Нашей пациентке Екатерине чуть больше 50 лет, около 10 из них она провела без 9 зубов. На верхней челюсти у Екатерины недостает пяти зубов, на нижней — четырех. Пациентка жалуется на то, что не может качественно пережевывать пищу. И, конечно, она стесняется улыбаться😞
Рассказываем, как помогли Екатерине с ее проблемой. А заодно затронем несколько важных вопросов: например, чем грозит отсутствие зубов и почему не стоит выбирать съемный протез, пусть он и дешевле, чем установка дентальных имплантатов.
Содержание
- Клиническая картина
- Справка: чем опасно отсутствие зубов?
- Планирование лечения
- Почему съемные протезы — это плохая идея?
- Этап первый — моделирование хирургического шаблона под имплантацию
- Этап второй — классическая имплантация
- Этап третий — снятие швов и осмотр
- Этап четвертый — протезирование временными коронками
- Планирование дальнейшего лечения
Клиническая картина
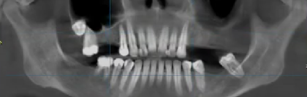
У Екатерины не хватало нескольких зубов. На верхней челюсти отсутствовали зубы 1.5, 1.6, 2.4, 2.5, 2.6, 2.7, на нижней — 3.5, 3.6 и 4.7👇
Екатерина жаловалась на дискомфорт, на недостаточное пережевывание пищи, и, конечно, ее волновал и эстетический аспект.
📝 Справка: чем опасно отсутствие зубов?
Когда человек теряет зуб, последствия этого касаются не только эстетического аспекта, но и здоровья всего организма. Отсутствие одного или нескольких зубов запускает цепную реакцию изменений, затрагивающую кости челюсти, положение других зубов и даже общее состояние здоровья.
Зубы, как это ни удивительно, поддерживают друг друга и обеспечивают равномерное распределение нагрузки при жевании. Но стоит одному зубу покинуть «ряд», как другие начинают сдвигаться. Процесс смещения зубов был описан докторами Поповым и Годоном как зубоальвеолярное перемещение, или феномен Попова-Годона. Согласно этой теории, зубы «двигаются в сторону наименьшего сопротивления» — в пустоту, образовавшуюся после потери зуба.
Кроме того, отсутствие зуба нарушает баланс нагрузок на кость, и она начинает атрофироваться, теряя объем. Челюсть постепенно изменяет форму, а лицо может выглядеть более старым и изможденным. Потеря костной массы в области челюсти приводит к тому, что становится сложнее в будущем установить имплантаты без дополнительного наращивания кости.
А еще смещение зубов из-за отсутствия каких-то из них может привести к серьезному нарушению прикуса, а это, в свою очередь, затрудняет жевание. Пища плохо пережевывается, желудок получает неполноценно обработанную пищу, что создает дополнительную нагрузку на органы пищеварения. В результате могут появиться проблемы с пищеварением и ухудшение общего состояния здоровья.
Отсутствие зубов сказывается и на эмоциональном состоянии. Наша пациентка испытывала неловкость в общении, избегала улыбаться, недостаток зубов влиял на ее самооценку и уверенность в себе.
Планирование лечения
На первом приеме мы провели Екатерине осмотр и консультацию, сделали КТ и ортопантомограмму (ОПТГ) — панорамный рентгеновский снимок зубов на обеих челюстях.
При таком значительном количестве отсутствующих зубов, как у Екатерины, альтернативы имплантации не существует. Может показаться, что такая альтернатива есть — съемный протез, который еще и обойдется значительно дешевле. Но это плохой выход, и вот почему👇
Почему съемные протезы — это плохая идея?
Съемные протезы, хоть и кажутся бюджетным решением, существенно снижают качество жизни: под них попадают кусочки пищи, вызывая дискомфорт и раздражение десен. К тому же они не передают жевательную нагрузку на кость, из-за чего костная ткань постепенно атрофируется. В итоге может потребоваться сложное наращивание кости для установки имплантатов. Для фиксации съемных протезов применяют специальные кремы, которые, хотя и помогают закрепить конструкцию, частично попадают в организм и содержат несъедобные компоненты на силиконовой основе. Протезы также часто смещаются, вызывая дополнительный дискомфорт и воспаление десен.
Екатерина, конечно же, предпочла установку дентальных имплантатов.
Начать решили с верхней челюсти — требовалось установить 5 имплантатов (зубы 1.5, 1.6, 2.4, 2.5, 2.6, 2.7).
Екатерина прожила без зубов порядка 7-8 лет. Обычно за такое продолжительное время костная ткань значительно убывает: кость, которая ранее поддерживала корень зуба, начинает атрофироваться и уменьшаться в объеме. Это явление происходит потому, что костная ткань в этой области больше не получает стимуляцию от жевательной нагрузки. Обычная кость постоянно обновляется благодаря нагрузке, которую создают корни зубов, а при их отсутствии эта нагрузка исчезает, что приводит к постепенной резорбции (рассасыванию) кости. Уменьшение костной ткани может сделать установку имплантатов затруднительной или даже невозможной без дополнительного вмешательства. Чтобы нарастить ткань, проводится костная пластика. В случае верхней челюсти это чаще всего синус-лифтинг — операция, при которой поднимают слизистую оболочку пазухи и добавляют костный материал.
Однако в случае Екатерины, как это ни удивительно, синус-лифтинг не потребовался: у пациентки осталось много костной ткани по вертикали, туда вполне можно поместить средние имплантаты 8-10 мм.
Этапы лечения
Для Екатерины мы выбрали имплантаты Дентиум (Dentium), произведенные в Южной Корее. С правой стороны, для зубов 1.5 и 1.6 были выбраны имплантаты 4.0x8 мм, для зуба 2.4 — 4.0х10 мм, для 2.6 — 4.0х8 мм, для 2.7 — 4.5х8 мм.
Размеры имплантатов были выбраны исходя из размеров имплантационного ложа — специально подготовленного места в костной ткани челюсти, куда и планируется установить имплантат.
Этап первый — моделирование хирургического шаблона под имплантацию
При подготовке к установке зубного имплантата важнейшую роль играет определение правильного положения будущего зуба. Ведь имплантат должен быть установлен не просто в кости, а в строго определенном месте, чтобы в дальнейшем замещаемый зуб выглядел естественно и сохранял функциональность.
Самый надежный подход здесь — использование хирургического шаблона. На этапе моделирования создается точный план размещения имплантата с учетом анатомических особенностей пациента. Сначала мы воссоздали расположение недостающих зубов в специальной программе, где моделируется 3D-шаблон, идеально соответствующий планируемым позициям имплантатов. Изготовили шаблон прямо в клинике — у нас есть 3D-принтер. Процесс создания шаблона занял 4-6 часов. Затем примерили Екатерине шаблон, проверили точность его прилегания и корректность положения.
Этап второй — классическая имплантация
Начали с введения местной анестезии, обеспечившей Екатерине полное обезболивание и комфорт. Хотя может казаться, что имплантация — болезненная процедура, на самом деле она менее травматична, чем удаление зуба, поскольку кость не содержит нервных окончаний, а манипуляции затрагивают в основном десну.
После анестезии установили заранее подготовленный хирургический шаблон, помогающий точно позиционировать имплантат. Следующий шаг — создание имплантационного ложа. Сверлами по шаблону подготовили отверстие в костной ткани, чтобы обеспечить идеальное положение и плотное вкручивание имплантата: это своего рода «шуруп», который вкручивается в кость, как саморез, и надежно фиксируется за счет своей резьбы.
После установки имплантата закрепили на него формирователь десны, который помогает десне заживать в правильной форме и способствует естественному виду будущей коронки. Иногда на этом этапе проводится дополнительная пластика десны, но в этом случае, благодаря хорошему состоянию тканей, она не понадобилась. Наложили швы на десну, чтобы обеспечить ей полное заживление и закрепление имплантата.
Вся процедура заняла около полутора часов. И вот что у нас получилось👇
Дали рекомендации: поддерживать спокойный режим жизни, не заниматься активным спортом, не посещать сауну, баню или хамам. Принимать антибиотик и обрабатывать антисептиком полость рта. Поддерживать гигиену ротовой полости в обычном режиме.
Этап третий — снятие швов и осмотр
Через 7 дней Екатерина пришла на осмотр и снятие швов. Десна заживала хорошо, никакого воспаления не было.
Этап четвертый — протезирование временными коронками
Спустя 3–4 месяца после установки имплантатов Екатерина вернулась для следующего важного этапа — протезирование временными коронками. Начали с интраорального сканирования полости рта с использованием специального высокотехнологичного миниатюрного датчика. Этот датчик передает детальную информацию на экран монитора в виде трехмерного изображения челюсти и зубного ряда.
На основе скана зубной техник изготовил временные коронки, и через неделю пациентка пришла на их установку.
Временные коронки выполняют несколько ключевых функций. Они помогают сформировать правильный контур десны вокруг имплантата, обеспечивая естественный и эстетичный вид будущих постоянных коронок. Кроме того, временные конструкции позволяют отработать важные детали: проверить качество прилегания коронок, откорректировать контакты между зубами и наладить правильный прикус.
Планирование дальнейшего лечения
После установки временных коронок для верхней челюсти у пациентки начинается следующий этап лечения, направленный на полное восстановление зубного ряда. Согласно согласованному плану, следующим шагом станет имплантация на нижней челюсти. Здесь также будут установлены временные коронки, с которыми она будет ходить примерно одну-две недели.
После завершения подготовки верхней и нижней челюстей мы заменим временные коронки на постоянные. Для долгосрочной надежности и эстетики выбрали коронки из циркония — прочного материала, который хорошо переносит жевательную нагрузку и сохраняет натуральный вид зубов. В итоге пациентка получит гармоничное, долговечное и красивое решение на обеих челюстях.
Лечащий врач
- Янгильдин Ренат Рашидович. Стоматолог-ортопед, хирург, имплантолог. Планирование лечения. Имплантация зубов 1.5, 1.6, 2.4, 2.5, 2.6, 2.7. Протезирование временными коронками.
🏥 Клиника реконструктивной стоматологии
Задать вопрос ✍️ WhatsApp
Позвонить 📞 +7 (495) 989-57-49
Мы рядом 🏥 Москва, Ленинский проспект, 105к1
