Найти в Дзене

Какова диагностическая точность маммографии?

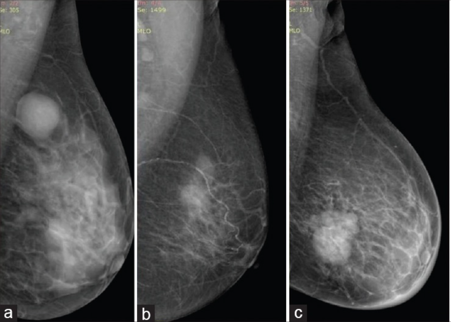
Ранний рак молочной железы в большинстве случаев является скрытым и часто не поддается обнаружению при пальпации. Маммография является основным методом визуализации рака молочной железы как при скрининге, так и в процессе обследования при подозрении на злокачественную опухоль. - для непальпируемых образований составляет 92,2%; - для пальпируемых образований составляет 93,2%. Средний размер злокачественной опухоли, обнаруженной при маммографии составляет 2,23 см. У пациенток в возрасте до 40 лет точность маммографии значительно ниже из-за высокой плотности молочных желез. Ошибки в диагностике чаще наблюдаются у пациенток с плотной грудью, поскольку фиброзно-железистая плотность ткани накладывает тень на изображение и ухудшает детализацию маммографии, что приводит к диагностическим неудачам. С возрастом плотность молочных желез снижается и визуализация патологических изменений значительно облегчается. В возрасте от 40 до 50 лет диагностическая точность маммографии составляет около 84%,
Оглавление

Ранний рак молочной железы в большинстве случаев является скрытым и часто не поддается обнаружению при пальпации. Маммография является основным методом визуализации рака молочной железы как при скрининге, так и в процессе обследования при подозрении на злокачественную опухоль.

Чувствительность маммографии:

- для непальпируемых образований составляет 92,2%;

- для пальпируемых образований составляет 93,2%.

Средний размер злокачественной опухоли, обнаруженной при маммографии составляет 2,23 см.

У пациенток в возрасте до 40 лет точность маммографии значительно ниже из-за высокой плотности молочных желез. Ошибки в диагностике чаще наблюдаются у пациенток с плотной грудью, поскольку фиброзно-железистая плотность ткани накладывает тень на изображение и ухудшает детализацию маммографии, что приводит к диагностическим неудачам.

С возрастом плотность молочных желез снижается и визуализация патологических изменений значительно облегчается.

В возрасте от 40 до 50 лет диагностическая точность маммографии составляет около 84%, а в возрасте старше 50 лет точность маммографии достигает 94%.

-2

При оценке опасности обнаруженных по маммографии образований обращают внимание на размер, форму, плотность, края, а также наличие микрокальцинатов. Подозрительные на рак новообразования в основном очень плотные, неправильной формы, с острыми шипоподобными отростками, нечеткими краями. Однако, около 10% случаев рака молочной железы имеют доброкачественные характеристики, такие как круглая или овальная форма и четко очерченные края.

Ложноположительные результаты маммографии (когда подозрение на рак не подтверждается результатами биопсии) наблюдаются в 10-15% случаев. Гипердиагностика также была выше в возрастной группе женщин до 50 лет.

Также, Вам может быть интересно: