Найти в Дзене
Стоматолог в деле

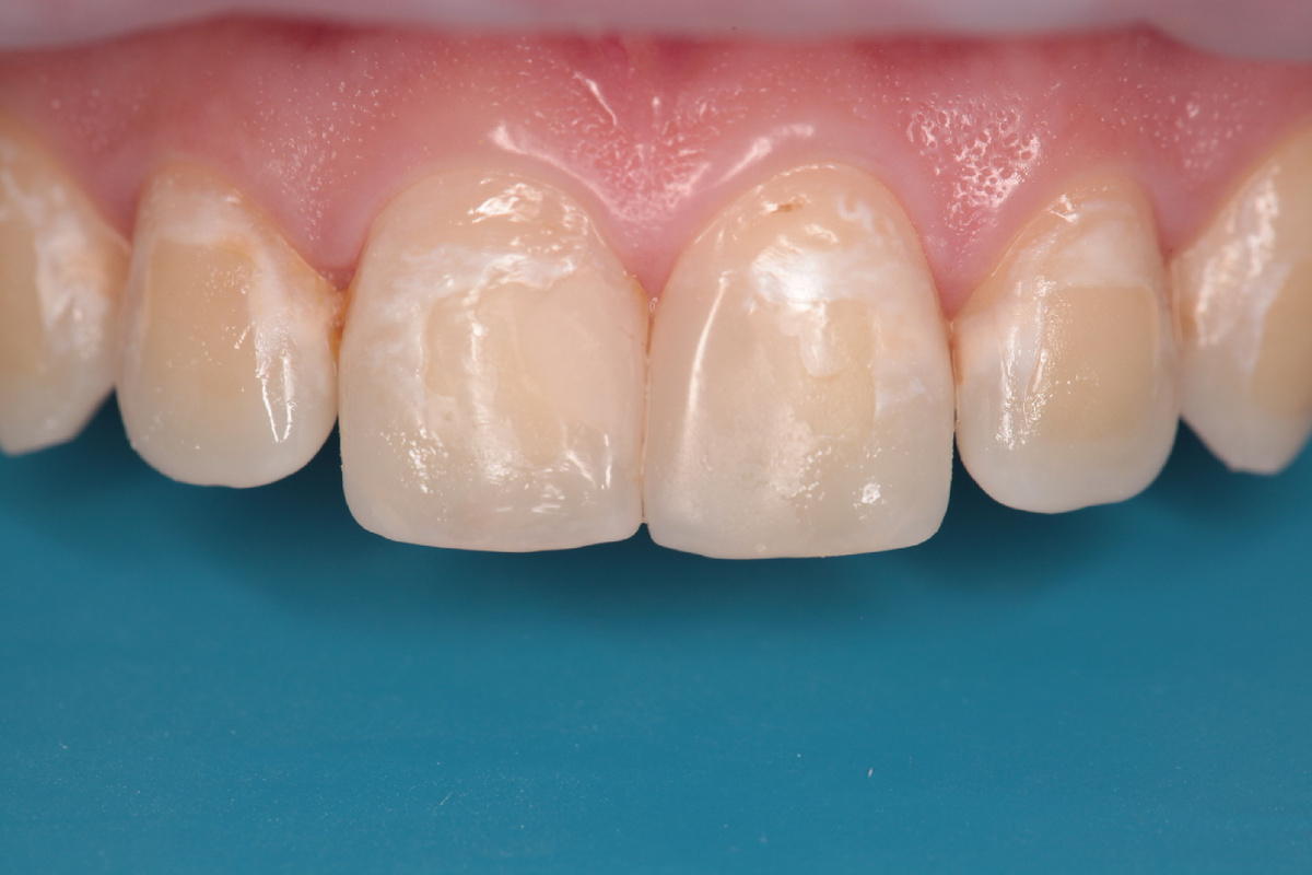
Деминерализация или белые пятна на зубах.

Любое изменение эмали нельзя оставлять незамеченным!

Сегодня поговорим о проявлении в виде белых пятен, потому что это не только эстетический недостаток, а нередко признак, что эмаль начинает разрушаться.

Есть разного рода основания, по которым это происходит.

Может быть флюороз или гипоплазия, но чаще всего проблема возникает из-за деминерализации. Проще говоря зубная ткань сильно теряет свои полезные минералы.

А если к этому прибавить плохую гигиену, хронические заболевания, низкий иммунитет, неправильное питание или ещё какие-либо факторы, то получаем ничто иное, как начальную стадию кариеса.

✅ Конечно же первое, что вы должны сделать при обнаружении подобной патологии — это посетить стоматолога. Врач оценит ряд параметров, проведет нужные исследования и установит причину данного симптома.

Очень важно не затягивать процесс, потому что на начальной стадии, когда ещё нет кариозной полости, можно справится с проблемой без использования бора и удаления тканей❗️

Зачастую достаточно выполнить реминерализирующую терапию в домашних условиях с помощью специального геля.