Найти в Дзене
У зубного

Определяем здоровую эмаль зубов и ее заболевания

Здоровая эмаль в норме - белая, с легким блеском, и у каждого она имеет свой неповторимый оттенок. На зубах появляются незначительные белые пятнышки? Значит есть повод посетить стоматолога. Потому что такие пятнышки служат началом разрушения эмали. Поговорим с врачом стоматологом-терапевтом Еганой Маруфиди. 📖Белые пятна на зубах можно условно разделить по времени появления: 🦷 Флюороз Возникает при длительном поступлении в организм фтора в больших дозах. Грубо говоря, это интоксикация фтором, который обычно проникает в организм с питьевой водой. У детей флюороз появляется еще до прорезывания зубов.
Флюороз нужно обязательно лечить. Так как избыточное количество фтора в организме ведет к разрушению эмали зубов и может привести к разрушению костных тканей во всем организме. 🦷 Гипоплазия эмали зубов Нарушение формирования и развития эмали зубов из-за неправильного обмена веществ.
По причине нарушения процессов метаболизма организм не получает все необходимые полезные микроэлементы. Эм
Оглавление

Здоровая эмаль в норме - белая, с легким блеском, и у каждого она имеет свой неповторимый оттенок. На зубах появляются незначительные белые пятнышки? Значит есть повод посетить стоматолога. Потому что такие пятнышки служат началом разрушения эмали. Поговорим с врачом стоматологом-терапевтом Еганой Маруфиди.

фото: Егана Маруфиди
фото: Егана Маруфиди

📖Белые пятна на зубах можно условно разделить по времени появления:

  • до прорезывания зуба - флюороз и гипоплазия эмали
  • после прорезывания зуба - кариес в стадии белого пятна

🦷 Флюороз

Возникает при длительном поступлении в организм фтора в больших дозах. Грубо говоря, это интоксикация фтором, который обычно проникает в организм с питьевой водой. У детей флюороз появляется еще до прорезывания зубов.
Флюороз нужно обязательно лечить. Так как избыточное количество фтора в организме ведет к разрушению эмали зубов и может привести к разрушению костных тканей во всем организме.

🦷 Гипоплазия эмали зубов

Нарушение формирования и развития эмали зубов из-за неправильного обмена веществ.
По причине нарушения процессов метаболизма организм не получает все необходимые полезные микроэлементы. Эмаль становится тонкой и уязвимой. Как факт - зуб может сломаться даже при незначительной нагрузке.

Гипоплазия появляется на зубах еще до прорезывания. Гипоплазия эмали зубов лечится только симптоматически. Лечение заключается в проведении реконструкции эмали зубов.

Гипоплазию различают:

  • системная -поражаются одноименные зубы
  • местная - поражение в области одного зуба

🦷 Кариес в стадии белого пятна

Начальная стадия кариеса. Эмаль тускнеет, утрачивает свой блеск и становится рыхлой. Кариес можно отличить от других заболеваний тем, что в стадии пятна, обычно, он располагается в пришеечной области. Кариес появляется уже после прорезывания зубов. Зависит во многом от внешних воздействий на эмаль зуба.

Все эти виды белых пятен требуют лечения у стоматолога и принятия определенных мер по общему укреплению организма.

🩺Профессиональный опыт:

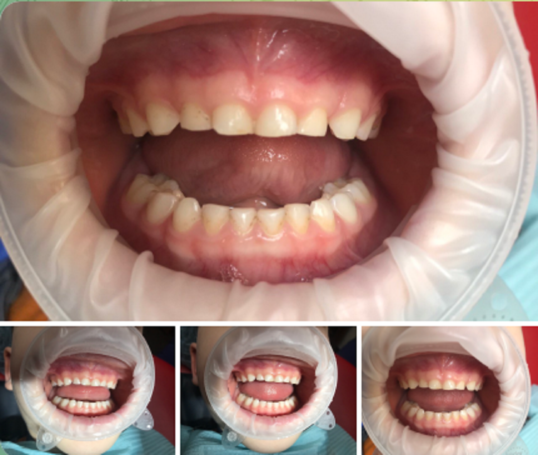
🔬Диагноз:

Системная гипоплазия - поражены все 6-е постоянные зубы.

-3
Когда ставишь этот диагноз, ты уже понимаешь, что с этим пациентов ты надолго. Все кроется в закладке и формировании зубов в утробе матери.

Чем же чревата данная патология для пациента?
У малыша периодически скалываются фрагменты зубов.

💉Лечение:

Мы восстанавливаем зуб композитом. Прикус пока полностью не сформирован. Когда прорежутся все постоянные зубы, мы перестанем "латать" зубы композитом и наденем коронку. Главное, сохранить зубы и не депульпировать. Ибо восстанавливать и сохранять уже будет не из-чего. И важно, это сохранить прикус и зубной ряд.


А также проводим профессиональную гигиену и реминерализацию эмали с помощью специальных препаратов, чтобы максимально дольше сохранить свои ткани и избежать развития кариеса.

Другие публикации канала:

Здоровое питание: вкусный и полезный салат

Трейнер: помощник в исправлении прикуса

Стоматит: что же это такое, как его опознать и вылечить

Короткая уздечка: коррекция уздечки языка

На МРТ в брекетах и с ретейнером

Брекеты: почему больно или почему результат не закрепился

Заеды: причины появления болячек в уголках губ

Травма зуба: хочу, чтобы было красиво

Великолепная восьмерка: зубы мудрости

Дентофобия: 5 способов борьбы со страхом

Миофункциональная терапия: поговорим с врачом

Стоматология: профилактика наше всё

Серебрение: как метод лечения начальных форм кариеса

Существует прямая связь болезней зубов и десен с едой

Возможно ли лечение кариеса без сверления: поговорим с врачом

Когда впервые показать ребенка стоматологу: поговорим с врачом

Период беременности окутан «зубными» мифами

Зачем обращаться к ортодонту: прикус

Профессиональная чистка зубов у детей имеет свои особенности

Часто мамочки спрашивают: налет Пристли

Чистим зубки утром и вечером, откуда взялся кариес?

Неправильный прикус и как с этим "бороться"

Как часто логопед советует посетить стоматолога или ортодонта?

Сахар - актуальная тема для обсуждения: заметки врача

Выбор зубной щетки для ребенка

Все мамочки хотят, чтобы их детки были здоровы: от 0 до 5 лет

Молочные зубы: лечить нужно, а предупредить о заболевании можно

Витамины и минералы для зубов и десен

Лечение пульпита или как уберечь зуб от удаления: поговорим с доктором