ткань сформировалась
По хирургическому шаблону проводим установку 8 имплантатов Astra Tech и прощаемся ещё на 3 месяца
🕐 Установка 8 имплантатов по шаблону заняла 1 час, плюс 1 час на подготовку к операции 🕐
Шаг 5. Пластика десны верхней челюсти
Очень-очень важный этап❗️ Но, пожалуй, и самый малоприятный для пациента. Необходимо нарастить толщину кератинизированной десны в области установки имплантатов. Т.е., фактически, по всей длине челюсти.
Напомним о том, что после наращивания костной ткани на предыдущем этапе работы с ВЧ, мы получили слабую, напряженную, словно "натянутую" десну. Такое состояние чрезвычайно опасно тем, что работа мышц верхней губы неизбежно приведет к растяжению мягких тканей и чревато тем, что:
1. Шейки имплантатов, как минимум в области зубов слева (сегмент №2), оголятся. Это приведет к периимлантиту и потере имплантатов
2. Параллельно и костная ткань снова будет частично утрачена
Адекватный образованный хирург не имеет права допустить подобные осложнения
Используем модифицированный метод апикально-смещенного лоскута по всей длине областей жевательных зубов слева и справа
Работаем с применением Mucoderm мембраны, которой укрываем надкостницу для компенсации высоты
В целом, острой необходимости в применении мембраны нет. В 8 случаях из 10 хирурги просто оставляют обнаженную надкостницу. Это нормально, не опасно и не приводит к осложнениям
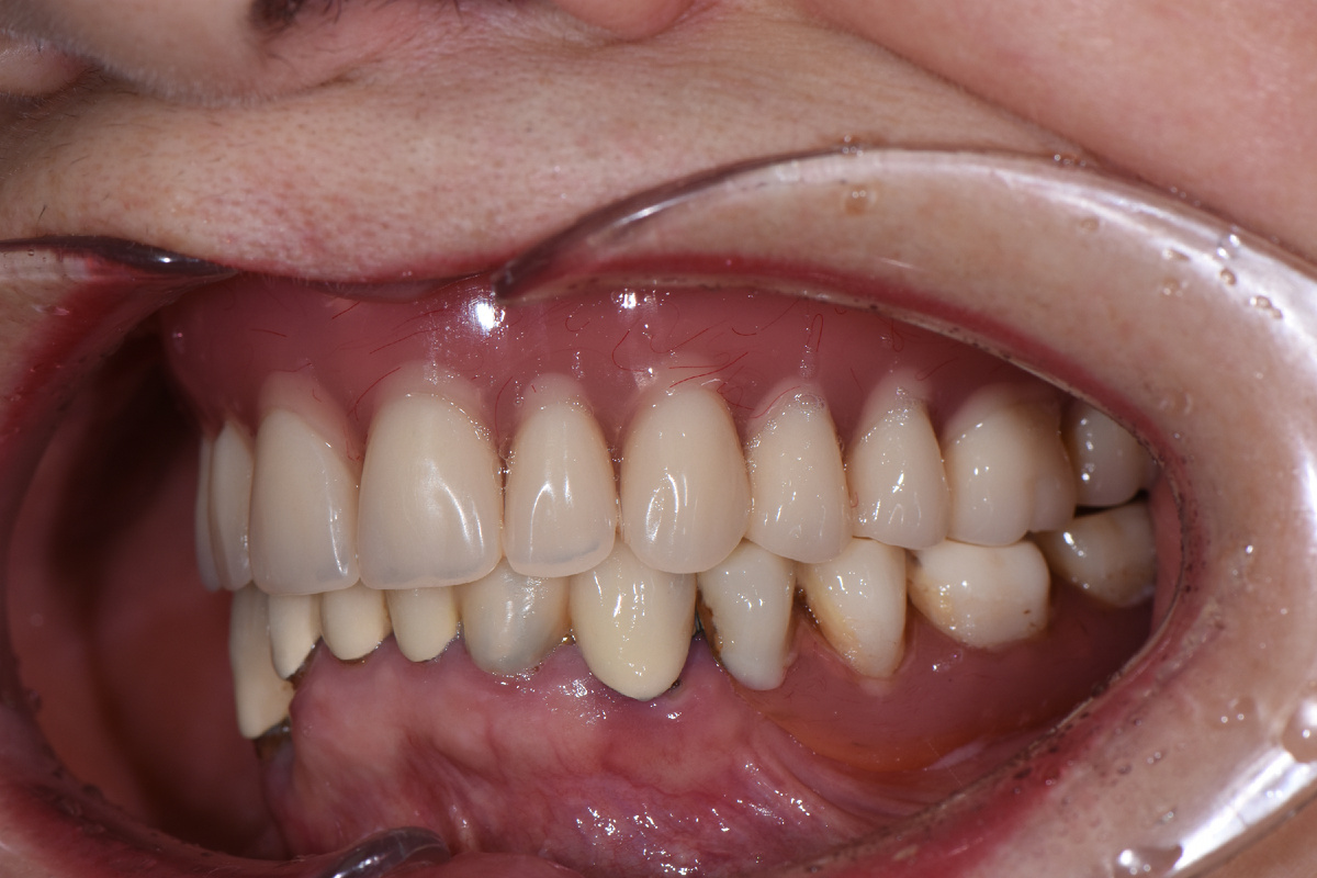
Результат ❗️всего через месяц❗️ после мягкотканной операции на фото ниже 👇
Честно говоря, до сих пор регенераторные возможности организма кажутся невероятными 💪
Обратите внимание на то, каким массивным сформировался слой мягких тканей на внешней стороне челюсти. В том месте, где мы смещали лоскут.
А также виден небольшой "провал" десны по всей длине альвеолярного гребня, где мы укрывали надкостницу мембраной. В течение 3-4 месяцев объем десны восстановится и в этом участке.
Длительная хирургическая подготовка наконец окончена 🎉 Приступаем к протезированию 👄
Шаг 6. Временные протезы
Фиксируем временные протезы через месяц после пластики десны на верхней челюсти
Шаг 7. Постоянные протезы
Через 6 месяцев устанавливаем постоянные протезы из диоксида циркония
❓ Бюгельный протез или имплантация
На примере нашей героини коснёмся важной темы протезирования зубов без хирургического вмешательства.
За опору возьмём "стартовую" фотографию нижней челюсти Карины 👇
Отмотаем плёнку на 10 лет назад в ту точку, когда Карина протезировала зубы нижней челюсти впервые.
Было ли верным решение справа установить мостовидный протез с опорой на зуб мудрости, а слева зафиксировать бюгельный протез с опорой на 2 клыка (зубы 3.3 и 4.3)?
Попробуем разобраться. И начнём с аргументов "за"
Плюсы
Никакой хирургии. Для многих пациентов это определяющий тезис в пользу протезирования на своих зубах даже в таких вот сложных случаях. Когда отсутствуют целые группы зубов
Нет рисков. Осложнения в виде онемения нижней трети лица, безусловно, нам не грозят
Дёшево. Судя по исполнению, эта композиция (бюгельный протез + мост) вряд ли обошлась нашей героине в бешеные деньги
Быстро. Обтачиваем зубы, снимаем слепок, отправляем технику, фиксируем протез. На всё про всё +/- один месяц 🤘
Минусы
Была ли такая "городьба" комфортна? Даже по фотографиям видно, что вряд ли. Причём известно то, что неудобства начались буквально с первых дней эксплуатации. И мучения продолжались каждый день. 10 с небольшим лет. Это чуть больше 3600 дней. Подряд.
Можно ли убираться в квартире ладошкой, чтобы не покупать тряпку и пылесос? Да, можно, но эффективность сомнительна
Оценим последствия. В целом, на примере Карины, можно заключить, что никаких драматичных последствий ношение столь изобретательно выполненных протезов не возымело.
Может ли протезирование на своих зубах, в т.ч. бюгельного типа, быть адекватным решением проблемы отсутствия зубов? Безусловно, да. И клинический случай Карины — ещё одно тому подтверждение.
Но с двумя оговорками:
Во-первых, нужно отдавать себе отчёт в том, что такое решение — временно. И может получиться так, что к вопросу с зубами придётся возвращаться снова. Если сценарий подходит, то отлично.
Во-вторых, съемное протезирование может быть качественным и должно быть таковым. В противном случае, есть риск потратить деньги на приобретение дискомфорта, заболеваний пародонта, атрофии костной ткани, гальваноза и даже онкологии.
Будьте здоровы и берегите себя ❤️ искренне ваши
Лечащие врачи
Шор Евгений Ильич. Планирование реабилитации от начала и до победного конца. Удаление несостоятельных зубов на нижней челюсти, латерализация нижнечелюстного нерва, моделирование хирургических шаблонов, установка 17 имплантатов Astra Tech, полный комплекс мобилизации и реабилитации мягких тканей
Записаться на консультацию можно здесь
Максутов Алиби Айнадинович. Временное протезирование и коррекции, в том числе съемными протезами в промежуточных хирургических этапах. Постоянные протезирование полными несъемными протезами из диоксида циркония с опорой на имплантаты
Записаться на консультацию можно здесь
✍️ Справка: реконструктивный синус-лифтинг
Лучший костный материал для остеопластики — аутокость, т.е. собственные твердые ткани. В виде блоков или т.н. костной "стружки".
Приживаемость аутокости — 99%, сроки приживления — кратчайшие, вплоть до 2 месяцев. Безусловно, с поправкой на возраст пациента, регенераторный потенциал и т.п.
Обычно, в качестве донора аутокости используют ретромолярную область. В области зубов мудрости на нижней челюсти.
Процедура забора костного собственного материала не болезненна (особенно, если проводится в седации), но малоприятна на следующий день, т.к. в этой области хирург воздействовал на мягкие ткани.
Травмировать нижнюю челюсть (часто ещё и с двух сторон!) для наращивания костной ткани на верхней — сомнительное удовольствие для пациента в постоперационный период. Нам этот вариант не подходит, так вообще делают крайне редко.
Тогда чем наращивают кость на верхней челюсти?
Область, в которую мы получили доступ после синуслифтинга, — это замкнутая полость, которая превосходно кровоснабжается "со всех сторон". И от кости, и от мембраны Шнайдера. Поэтому здесь даже чистый (т.е. без добавления аутокости) ксеногенный материал Bio-Oss буквально за 6-9 месяцев прорастает сосудами и превращается в челюсть без каких-либо проблем.
Но, есть секрет:
Открытый синуслифтинг предполагает формирование пьезоскальпелем небольшого костного окна в челюсти. В области примерно над корнем 5-ого или 6-ого зуба. Кусочек кортикальной кости (размером с ноготь на мизинце) — это и есть наш скромный, но всё же донор аутокости. После измельчения, смешиваем аутокостную стружку и материал Bio-Oss.
Результат:
- срок остеоинтеграции сокращаем до 4-6 месяцев, вместо 6-9 месяцев
- повышаем вероятность получить положительный результат
- сокращаем затраты пациента (Bio-Oss — дорогой материал)
🏥 Клиника реконструктивной стоматологии
Задать вопрос ✍️ WhatsApp
Позвонить 📞 +7 (495) 989-57-49
Мы рядом 🏥 Москва, Ленинский проспект, 105к1
