Найти в Дзене

Очень редкая опухоль у молодой пациентки. Случай из практики.

Сегодня хочется рассказать замечательную историю выздоровления молодой пациентки, которой на момент болезни было 28 лет. Отдельно будет несколько слов о ее очень редком и серьезном типе опухоли и о том, как важно в этой ситуации подобрать правильное лечение. Дебют истории был в конце 2022 года, когда наша героиня постепенно стала ощущать нехватку воздуха, слабость. Перед этим она болела ОРВИ, поэтому в начале не придала этому значения. Далее симптомы развивались быстро, нарастала нехватка воздуха, развивалось удушье. Пациентка попала в нашу клинику по скорой медицинской помощи. При первичном обследовании сразу же был поставлен неутешительный диагноз: новообразование правого главного бронха с переходом на трахею, обструкция ( перекрытие) дыхательных путей 3 степени. На тот момент речь шла о принятии молниеносных решений. В отделении торакальной хирургии была проведена реканализация опухоли для восстановления проходимости дыхательных путей. К счастью, после этого наша пациентка вновь вс
Оглавление

Сегодня хочется рассказать замечательную историю выздоровления молодой пациентки, которой на момент болезни было 28 лет. Отдельно будет несколько слов о ее очень редком и серьезном типе опухоли и о том, как важно в этой ситуации подобрать правильное лечение.

Начало

Дебют истории был в конце 2022 года, когда наша героиня постепенно стала ощущать нехватку воздуха, слабость. Перед этим она болела ОРВИ, поэтому в начале не придала этому значения. Далее симптомы развивались быстро, нарастала нехватка воздуха, развивалось удушье. Пациентка попала в нашу клинику по скорой медицинской помощи.

При первичном обследовании сразу же был поставлен неутешительный диагноз: новообразование правого главного бронха с переходом на трахею, обструкция ( перекрытие) дыхательных путей 3 степени.

Обструкция трахеи. Черным цветом отображается оставшийся щелевидный просвет трахеи. Воздух поступает только через него.
Обструкция трахеи. Черным цветом отображается оставшийся щелевидный просвет трахеи. Воздух поступает только через него.

На тот момент речь шла о принятии молниеносных решений. В отделении торакальной хирургии была проведена реканализация опухоли для восстановления проходимости дыхательных путей. К счастью, после этого наша пациентка вновь встала на ноги и у нее снова больше не было никаких симптомов.

Действия онкологической службы

После восстановления нормального состояния пациентке было назначено обследование, проведение биопсии образования бронха.

На компьютерной томографии, выполненной еще до всех вмешательств, мы видели опухолевую массу, которая практически полностью перекрывала трахею в нижней трети, а также главный бронх справа, верхнедолевой бронх.

Тот же снимок в другом режиме просмотра. Красным обведена опухоль.
Тот же снимок в другом режиме просмотра. Красным обведена опухоль.

Из описания компьютерной томографии:

...в составе ворот правого лёгкого определяется солидное объёмное образование с нечёткими, неровными контурами, неоднородно накапливающее контрастное вещество, максимальным измеряемым размером до 40х32мм, субтотально облитерирует просвет правого главного бронха, частичное сужение просвета трахеи на уровне бифуркации, распространение на стенку дистальных отделов трахеи...

Также было проведено эндоскопическое УЗИ, по данным которого мы увидели увеличенные лимфатические узлы средостения. К счастью отдаленных метастазов не было.

После биопсии опухоли пришло следующее гистологическое заключение:

Морфология и иммунофенотип опухоли наиболее характерен для аденокистозного рака бронхиальных желез.

Был установлен диагноз: Аденокистозный рак правого главного бронха с распространением на трахею cT4N2M0.

Данный вид опухоли является крайне редким и имеет определенные особенности. Соответственно, подход к его лечению должен быть также особый. Стандартные протоколы здесь бы оказались неэффективными.

К счастью данный вид опухоли отличается хорошей чувствительностью к лучевой терапии. Пациентке был назначен курс лучевой терапии по радикальной программе. За проведение лечения взялись коллеги из федерального центра ФГБУ РНЦРР, имеющие опыт в проведении подобной терапии. Лучевая терапия была проведена отлично, за что им большое спасибо.

Снимок КТ через 3 месяца после лечения. Черным цветом отображется нормальный просвет трахеи, видно, что опухоль полностью ушла.
Снимок КТ через 3 месяца после лечения. Черным цветом отображется нормальный просвет трахеи, видно, что опухоль полностью ушла.

К нашему большому удовлетворению первое же контрольное обследование через 3 месяца показало полное отсутствие опухоли.

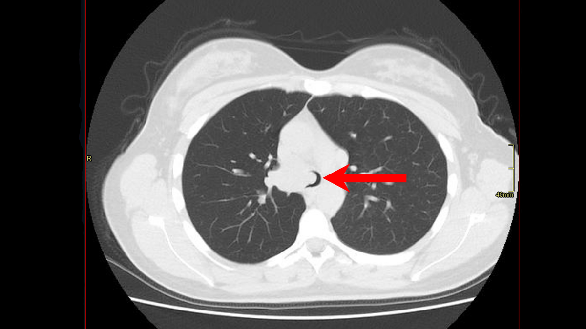
На КТ указан верхнедолевой бронх справа, также полностью проходимый.
На КТ указан верхнедолевой бронх справа, также полностью проходимый.

Была выполнена бронхоскопия через 4 месяца после окончания лечения, к нашему облегчению была отмечена полная резорбция ( рассасывание) опухоли. При биопсии также опухолевых клеток не было обнаружено. На месте опухоли остался только небольшой рубец, и это без всяких операций. Удивительный результат.

В настоящее время пациентка прекрасно себя чувствует, у нее нет никаких симптомов болезни. Продолжает регулярно обследоваться. Прошло уже 2 года.

Аденокистозный рак легкого

Данный вид опухоли - это крайне редкое злокачественное заболевание. По статистике оно занимает не более 0,1% среди всех видов рака органов дыхания. На практике такой случай можно встретить один раз в несколько лет.

-5

Практически всегда аденокистозный рак локализуется в трахее или крупных бронхах, склонен к экзофитному росту, то есть растет в просвет бронха, перекрывая потоки воздуха. Как и при любой другой опухоли на ранних стадиях симптоматики нет, заподозрить просто так не получится. По мере увеличения образования симптоматика может появиться, но быть неспецифической: слабость, утомляемость, ощущение нехватки воздуха. В конце концов опухоль может привести к нарушению проходимости воздуха, как и было в нашем случае.

Несмотря на такую картину, данный вид опухоли характеризуется благоприятным прогнозом при правильном лечении. В данном случае операция и химиотерапия не принесли бы желаемого эффекта, но, к счастью, чувствительность к лучевой терапии очень высока, о чем мы знали. Правильно выбранный метод лечения и идеальное его исполнение привели к полному излечению пациентки без оперативного вмешательства и, конечно, к спасенной жизни.

Заключение

Правильно поставленный гистологический диагноз крайне важен, так как вокруг этого почти всегда и строится лечение, наравне со стадией заболевания. Всегда будет не лишним сделать пересмотр гистологических препаратов в специализированном онкологическом учреждении для более точной диагностики. В конечном итоге это поможет построить правильную тактику лечения и получить отличный результат.

Здоровья Вам и вашим близким!

Друзья, подписывайтесь на канал, здесь будет много интересной и полезной информации!

_________________________________

Возможно Вам будет интересно: