Добавить в корзинуПозвонить
Найти в Дзене

Гинекологические побочные эффекты гормонотерапии рака молочной железы

Статья посвящена воздействию гормонотерапии антиэстрогенами (тамоксифен, торемифен) на репродуктивную систему пациенток с диагнозом рак молочной железы. Действие тамоксифена на женские репродуктивные органы проявляется в виде доброкачественных изменений, таких как полипы эндометрия и шейки матки, гиперплазию, кистозную атрофию эндометрия, аденомиоз, кисты яичников, а также возможными злокачественными новообразованиями - раком эндометрия и саркомой тела матки. Эффект тамоксифена клинически проявляется, с одной стороны, увеличением выделений, с другой – сухостью слизистых. У женщин, не достигших менопаузы, тамоксифен может увеличивать выработку эстрогенов яичниками, что приводит к формированию кист яичников, которые не представляют опасности и обычно не требуют каких-либо специальных вмешательств. Действие тамоксифена проявляется увеличением выделений из половых путей, кровотечением, а также нарушением менструального цикла у женщин в пременопаузе. Значимо ухудшает качество жизни половая

Статья посвящена воздействию гормонотерапии антиэстрогенами (тамоксифен, торемифен) на репродуктивную систему пациенток с диагнозом рак молочной железы.

Действие тамоксифена на женские репродуктивные органы проявляется в виде доброкачественных изменений, таких как полипы эндометрия и шейки матки, гиперплазию, кистозную атрофию эндометрия, аденомиоз, кисты яичников, а также возможными злокачественными новообразованиями - раком эндометрия и саркомой тела матки.

Эффект тамоксифена клинически проявляется, с одной стороны, увеличением выделений, с другой – сухостью слизистых. У женщин, не достигших менопаузы, тамоксифен может увеличивать выработку эстрогенов яичниками, что приводит к формированию кист яичников, которые не представляют опасности и обычно не требуют каких-либо специальных вмешательств.

Действие тамоксифена проявляется увеличением выделений из половых путей, кровотечением, а также нарушением менструального цикла у женщин в пременопаузе.

Значимо ухудшает качество жизни половая дисфункция, выражающаяся снижением либидо и сухостью слизистых. Психологическое консультирование семейных пар, начатое как можно раньше, помогает разрешить ряд проблем более чем у половины пациенток. Для лечения сухости слизистых и полового дискомфорта применяют прежде всего негормональные препараты: увлажнители и любриканты, лидокаиновый гель.

Также может быть эффективна СО2-лазерная терапия, способствующая снижению дискомфорта за счет восстановления слизистой благодаря образованию коллагена и усиления притока крови. Применение локальной эстроген-содержащей гормональной терапии в виде кремов, свечей, колец и др., у пациенток с раком молочной железы по-прежнему не рекомендуется. Из-за риска повышения уровня эстрогенов в кровотоке, местная эстроген-содержащая гормональная терапия может назначаться только при полной неэффективности негормональных методов лечения.

Наиболее частой патологией эндометрия при приеме тамоксифена являются полипы, которые обнаруживаются у 8–36% пациенток в сравнении с 0–10% женщин, не принимающих тамоксифен. Частота озлокачествления этих полипов может достигать 3–10,7%. У женщин в постменопаузе в 1,3–20% наблюдений развивается гиперплазия эндометрия (в сравнении с 0-10% у не получавших тамоксифен). При наличии атипичной гиперплазии риск рака эндометрия составляет около 23%, при типичной гиперплазии - 2%.

На фоне приема тамоксифена возможно развитие кистозной атрофии, то есть появление множественных кист эндометрия. При распространении кист за пределы эндометрия в мышечный слой матки, развивается аденомиоз. Частота аденомиоза в 3–4 раза выше у женщин на тамоксифене по сравнению с общей популяцией. Кистозные изменения, как правило, не имеют риска злокачественной трансформации.

Рак эндометрия является одним из самых грозных, хотя и редких, осложнений длительной терапии тамоксифеном. Рак эндометрия диагностируется у 0,3–0,8% пациенток в менопаузе на фоне лечения тамоксифеном против 0,06–0,21% на фоне ингибиторов ароматазы. Продолженная терапия тамоксифеном до 10 лет увеличивает частоту рака эндометрия до 3,1% против 1,6% в группе женщин, не принимающих тамоксифен. Частота рака эндометрия при 5-летнем приеме тамоксифена по сравнению с плацебо повышается в 2,5 раза. При этом риск развития рака эндометрия у женщин моложе 55 лет является минимальным. У пациенток в возрасте 55–69 лет 15-летний кумулятивный риск рака эндометрия составил 3,8% против 1,1% в группе сравнения.

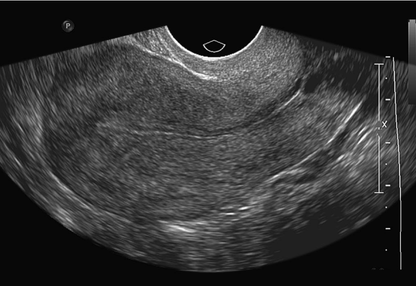
Ультразвуковое исследование (УЗИ) является наиболее простым и доступным методом оценки состояния органов малого таза. В диагностике патологии эндометрия УЗИ обладает высокой чувствительностью.

-2

У большинства женщин в постменопаузе на фоне терапии тамоксифеном отмечается утолщение эндометрия до 9–13 мм (против 4–5,4 мм в норме) с наличием множественных кист. Выявление на УЗИ утолщенного эндометрия при отсутствии каких-либо симптомов зачастую является поводом для выраженной тревоги и проведения инвазивных диагностических процедур с биопсией эндометрия, неоднократных на протяжении всего периода гормонотерапии, что нередко приводит к необоснованной отмене препарата. При этом, независимо от определяемой на УЗИ толщины эндометрия, морфологически у 50–70% пациенток диагностируется атрофия эндометрия или клинически не значимая простая гиперплазия. Рак эндометрия при этом может выявляться при любой толщине эндометрия, в том числе и нормальной. До начала терапии тамоксифеном рекомендуется обязательное гинекологическое обследование. Женщины в пременопаузе, с учетом крайне низкого риска развития рака эндометрия, при отсутствии жалоб должны проходить лишь обязательные ежегодные гинекологические осмотры. Женщинам в постменопаузе гинекологические осмотры рекомендуется дополнять УЗИ-исследованием. Любые кровянистые выделения из половых путей у женщин, получающих тамоксифен, должны являться основанием для тщательного обследования. Выявленная гиперплазия эндометрия с наличием клинических проявлений служит поводом для смены гормонотерапии.

Также Вам может быть интересно: