Добавить в корзинуПозвонить
Найти в Дзене

Увеличенный лимфоузел оказался опухолью. Случай из практики.

Сегодня хочу рассказать вам об очередном клиническом случае и речь в нем пойдет о единственном, но очень важном симптоме. И это увеличение лимфоузлов. Данный симптом игнорировать нельзя ни в коем случае и нужно немедленно обращаться к врачу. Да, в большинстве случаев вам скажут, что ничего страшного нет, но бывают и более серьезные ситуации, как в нашей сегодняшней истории. В конце, по традиции, небольшое отступление. Наша героиня, женщина средних лет, в августе 2021 года столкнулась с тем, что многие считают пустяковым неудобством — увеличением лимфоузла на шее. «Наверное, продуло», — думала она, продолжая лечиться от простуды самостоятельно. Неделя шла за неделей, узел не уменьшался, но и других жалоб не было. «Потом схожу к врачу», — успокаивала себя женщина, продолжая жить обычной жизнью. Но ситуация не улучшилась, лимфоузел продолжал расти, и с каждым днём это становилось всё заметнее. То, что сначала казалось небольшим уплотнением размером с горошину, постепенно превратилось в яв
Оглавление

Сегодня хочу рассказать вам об очередном клиническом случае и речь в нем пойдет о единственном, но очень важном симптоме. И это увеличение лимфоузлов. Данный симптом игнорировать нельзя ни в коем случае и нужно немедленно обращаться к врачу. Да, в большинстве случаев вам скажут, что ничего страшного нет, но бывают и более серьезные ситуации, как в нашей сегодняшней истории. В конце, по традиции, небольшое отступление.

Начало болезни

Наша героиня, женщина средних лет, в августе 2021 года столкнулась с тем, что многие считают пустяковым неудобством — увеличением лимфоузла на шее. «Наверное, продуло», — думала она, продолжая лечиться от простуды самостоятельно. Неделя шла за неделей, узел не уменьшался, но и других жалоб не было. «Потом схожу к врачу», — успокаивала себя женщина, продолжая жить обычной жизнью.

Но ситуация не улучшилась, лимфоузел продолжал расти, и с каждым днём это становилось всё заметнее. То, что сначала казалось небольшим уплотнением размером с горошину, постепенно превратилось в явную припухлость, которую уже нельзя было игнорировать. Пациентка обратилась в частное медицинское учреждение только спустя полтора месяца, к тому моменту «шишка» достигла размера в несколько сантиметров. Было назначено первоочередное обследование - УЗИ лимфатических узлов шеи.

Результат УЗИ: подчелюстной лимфаденит справа.

Пациентке было назначено консервативное лечение, которое успеха ей не принесло.

Обследование у онколога

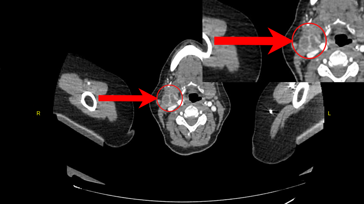
К онкологу пациентка попала только в ноябре 2021 года, спустя 3 месяца от появления симптомов. При первичном осмотре был выявлен конгломерат увеличенных лимфоузлов в подчелюстной области справа, в наибольшем измерении до 5 см, безболезненный, ограниченно подвижный. Других патологических изменений не было выявлено.

Конгломерат увеличенных подчелюстных лимфоузлов на КТ.
Конгломерат увеличенных подчелюстных лимфоузлов на КТ.
...в подчелюстном пространстве справа определяются узловые структуры с периферическим контрастированием, в центральных отделах пониженной плотности - до 25х20 и 20х21мм...

Для уточнения диагноза была выполнена биопсия данного образования. Гистологическое исследование показало результат, которого мы опасались больше всего:

Морфологическая картина метастаза плоскоклеточной неороговевающей карциномы в лимфоузел.

Мы понимали, что в лимфоузле первично не может возникнуть плоскоклеточный рак. Это был метастаз и его происхождение требовалось уточнить в кратчайшие сроки. Гистология и локализация увеличенных лимфоузлов говорили нам о том, что опухоль нужно искать в органах головы и шеи, хотя мы не забыли исследовать и весь остальной организм.

Увеличенные лимфоузлы на КТ в другой проекции.
Увеличенные лимфоузлы на КТ в другой проекции.

Пациентке был выполнен полный онкопоиск. Проведены МРТ мягких тканей шеи, ПЭТ/КТ, даже гастроскопия и колоноскопия. Как ни странно другой патологии, кроме измененных лимфоузлов не было выявлено. Также пациентка была осмотрена онкологом специалистом по опухолям головы и шеи, стоматологом. Первичной опухоли не было найдено.

Какие же итоги лечения

У нас сложилась интересная ситуация. Есть метастаз в лимфоузел, но нет самой опухоли.

По данным различных источников такие ситуации в практике встречаются не более чем в 2-3% случаев. Принадлежность к какому-то конкретному органу установить практически невозможно.

Был установлен диагноз:

Метастазы плоскоклеточной карциномы в подчелюстные лимфоузлы справа без выявленного первичного очага cTxNxM1.

Учитывая локализацию и гистологический вариант опухоли, на консилиуме было принято решение проводить терапию следующим образом.

  • 1 этап. Химиотерапия на основе препарата платины. Всего было проведено 6 курсов и при контрольном обследовании мы увидели заветную положительную динамику. Опухолевый конгломерат уменьшился практически на 50%.
  • 2 этап. Проведен курс лучевой терапии на область лимфатических узлов шеи с двух сторон и область гортаноглотки. Контрольное обследование через 2 месяца показало, что опухоль полностью ушла. На ее месте остались единичные лимфоузлы нормального размера.
Результаты лечения спустя 1 год. Отсутствие опухоли по данным очередного КТ.
Результаты лечения спустя 1 год. Отсутствие опухоли по данным очередного КТ.

Рассуждение на тему

С момента окончания лечения прошло уже 3 года и можно уверенно сказать, что у данной пациентки ремиссия. И это при IV стадии. Хороший пример в копилку случаев, подтверждающих, что рак это не приговор…

-5

Но все могло быть иначе. Мы часто слышим истории о том, как важно не затягивать с визитом к врачу. Но только когда сталкиваешься с подобным лично, начинаешь понимать истинную цену промедления. Задержка в обращении за медицинской помощью может привести к серьёзным последствиям и иногда минуты решают всё.

Действительно, лимфоузлы могут увеличиваться по разным причинам. Далеко не всегда виновата онкология. Это могут быть и инфекционные заболевания, воспалительные процессы и другие ситуации. Но в любом случае требуется консультация врача для определения точной причины и назначения лечения.

Заключение

Эта история — не призыв к панике, а напоминание о том, что каждый симптом может быть ключом к раннему выявлению серьёзного заболевания. Обращайтесь к специалисту вовремя.

Здоровья Вам и вашим близким!

Друзья, подписывайтесь на канал, здесь будет много интересной и полезной информации!

_________________________________

Возможно Вам будет интересно: