Добавить в корзинуПозвонить
Найти в Дзене

У пациентки не было никаких симптомов. Практика онколога.

Сегодня хочу рассказать случай заболевания одной из своих пациенток. Считаю его очень показательным, пожалуйста, дочитайте до конца, там будет несколько «мыслей вслух», о том, можно ли было всего этого избежать. Пациентке на момент начала истории было 60 лет. Хочется отдельно отметить, что она прекрасно себя чувствовала, у нее не было никаких жалоб. Она продолжала работать и вести обычный образ жизни. Более того, она исправно каждый год проходила проф. осмотр по месту жительства, выполняла практически все назначения терапевта… к сожалению, один анализ игнорировался. Начало истории было в октябре 2024 года, в момент очередной диспансеризации, когда флюорография неожиданно показала наличие больших образований в легких, причем множественных. Год назад у пациентки ничего подобного не было. Прилагаю снимки сделанные при флюорографии. На первом снимке осень 2023 года, а на втором снимке осень 2024 года. Для наглядности также прилагаю снимок сделанный в боковой проекции. Честно говоря, такую
Оглавление

Сегодня хочу рассказать случай заболевания одной из своих пациенток. Считаю его очень показательным, пожалуйста, дочитайте до конца, там будет несколько «мыслей вслух», о том, можно ли было всего этого избежать.

Пациентке на момент начала истории было 60 лет. Хочется отдельно отметить, что она прекрасно себя чувствовала, у нее не было никаких жалоб. Она продолжала работать и вести обычный образ жизни. Более того, она исправно каждый год проходила проф. осмотр по месту жительства, выполняла практически все назначения терапевта… к сожалению, один анализ игнорировался.

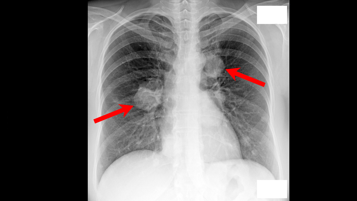
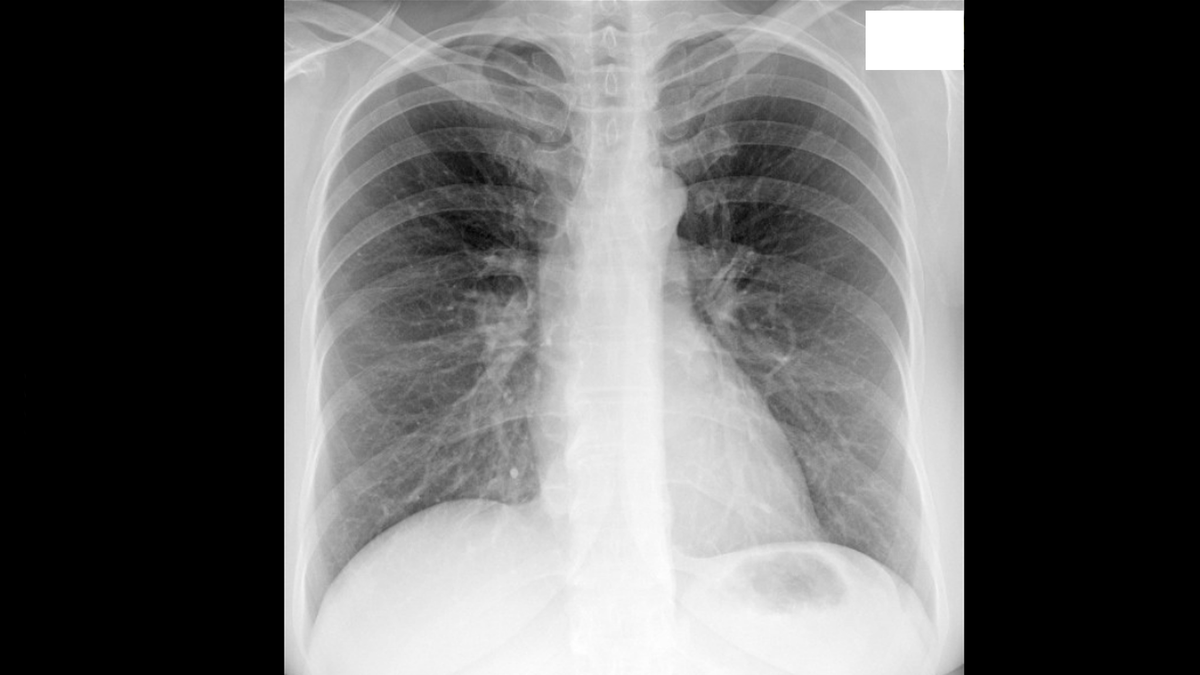
Начало истории было в октябре 2024 года, в момент очередной диспансеризации, когда флюорография неожиданно показала наличие больших образований в легких, причем множественных. Год назад у пациентки ничего подобного не было.

Прилагаю снимки сделанные при флюорографии. На первом снимке осень 2023 года, а на втором снимке осень 2024 года.

Флюорография. Осень 2023 года.
Флюорография. Осень 2023 года.
Флюорография. Осень 2024 года.
Флюорография. Осень 2024 года.

Для наглядности также прилагаю снимок сделанный в боковой проекции. Честно говоря, такую картину не каждый день приходится видеть. Пациентка сразу была направлена к онкологу.

Флюорография. Боковая проекция.
Флюорография. Боковая проекция.

Наше обследование

Незамедлительно пациентке была выполнена компьютерная томография грудной клетки, брюшной полости и органов малого таза с внутривенным контрастированием.

...КТ ОГК, ОБП, ОМТ с КУ: в обоих легких отмечаются множественные разнокалиберные полиморфные очаги: наиболее крупные в прикорневых отделах и парамедиастинально, размерами до 50х40 мм...

Просмотрев КТ исследования пациентки, я заподозрил метастатическое поражение обоих легких. При этом одно образование в правом легком меня смутило, оно со всех сторон обрастало бронх. Очень важным моментом являлся тот факт, что кроме поражения легких других опухолей не было выявлено.

Бронх в просвете образования ( черный цвет - воздух).
Бронх в просвете образования ( черный цвет - воздух).

Для установления характера поражения была назначена трансбронхиальная биопсия. Трансбронхиальная биопсия - это метод забора ткани на анализ при выполнении бронхоскопии с помощью специальной биопсийной иглы.

Гистологическое исследование: Морфологическая картина и иммунофенотип аденокарциномы колоректального типа.

Таким образом стало понятно, что действительно у пациентки имеется метастатическое поражение обоих легких аденокарциномой. Так как заранее было подозрение, что первичная опухоль скрывается где-то в другом месте, пациентке ранее было назначено комплексное обследование. И действительно, опухоль нашли. У пациентки была выявлена опухоль прямой кишки. Биопсия подтвердила этот факт.

Гистологическое исследование : Аденокарцинома LG прямой кишки.

У пациентки на момент постановки диагноза не было абсолютно никаких жалоб: не было ни похудения, ни слабости, ни запоров, ни жидкого стула. Не было и явных кровотечений, также общий анализ крови был в порядке. По данным МРТ прямой кишки опухоль не проросла даже за пределы кишки. Был установлен диагноз: Рак прямой кишки cT2N1M1.

Лечение пока не начали

Нас обнадеживал тот факт, что пациентка была в отличном состоянии и мы могли проводить лечение в ожидании хорошего эффекта. Но за два дня до предполагаемой химиотерапии у пациентки внезапно - потеря сознания, скорая, госпитализация, диагноз - инсульт. У нас непонимание. При обследовании в стационаре по данным КТ головного мозга выявляется метастаз в головном мозге, кровоизлияние в метастаз.

Метастаз в стволе головного мозга
Метастаз в стволе головного мозга

Метастазы в головной мозг крайне редкое явление при раке кишечника, рутинное обследование в данном случае не проводится. МРТ или КТ назначается только при подозрении на очаговую симптоматику со стороны головного мозга. К сожалению, эту ситуацию невозможно предугадать. В настоящее время наша пациентка проходит лечение у коллег-неврологов и мы очень ждем ее возвращения для специализированной терапии.

Можно ли было избежать всего, что случилось?

Вопрос, конечно, риторический и ответ на него мы не сможем узнать. Как я уже говорил женщина не имела никаких жалоб и регулярно проходила диспансеризацию. Но мне стало интересно, как возможно было пропустить болезнь на такой стадии.

Я начал анализировать карту пациентки, начиная с 2022 года, и обнаружил интересный факт. Она проходила диспансеризацию полностью за исключением одного анализа - анализа кала на скрытую кровь.

Что это за анализ?

Кал на скрытую кровь исследуют с помощью специальной пробы Грегерсена, которая позволяет обнаружить гемоглобин эритроцитов в кале. Этот анализ очень важен, помогает обнаружить кровотечения которые не видны глазу и даже которые не увидеть при микроскопии. Данный анализ входит в диспансеризацию населения.

Мог бы данный анализ указать на наличие проблемы в данном случае? Возможно. Скрытое хроническое кровотечение часто сопровождает опухоли толстой кишки.

Чтобы анализ был эффективен и не было ложноположительных результатов, необходимо тщательно соблюдать правила по подготовке.

Заключение

В конце статьи хотелось бы сказать следующее: никогда не пренебрегайте анализами в диспансеризации. Даже если некоторые из них кажутся вам незначительными или не очень приятными, не откладывайте их в сторону. Возможно этот анализ поможет предотвратить серьезные последствия для вашего здоровья.

Здоровья Вам и вашим близким!

Друзья, подписывайтесь на канал, здесь будет много интересной и полезной информации!

_________________________________

Возможно Вам будет интересно: