Добавить в корзинуПозвонить
Найти в Дзене

История пациента: профгигиена и лечение кариеса у заядлого курильщика

Наш сегодняшний герой, Заур, 47 лет, относится к категории пациентов, которые обращаются к стоматологу только тогда, когда уже совсем все плохо. Тянуть было больше некуда — у Заура выпал мостовидный протез. К счастью, его сестра, которая тоже лечится у нас, направила пациента в нашу клинику. А на осмотре, помимо утраченного протеза, обнаружилось много других проблем. Сейчас все покажем, а заодно расскажем, как читать стоматологическую КТ. Пациент обратился с конкретной проблемой: у него слетел мостовидный протез, установленный ранее. Основной запрос — восстановление утраченного участка зубного ряда, либо путем изготовления нового моста, либо с использованием альтернативных методов. Когда начали разбираться, выяснилось, что ситуация гораздо сложнее, чем просто слетевший мостовой протез. Один из корней, на который опирался мост, оказался в сомнительном состоянии. Что с ним — не сразу было понятно, требовалось дополнительное обследование. Соседние зубы тоже выглядели подозрительно. На дру
Оглавление

Наш сегодняшний герой, Заур, 47 лет, относится к категории пациентов, которые обращаются к стоматологу только тогда, когда уже совсем все плохо. Тянуть было больше некуда — у Заура выпал мостовидный протез. К счастью, его сестра, которая тоже лечится у нас, направила пациента в нашу клинику. А на осмотре, помимо утраченного протеза, обнаружилось много других проблем. Сейчас все покажем, а заодно расскажем, как читать стоматологическую КТ.

Содержание

  • Клиническая картина
  • План лечения
  • Это интересно: учимся читать КТ
  • Лечение зуба 1.7
  • План дальнейшего лечения

Клиническая картина

Пациент обратился с конкретной проблемой: у него слетел мостовидный протез, установленный ранее. Основной запрос — восстановление утраченного участка зубного ряда, либо путем изготовления нового моста, либо с использованием альтернативных методов.

У пациента слетел мостовидный протез
У пациента слетел мостовидный протез

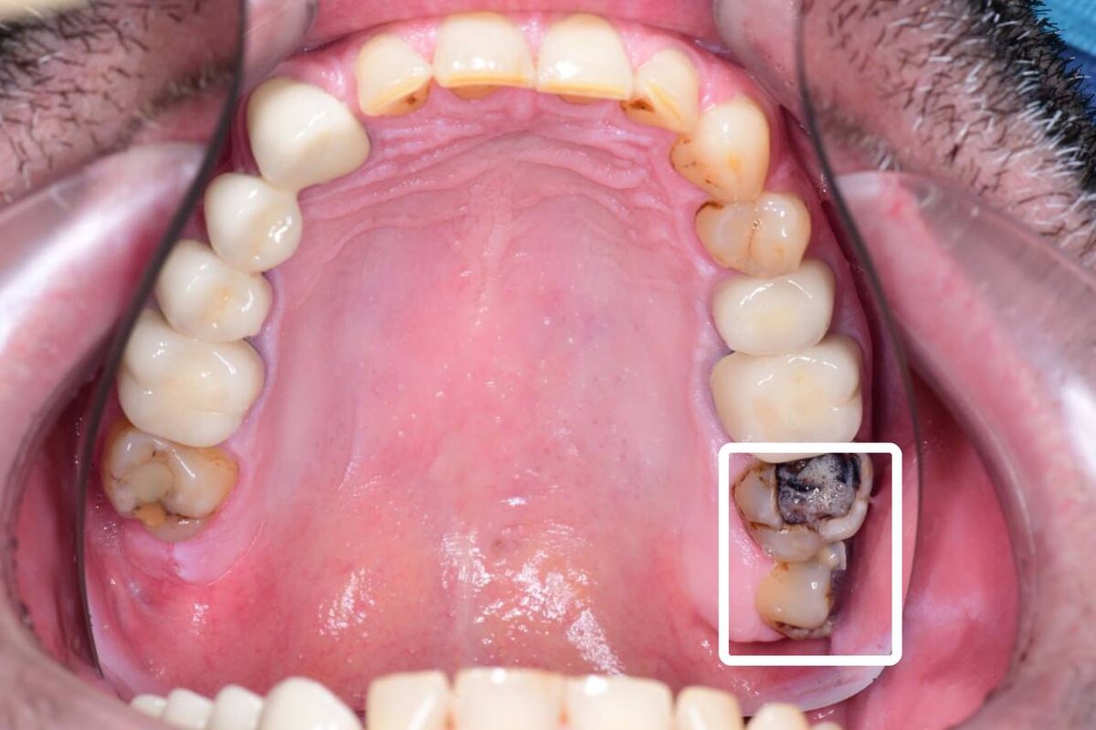
Когда начали разбираться, выяснилось, что ситуация гораздо сложнее, чем просто слетевший мостовой протез. Один из корней, на который опирался мост, оказался в сомнительном состоянии. Что с ним — не сразу было понятно, требовалось дополнительное обследование. Соседние зубы тоже выглядели подозрительно. На других зубах обнаружили старые коронки. Под ними оказалось немало неприятных сюрпризов — воспаления и разрушения.

Разрушены зубы 2.7 и 2.8.

Разрушены зубы 2.7 и 2.8.
Разрушены зубы 2.7 и 2.8.

А вот зуб 1.7 требовал лечения. На зубе сразу две старые пломбы, первая — совсем старая, ещё из химического композита, вторая пломба — из светового композита, но тоже изношенная. Кроме этого, на границе с зубом 1.6 нашлось потемнение тканей — всё указывало на скрытый кариес.

Зуб 1.7 требовал лечения
Зуб 1.7 требовал лечения
Зуб 1.7 требовал лечения
Зуб 1.7 требовал лечения Зуб 1.7 требовал лечения Зуб 1.7 требовал лечения

Мы сразу же поняли, что Заур — заядлый курильщик. На зубах — плотный, желтовато-коричневый налет, особенно в пришеечной области, на задней поверхности зубов и между зубами. Это характерный признак курения: смолы и никотин из табака оседают на поверхности эмали. Пациенту объяснили, что, помимо лечения, ему необходимо регулярно проходить профессиональную чистку зубов — минимум раз в 6 месяцев.

Плотный налет из-за постоянного курения
Плотный налет из-за постоянного курения
Плотный налет из-за постоянного курения
Плотный налет из-за постоянного курения Плотный налет из-за постоянного курения Плотный налет из-за постоянного курения

Кроме того, у пациента так называемый глубокий прикус: верхние зубы сильно перекрывают нижние. Резцы верхней и нижней челюсти при жевании и откусывании испытывают повышенную нагрузку — и, конечно же, стираются.

У пациента глубокий прикус
У пациента глубокий прикус

План лечения

Вместе с хирургом-имплантологом разработали план лечения.

  1. Профгигиена для подготовки зубов и десен к дальнейшему лечению.
  2. Удаление зубов, которые уже не спасти: 4 зуба под коронками и 2 зуба мудрости. Все манипуляции делаем за один раз, под седацией.
  3. Лечение зубов у эндодонтиста: проводим перелечивание корневых каналов, ставим временные пластмассовые коронки, чтобы защитить зубы на время лечения.
  4. Лечение зуба 1.7. Сейчас пациент находится на этапе перелечивания зуба 1.6: каналы регулярно очищают, после чего закладывают кальций. Этот препарат помогает снять воспаление, подавить рост бактерий, стимулировать восстановление тканей и подготовить зуб к постоянной пломбе. Пока зуб закрыт временной пломбой и проходит фазу восстановления (примерно две недели), решили использовать это время для лечения семерки.

Это интересно: учимся читать КТ

Сделали Зауру КТ (компьютерную томографию).

Зуб 1.7, вид сверху
Зуб 1.7, вид сверху
Зуб 1.7, вид сверху Зуб 1.7, вид сверху

На снимке видно 2 белых пятна — это две старые пломбы. Черная полость рядом с ними — это скрытый кариес, который почти невозможно заметить невооруженным взглядом. Хорошо видно нарушение целостности эмали на границе с зубом 1.6. Если мы на контакте, где зуб соприкасается с соседним зубом, видим такой участок отсутствующей эмали, это всегда говорит о том, что здесь есть скрытый кариозный процесс. Причем входное отверстие здесь маленькое, а поражение дентина (черное пятно) — достаточно объемное. Здоровая ткань на снимке светло-серого цвета.

А вот снимок в боковой проекции:

КТ, боковая проекция
КТ, боковая проекция

На снимке видны старые пломбы. Под ними темные пятна — это зоны патологического процесса. Такие участки могут быть скрытыми кариозными полостями или воспалительными очагами. Обратите внимание: черная полость внутри зуба — это пространство, где находится нерв, иначе говоря, пульпа. В живом зубе пульпа выглядит темной на снимке, но если зуб мертвый, то вместо этой зоны видны белые полосы или конгломераты — это материалы, использованные для пломбировки корней. Если зуб подвергался эндодонтическому лечению (удаление нерва и пломбировка корневых каналов), то на снимке это можно узнать по белым линиям внутри корней. Это специальная внутренняя пломба, которая заполняет канал после удаления нерва. Это мертвые зубы, но их функциональность сохраняется благодаря реставрациям.

-8

На КТ можно увидеть и временные конструкции, которые используются для восстановления улыбки на время лечения. Например, временные коронки выглядят иначе, чем постоянные. Это пластмассовые конструкции, установленные для того, чтобы закрыть пустоту в зубном ряду, обеспечив эстетику и защиту до завершения лечения. Временные пломбы, которые нередко используют эндодонтисты при перелечивании зубов, также имеют свои особенности на снимках. Они выглядят как темные пятна, так как не обладают рентгеноконтрастностью. В отличие от них постоянные пломбы из светоотверждаемых материалов хорошо заметны и выглядят светлыми, почти белыми.

-9

Лечение зуба 1.7

Первый этап лечения — это создание чистого и сухого рабочего пространства. В случае с зубом 1.7 пришлось использовать жидкий коффердам, так как соседние коронки связаны между собой. Обычная изоляция в таком случае невозможна, поэтому был сделан разрез в коффердаме, чтобы надежно изолировать область работы. Это позволило предотвратить попадание слюны и защитить его рот от попадания материалов.

Жидкий коффердам — это гелеобразное вещество, которое затвердевает под воздействием света стоматологической лампы. Эффективен, поскольку затекает в межзубное пространство, полностью изолируя зуб. Изоляционные свойства у него такие же высокие, как у обычного коффердама.

Использовали жидкий коффердам
Использовали жидкий коффердам

Убрали старую пломбу, вычистили полость, убрали налет. После снятия пломб и удаления налета стало видно дно полости. Его темно-коричневый цвет объясняется наличием заместительного дентина.

Заместительный дентин
Заместительный дентин

Заместительный дентин — это естественная защитная реакция зуба на стресс. При глубоком кариесе или крупных пломбах дентин начинает уплотняться, чтобы защитить нерв. Его цвет может варьироваться от светло- до темно-коричневого. Если такой дентин плотный и твердый, как здоровая ткань, его не трогают. Это позволяет сохранить зуб живым, не удаляя нервы. Однако, если дентин мягкий и рыхлый, его необходимо полностью убрать, что иногда приводит к необходимости эндодонтического лечения. В данном случае дентин оказался плотным, что позволило оставить его нетронутым и сохранить зуб.

Полость зуба тщательно отпесочили с использованием пескоструя для максимальной чистоты.

Установили матрицу (инструмент, с помощью которого создается временный контур зуба), клин (используется для прижатия матрицы к зубу) и кольцо для формирования правильного контакта с соседними зубами.

Формируем правильный контакт с соседними зубами
Формируем правильный контакт с соседними зубами

Восстановили зуб.

Результат работы
Результат работы

План дальнейшего лечения

Заур решил полностью обновить свою улыбку и выбрал виниры 360 на все зубы. Ортодонтию он отверг, и, как показала консультация с имплантологом, она здесь и не требуется. Небольшие недочеты можно будет подкорректировать с помощью самих виниров — это не редкость, когда пациент хочет избежать брекетов, но при этом получить ровную и красивую улыбку.

Особое внимание будем уделять профессиональной гигиене. Пациент много курит, но теперь готов приходить на чистку каждые три месяца. Он признается, что никогда раньше так тщательно за зубами не следил. После первого визита был впечатлен: вместо обычных 20 минут, как в других клиниках, процедура длилась полтора часа. Результат поразил — чистота, свежесть, никакого налета. Это буквально открыло ему глаза на важность ухода за зубами.

Интересно, что за свои 47 лет он впервые серьезно задумался о здоровье зубов. А теперь наш подход к работе и результат убедили его в том, что о зубах нужно заботиться. Теперь он готов следовать рекомендациям и бережно относиться к будущим винирам.

Лечащие врачи:

  • Шор Евгений Ильич. Основатель и Главный врач Клиники реконструктивной стоматологии. Хирург-имплантолог и ортопед. Консультация. Междисциплинарное планирование лечения.
  • Марусова Анна Сергеевна. Стоматолог-терапевт. Ведущий специалист по проведению высококлассных эстетических реставраций. Профессиональная гигиена по швейцарскому протоколу GBT. Лечение кариеса на зубе 1.7

🏥 Клиника реконструктивной стоматологии

Задать вопрос ✍️ WhatsApp

Позвонить 📞 +7 (495) 989-57-49

Мы рядом 🏥 Москва, Ленинский проспект, 105к1

Читайте также:

Смотрите также: