Добавить в корзинуПозвонить
Найти в Дзене

Кальцинаты в организме: сигнал тревоги или норма?

В последнее время всё больше людей сталкиваются с заключением “кальцинаты” при прохождении медицинских обследований. Мы можем увидеть их при выполнении различных методов исследования и в различных органах. Что же это такое, и стоит ли паниковать при их обнаружении? Кальцинаты представляют собой специфические образования – скопления солей кальция, которые могут формироваться в различных органах человеческого тела. Важно понимать, что сами по себе эти образования не являются заболеванием, но служат своеобразным маркером, указывающим на возможные проблемы в организме. Традиционно кальцинаты разделяют по размерам: Сразу хочется сказать, что единичные кальцинаты в организме не являются патологией, в различных органах они могут встречаться у каждого из нас. Паниковать не следует, и лечить их не следует. Разбираться стоит в том случае, если кальцинаты являются множественными или имеют патологический вид, сгруппированный характер, имеют непосредственную связь с какими-либо новообразованиями. П
Оглавление

В последнее время всё больше людей сталкиваются с заключением “кальцинаты” при прохождении медицинских обследований. Мы можем увидеть их при выполнении различных методов исследования и в различных органах. Что же это такое, и стоит ли паниковать при их обнаружении?

Кальцинаты представляют собой специфические образования – скопления солей кальция, которые могут формироваться в различных органах человеческого тела. Важно понимать, что сами по себе эти образования не являются заболеванием, но служат своеобразным маркером, указывающим на возможные проблемы в организме.

Традиционно кальцинаты разделяют по размерам:

  • микрокальцинаты, размер около 0,1-2мм.
  • макрокальцинаты, размер от 3 мм и больше.

Причины возникновения кальцинатов

Сразу хочется сказать, что единичные кальцинаты в организме не являются патологией, в различных органах они могут встречаться у каждого из нас. Паниковать не следует, и лечить их не следует. Разбираться стоит в том случае, если кальцинаты являются множественными или имеют патологический вид, сгруппированный характер, имеют непосредственную связь с какими-либо новообразованиями.

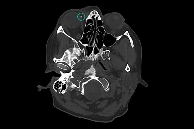
Кальцинат в области глазницы.
Кальцинат в области глазницы.

Причины возникновения кальцинатов разнообразны, обычно они все связаны друг с другом и усиливают общий эффект. Основные из них это:

  • нарушение кальциевого обмена.
  • гипервитаминоз D.
  • эндокринные нарушения.
  • воспалительные процессы.

Одной из главных причин образования кальцинатов является нарушение обмена кальция в организме. Это может быть вызвано избытком кальция из-за бесконтрольного приема витаминных и минеральных комплексов. Часто такое состояние связано с нарушением работы паращитовидных желез, что приводит к неправильному распределению кальция в тканях организма.

Высокий уровень витамина D также играет значительную роль в формировании кальцинатов. Витамин D активно участвует в процессе усвоения кальция организмом. При его избытке происходит повышенное всасывание кальция из пищи, что приводит к развитию гиперкальциемии. В результате излишки кальция начинают откладываться в различных тканях организма.

-3

Проблемы с эндокринной системой являются еще одним важным фактором риска. Нарушения в работе щитовидной железы, патологии паращитовидных желез и сахарный диабет напрямую влияют на обмен кальция в организме. Эти эндокринные расстройства могут существенно нарушать баланс кальция в организме, способствуя формированию кальцинатов.

Воспалительные процессы в организме играют существенную роль в формировании кальцинатов. Хронические воспаления различных органов, инфекционные заболевания и травмы могут провоцировать отложение кальция в местах повреждения тканей. Это естественный процесс, при котором организм пытается “запечатать” поврежденные участки.

Гормональная перестройка организма также может способствовать образованию кальцинатов. Беременность и период лактации, пубертатный период и климакс сопровождаются значительными изменениями в гормональном фоне. Поскольку гормоны оказывают существенное влияние на обмен кальция и фосфора, эти периоды могут стать критическими для формирования кальцинатов.

Связь кальцинатов с онкологией

Как мы поняли из предыдущего раздела, далеко не всегда наличие кальцинатов свидетельствует о патологии в организме или тем более об онкологии. Но все же некоторые кальцинаты могут иметь связь с опухолевым процессом. В таких случаях всегда рекомендуется дообследование у специалиста. Давайте посмотрим, когда кальцинаты должны нас насторожить.

Кальцинаты молочной железы.
Кальцинаты молочной железы.

Потенциально злокачественные кальцинаты имеют ряд характерных признаков, отличающих их от доброкачественных образований:

  • Размер: мелкие (до 0,5 мм)
  • Контуры: нечеткие, неровные
  • Форма: неправильная, могут быть линейными или разветвленными
  • Распределение: кластерное (групповое), не менее 5 штук на кубический сантиметр
  • Количество: большое

У доброкачественных кальцинатов тоже есть свои характерные признаки:

  • Размер: крупные, хорошо визуализируются
  • Контуры: ровные, четкие, часто округлые
  • Форма: могут иметь характерный вид “яичной скорлупы”, “кофейной чашки”, “попкорна”
  • Распределение: равномерное (диффузное).
  • Количество: небольшое
  • Особенности: часто связаны с воспалительными процессами, травмами, операциями

Где часто можно встретить кальцинаты

Рассмотрим основные локализации и особенности этого процесса.

  • Легкие. Кальцинаты в легочной ткани обычно представляют собой небольшие капсуловидные образования. Единичные кальцинаты никак не будут влиять на дыхательную функцию и вызывать жалобы. Такие отложения могут быть следствием любого воспалительного процесса: перенесенного туберкулеза или пневмонии, бронхиолита. Также могут указывать на нарушения кальциевого обмена.
Единичный кальцинат в легком на КТ.
Единичный кальцинат в легком на КТ.
  • Молочная железа. Кальцинаты в тканях железы часто обнаруживаются при профилактических обследованиях ( маммография, УЗИ). Их появление может быть связано с индивидуальными особенностями строения молочных желез, генетической предрасположенностью или перенесенными заболеваниями, а также онкологией. Необходимо учитывать признаки, о которых мы говорили выше.
  • Предстательная железа. Кальцинаты в простате чаще всего формируются на фоне хронического воспаления. Мелкие отложения (около 1 мм) могут оставаться незамеченными при УЗИ-исследовании.
  • Щитовидная железа. Отдельные единичные кальцинаты могут встречаться в тканях щитовидной железы, они не требуют лечения. Поводом для беспокойства могут стать кальцинаты, расположенные непосредственно в узлах щитовидной железы. Такие включения могут быть признаком злокачественного характера узла, но тоже не всегда.
  • Почки. Формирование кальцинатов часто связано с различными патологиями: гломерулонефритом, пиелонефритом, почечными кистами.

Заключение

В большинстве случаев кальцинаты являются либо естественной ситуацией, либо следствием заболеваний или физиологических процессов, не связанных с онкологией. При их обнаружении важно провести комплексное обследование для установления истинной причины их появления.

Здоровья Вам и вашим близким!

Друзья, подписывайтесь на канал, здесь будет много интересной и полезной информации!

_________________________________

Возможно Вам будет интересно: