Добавить в корзинуПозвонить
Найти в Дзене

История пациента: замена амальгамовых пломб и санация ротовой полости перед ортодонтическим лечением

Нашей пациентке Марии всего 27 лет, поэтому мы очень удивились, когда обнаружили у нее во рту амальгамовые пломбы😲 Сейчас все расскажем и покажем. Мария обратилась для санации ротовой полости перед ортодонтическим лечением: для выявления и лечения кариеса, замены старых пломб, если это необходимо. Во время первичного осмотра мы обнаружили у пациентки амальгамовые пломбы👇 Амальгамовые пломбы — это вид зубных пломб, которые на протяжении многих лет широко использовались в стоматологии благодаря своей прочности и долговечности. Они представляют собой смесь металлов, включающую ртуть, серебро, медь и олово. Амальгама твердеет после установки и может служить пациенту десятилетиями, однако сегодня её активно заменяют на композитные материалы. Почему амальгамовые пломбы устарели? Мы провели консультацию и профессиональную гигиену, а затем составили план лечения. Он получился достаточно объемным: в лечении или замене пломбы нуждались целых 9 зубов. Эти зубы вылечили за один визит. Первым дел
Оглавление

Нашей пациентке Марии всего 27 лет, поэтому мы очень удивились, когда обнаружили у нее во рту амальгамовые пломбы😲 Сейчас все расскажем и покажем.

Содержание

  • Клиническая картина
  • Справка: что такое амальгамовые пломбы и почему их нужно заменять на композитные?
  • Лечение зубов 3.6 и 3.7.
  • Справка: зачем нужен коффердам?
  • Справка: почему при лечении важно придавать зубам анатомическую форму?
  • Лечение зубов 4.5 и 4.6
  • Лечение зубов 1.7, 1.6, 1.5
  • Лечение зуба 2.6.
  • Ортодонтическое лечение
  • Реставрация зубов 1.2, 1.1, 1.2 и 2.2

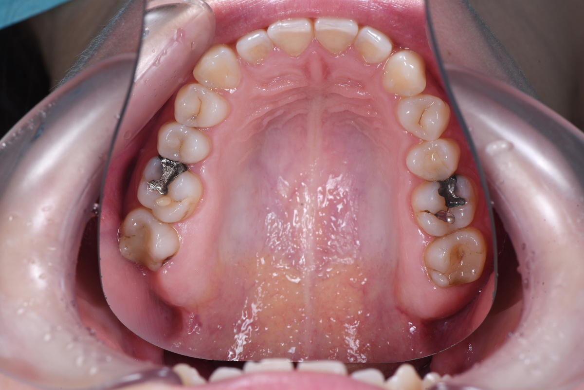
Клиническая картина

Мария обратилась для санации ротовой полости перед ортодонтическим лечением: для выявления и лечения кариеса, замены старых пломб, если это необходимо.

Во время первичного осмотра мы обнаружили у пациентки амальгамовые пломбы👇

Амальгамовые пломбы на зубах 1.6 и 2.6
Амальгамовые пломбы на зубах 1.6 и 2.6

📝 Справка: что такое амальгамовые пломбы и почему их нужно заменять на композитные

Амальгамовые пломбы — это вид зубных пломб, которые на протяжении многих лет широко использовались в стоматологии благодаря своей прочности и долговечности. Они представляют собой смесь металлов, включающую ртуть, серебро, медь и олово. Амальгама твердеет после установки и может служить пациенту десятилетиями, однако сегодня её активно заменяют на композитные материалы.

Почему амальгамовые пломбы устарели?

  • Состав и безопасность. Амальгамовые пломбы содержат ртуть, которая даже в минимальных количествах может негативно воздействовать на организм. Хотя исследования не всегда показывают прямую угрозу здоровью при наличии амальгамы в зубах, лучше избегать рисков. Ртуть, содержащаяся в пломбах, может выделяться в микроскопических дозах, что вызывает опасения за здоровье, особенно если таких пломб много или если они повреждены.
  • Эстетические недостатки. Амальгама имеет темный, серебристый оттенок, что делает пломбы заметными, особенно на передних зубах или при улыбке. Современные композитные пломбы, напротив, выполняются в цвете, близком к естественному оттенку зуба, и практически незаметны.
  • Влияние на зубные ткани. Амальгамовые пломбы со временем могут вызывать микротрещины и ослаблять зубы. Металл имеет способность расширяться и сжиматься при изменении температуры, что со временем приводит к образованию трещин в эмали и может потребовать замены пломбы или даже восстановления зуба коронкой.

План лечения

Мы провели консультацию и профессиональную гигиену, а затем составили план лечения. Он получился достаточно объемным: в лечении или замене пломбы нуждались целых 9 зубов.

Лечение зубов 3.6 и 3.7.

Эти зубы вылечили за один визит. Первым делом изолировали зубы с помощью коффердама — специального «платочка» из латекса👇

Изоляция зубов с помощью коффердама
Изоляция зубов с помощью коффердама

📝 Справка: зачем нужен коффердам?

Использование коффердама необходимо для того, чтобы изолировать рабочее поле. Это обеспечивает стерильность и безопасность для пациента. Особенно это важно при работе со световыми композитами, которые любят чистоту и сухость. Кроме того, отсутствие изоляции и, как следствие, стерильности, во время лечения может привести к развитию вторичного кариеса.

Сняли металлическую пломбу с зуба 3.6. Под пломбой обнаружили остатки белого материала — это цемент. Зачем он здесь нужен? Изолирующая прокладка из цемента устанавливается на дно полости зуба, чтобы защитить зуб от негативного воздействия амальгамы.

После снятия металлической пломбы на дне полости обнаружили остатки цементной прокладки
После снятия металлической пломбы на дне полости обнаружили остатки цементной прокладки

Кроме того, обнаружили кариес на контакте👇

Выявили кариес
Выявили кариес

Почистили полость.

Под пломбой здоровый дентин
Под пломбой здоровый дентин

Восстановили зуб👇

Результат лечения
Результат лечения

📝 Справка: почему при лечении важно придавать зубам анатомическую форму?

Зубы — это сложные анатомические структуры с уникальной формой и рельефом, где каждый бугорок и каждая бороздка играют свою роль. Когда зуб разрушается и в него устанавливается пломба, крайне важно восстановить его анатомическую форму. И вот почему:

  • Оптимальное распределение жевательной нагрузки. Когда мы жуем пищу, нагрузка на зубы распределяется по определенным участкам их поверхности. Если форма зуба изменена, нагрузка ложится неравномерно, что может привести к повреждению зуба или пломбы. Правильная анатомическая форма зуба позволяет каждому элементу жевательной поверхности выполнять свою функцию, предотвращая повреждения.
  • Поддержание контакта с соседними зубами. При неправильной форме пломбы могут возникнуть промежутки между зубами, где еда будет застревать, что приведет к образованию кариеса и воспалению десен. Анатомически верная пломба позволяет сохранить тесный контакт с соседними зубами, создавая естественный барьер и защищая от лишнего скопления пищи и бактерий.
  • Защита десен от травм. Если форма зуба восстановлена некорректно, острые или выступающие края могут повредить десну, вызывая её раздражение и воспаление. Правильно сформированная пломба, следуя естественному рельефу зуба, не будет травмировать окружающие мягкие ткани, что снизит риск воспалений и обеспечит комфорт при приеме пищи.
  • Комфорт при жевании и разговоре. Зубы с анатомически правильной пломбой ощущаются так, как будто они «родные». Человек не чувствует дискомфорта при жевании или разговоре. Если пломба установлена с нарушением формы, это может вызвать ощущение инородного тела во рту, привести к дискомфорту, привычке прокусывать губу или щеку и даже к нарушению дикции.
  • Долговечность пломбы и зуба. Анатомически правильная пломба, повторяющая рельеф зуба, служит дольше, поскольку нагрузка распределяется правильно. Это снижает риск того, что пломба отколется или выпадет, и уменьшает вероятность повторного разрушения зуба. Кроме того, пломба, сделанная с учетом анатомической формы, требует меньше корректировок в будущем.
  • Влияние на височно-нижнечелюстные суставы. Важным аспектом при постановке пломб является соблюдение высоты смыкания зубов. Нижняя челюсть крепится к черепу при помощи височно-нижнечелюстных суставов, и правильная высота при смыкании зубов критически важна для их нормальной работы. Если высота зубного ряда занижена, что может произойти из-за неправильно восстановленных зубов или плоской формы пломб, начинается перегрузка суставов. Постепенно это приводит к стиранию суставного хряща, затрудненному открыванию рта, постоянным головным болям и дискомфорту в челюсти.

Лечение зубов 4.5 и 4.6

На зубе 4.5. обнаружили скрытый кариес👇

Вот это серое пятнышко и указывает на наличие кариеса
Вот это серое пятнышко и указывает на наличие кариеса
Кариес, зуб 4.5
Кариес, зуб 4.5

Кроме того, убрали и восстановили неправильный контакт👇

Неправильный контакт и неровный край
Неправильный контакт и неровный край
Восстановили 2 контакта
Восстановили 2 контакта

Лечение зубов 1.7, 1.6, 1.5

Заменили металлическую пломбу и пролечили скрытый кариес👇

Лечение зубов 1.7, 1.6, 1.5
Лечение зубов 1.7, 1.6, 1.5

Лечение зуба 2.6.

Поменяли металлическую пломбу на композитную. Подполировали контакт, который очень сильно выступал👇

Получилось восстановить адекватный контакт
Получилось восстановить адекватный контакт

Ортодонтическое лечение

Мария носила брекеты 1 год и 3 месяца. Вот как выглядели ее зубы на контрольном приеме перед снятием брекетов👇

Зубы Марии в финале ортодонтического лечения
Зубы Марии в финале ортодонтического лечения

Зубы выстроили в правильное положение, но между верхними передними зубами образовались промежутки. Это создавало эстетические проблемы: ведь нужно было еще установить ретейнеры, которые были бы заметны при улыбке. Мы решили закрыть промежутки с помощью художественной реставрации: нарастить зубы не вниз, как мы привыкли, а по бокам.

Реставрация зубов 1.2, 1.1, 1.2 и 2.2

Перед реставрацией зубов мы сделали Марии отбеливание👇

Перед реставрацией Мария захотела отбелить зубы
Перед реставрацией Мария захотела отбелить зубы

После этого провели композитную реставрацию зубов 1.2, 1.1, 1.2 и 2.2. Добавили центральные резцы по режущему краю и все четыре зуба по контакту — таким образом закрыли промежутки.

Финальный результат
Финальный результат

✅ Пациентка довольна: у нее получились идеальные зубы!

Лечащие врачи

  • Марусова Анна Сергеевна. Ведущий специалист по проведению высококлассных эстетических реставраций. Профессиональная гигиена. Планирование лечения. Замена пломб. Лечение кариеса. Художественная реставрация зубов.
  • Ли Игорь Олегович. Стоматолог-ортодонт, магистр, научная степень D.D.S., M.D.S. Ортодонтическое лечение на брекет-системах.

🏥 Клиника реконструктивной стоматологии

Задать вопрос ✍️ WhatsApp

Позвонить 📞 +7 (495) 989-57-49

Мы рядом 🏥 Москва, Ленинский проспект, 105к1

Читайте также:

Смотрите также: