Добавить в корзинуПозвонить
Найти в Дзене
Мастер на все зубы🦊

Волнистые края у передних зубов — норма или патология❓

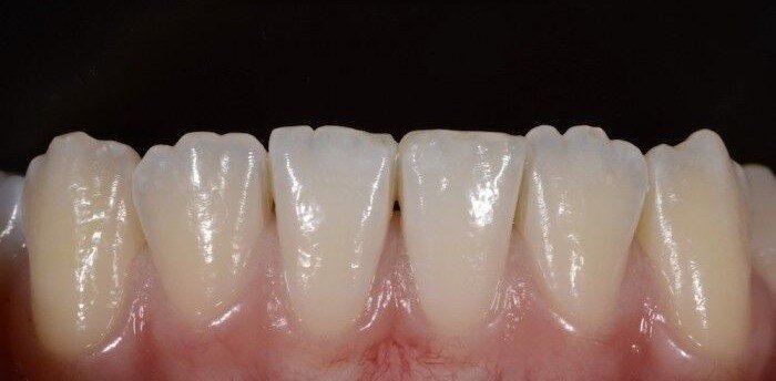
Наверняка каждый из вас видел волнистые края зубов у людей или имеет у себя. Но поскольку есть такое далеко не у всех, возникает вопрос - являются ли они нормой. Мой ответ однозначен - ДА. Волнистые резцы характерны для зубов у детей, молодых людей, они облегчают прорезывание зубов и откусывание пищи. Если же зубные бугорки сохраняются в старости, возможной причиной является хроническая травма зубов. Она могла возникнуть от откусывания нитки или в результате щёлканья семечек. Не стоит беспокоиться. По факту мамелоны на зубных резцах присутствуют у всех людей, просто у некоторых они незаметны невооружённым глазом. Зубные бугорки появляются ещё на ранней стадии развития зубов. Из различных клеток формируются передние стенки резцов. Клетки разделены на три группы, каждая из которых формирует по 1 валику. Валики формируются из дентина и эмали, образуют бугорки, между которыми появляются углубления. "Бороздки" на зубах служат местом слияния эмали и дентина. За исключением случаев неправи

Наверняка каждый из вас видел волнистые края зубов у людей или имеет у себя. Но поскольку есть такое далеко не у всех, возникает вопрос - являются ли они нормой.

Мой ответ однозначен - ДА. Волнистые резцы характерны для зубов у детей, молодых людей, они облегчают прорезывание зубов и откусывание пищи.

Если же зубные бугорки сохраняются в старости, возможной причиной является хроническая травма зубов. Она могла возникнуть от откусывания нитки или в результате щёлканья семечек.

Не стоит беспокоиться. По факту мамелоны на зубных резцах присутствуют у всех людей, просто у некоторых они незаметны невооружённым глазом.

Зубные бугорки появляются ещё на ранней стадии развития зубов. Из различных клеток формируются передние стенки резцов. Клетки разделены на три группы, каждая из которых формирует по 1 валику. Валики формируются из дентина и эмали, образуют бугорки, между которыми появляются углубления.

https://ohi-s.com/
https://ohi-s.com/

"Бороздки" на зубах служат местом слияния эмали и дентина.

За исключением случаев неправильного контактирования передних зубов у пациента, с большой вероятностью мамелоны уничтожаются к 20 годам.

Если хотите подровнять зубы

Для пришлифовки зубных краёв вы можете обратиться к стоматологу. При проведении процедуры не затрагиваются внутренние зубные ткани, т.к. зубы шлифуются на толщину до 1 миллиметра. Шлифовка также не влияет на чувствительность зубов.

Данная процедура полезна также в целях исправления прикуса, выравнивания зубного ряда и предотвращения асимметричного истирания зубов. Перед проведением процедуры необходимо проконсультироваться со специалистом.

Подписывайтесь на канал, ставьте лайки! Ваше внимание очень важно для автора!