Добавить в корзинуПозвонить
Найти в Дзене

Прогрессирование рака скрывалось под маской пневмонии. Случай из практики онколога

Сегодня расскажу историю пациентки, которой около 7 лет назад был установлен диагноз рак молочной железы. Биопсия подтвердила инвазивный характер опухоли, по данным иммуногистохимического (ИГХ) исследования опухоль оказалась гормонзависимой (люминальной), HER2-негативной. По данным комплексного обследования признаков отдаленного метастазирования не выявлено, установлена II стадия заболевания. Выполнена мастэктомия с реконструктивной пластикой имплантом, назначена гормонотерапия тамоксифеном. Через три года по данным контрольного обследования было диагностировано метастатическое поражение костей. Назначена терапия ингибиторами ароматазы в комбинации с рибоциклибом, а также деносумаб. Менее чем через год рибоциклиб пришлось отменить из-за выраженной гепатотоксичности (печеночные ферменты АСАТ и АЛАТ повысились до нескольких сотен единиц). Но прием ингибиторов ароматазы+деносумаб был продолжен. Еще через три года у пациентки появились жалобы на ухудшение общего состояния, одышку. По дан

Сегодня расскажу историю пациентки, которой около 7 лет назад был установлен диагноз рак молочной железы.

Биопсия подтвердила инвазивный характер опухоли, по данным иммуногистохимического (ИГХ) исследования опухоль оказалась гормонзависимой (люминальной), HER2-негативной.

По данным комплексного обследования признаков отдаленного метастазирования не выявлено, установлена II стадия заболевания.

Выполнена мастэктомия с реконструктивной пластикой имплантом, назначена гормонотерапия тамоксифеном. Через три года по данным контрольного обследования было диагностировано метастатическое поражение костей.

Назначена терапия ингибиторами ароматазы в комбинации с рибоциклибом, а также деносумаб.

Менее чем через год рибоциклиб пришлось отменить из-за выраженной гепатотоксичности (печеночные ферменты АСАТ и АЛАТ повысились до нескольких сотен единиц). Но прием ингибиторов ароматазы+деносумаб был продолжен.

Еще через три года у пациентки появились жалобы на ухудшение общего состояния, одышку.

По данным обследования диагностирована двусторонняя пневмония, а также скопление жидкости в плевральных полостях справа и слева (гидроторакс).

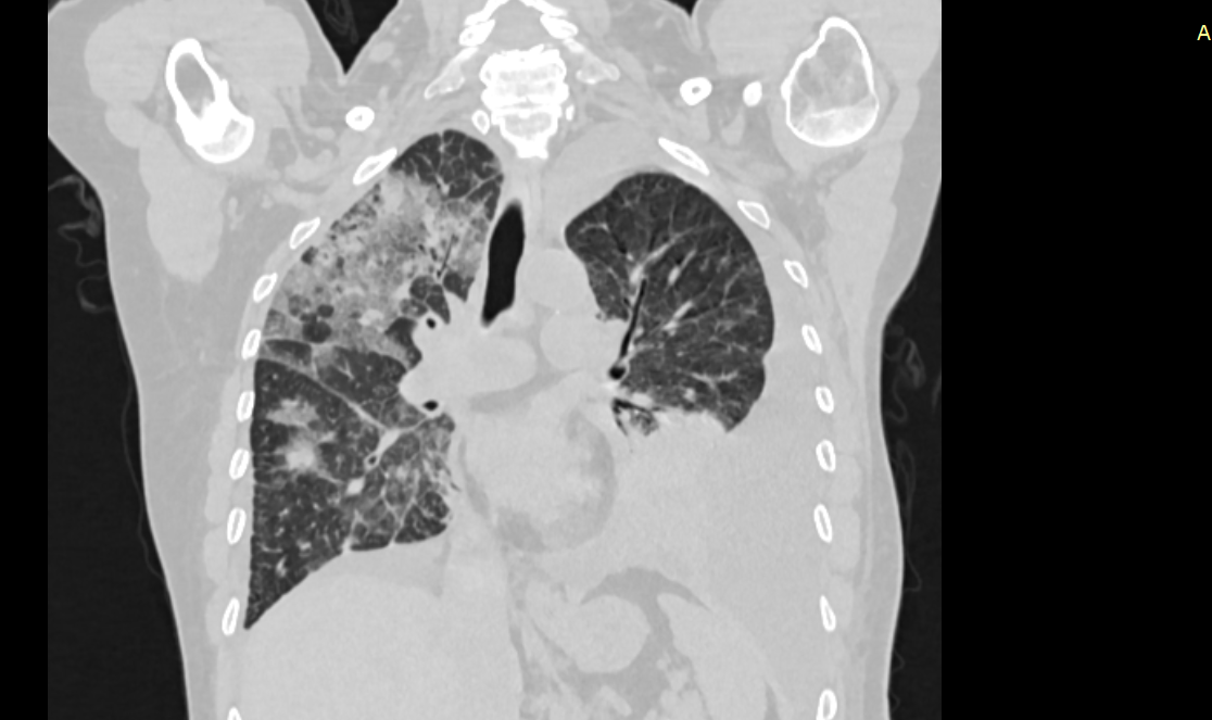
Компьютерная томография легких, на снимке отчетливо видна двусторонняя пневмония, скопление свободной жидкости в легких, также виден имплант, установленный после удаления молочной железы
Компьютерная томография легких, на снимке отчетливо видна двусторонняя пневмония, скопление свободной жидкости в легких, также виден имплант, установленный после удаления молочной железы

В течение почти трех месяцев пациентка в домашних условиях и в условиях терапевтических стационаров лечила пневмонию - безуспешно. Ситуация медленно ухудшалась.

Так, с основным диагнозом двусторонняя полисегментарная пневмония пациентка была госпитализирована к нам в клинику.

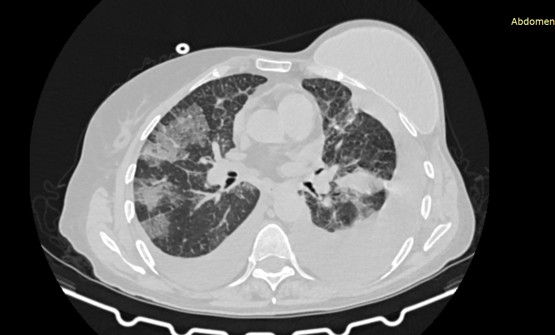
КТ органов грудной клетки, на снимке легко оценить степень поражения легочной ткани.
КТ органов грудной клетки, на снимке легко оценить степень поражения легочной ткани.

В связи с одышкой и скоплением жидкости в плевральных полостях была выполнена пункция плевральных полостей с эвакуацией жидкости. После "откачки" жидкости легкие расправились и дышать пациентке стало легче. Удаленная жидкость была отправлена на цитологическое исследование, которое показало наличие раковых клеток.

Ситуация стала проясняться. Ухудшение самочувствия и изменения в легких очевидно были связаны с прогрессированием заболевания.

Далее, в процессе диагностического поиска, при УЗИ и КТ-исследовании были выявлены небольшие, но измененные шейные, подмышечные и подключичные лимфоузлы, причем только с той стороны, где ранее был рак молочной железы:

-3
Небольшой, 5,5 мм узел я спунктировал под УЗ-навигацией
Небольшой, 5,5 мм узел я спунктировал под УЗ-навигацией

По результатам пункции измененного лимфоузла получены клетки рака:

-5
На снимке совсем небольшой, но округлый, метастатически измененный лимфоузел
На снимке совсем небольшой, но округлый, метастатически измененный лимфоузел

Теперь предстояло удалить один из пораженных лимфоузлов и отправить его на гистологическое и повторное ИГХ-исследование. Повторное ИГХ-исследование обязательно необходимо выполнить, так как за годы лечения молекулярные характеристики опухоли могли измениться.

Далее я удалил отмеченный на снимке лимфоузел. При гистологическом исследовании было подтверждено опухолевое поражение лимфоузла:

-7

А вот результаты ИГХ-исследования показали ещё более интересную картину:

-8

Опухоль оказалась более агрессивной, чем прежде: HER2-позитивной(+++), индекс Ki67 стал достаточно высоким - 40%, а количество рецепторов к гормонам снизилось (только в 45% опухолевых клеток наблюдалась слабая ядерная экспрессия рецепторов к эстрогенам, а рецепторы к прогестеронам и вовсе отсутствовали).

Учитывая результаты диагностического поиска, клиническая ситуация трактована как прогрессирование заболевания: лимфогенный карциноматоз легких, карциноматоз плевры, метастатическое поражение шейных и подключичных и подмышечных лимфоузлов. Очаги в легких оказались не воспалительной природы, а проявлением прогрессирования онкологического заболевания.

Решением консилиума была назначена химиотерапия доцетакселом в комбинации с анти HER2-таргетной терапией. Пациентке стало легче уже через несколько дней после начала лечения. Планируется проведение 3 циклов химиотергетной терапии с последующей оценкой эффекта и определением дальнейшей лечебной тактики.

Также, Вам может быть интересно: