Добавить в корзинуПозвонить
Найти в Дзене

Как оценивается гормонзависимость при раке молочной железы

Рак молочной железы - это не одна болезнь, а целая группа заболеваний. Каждая опухоль имеет свой "паспорт" - набор молекулярных характеристик, которые определяют её поведение, скорость прогрессирования и чувствительность к тому или иному лечению. Гормонзависимость - это, пожалуй, самый важный пункт в этом паспорте. Около 70% всех случаев рака молочной железы являются гормонзависимыми. В клетках гормонзависимого рака молочной железы находятся специальные белковые молекулы - рецепторы к эстрогену (ER) и прогестерону (PgR). Эти рецепторы связываются с женскими половыми гормонами (эстрогены) как ключ с замком. Когда гормон связывается с рецептором, он запускает внутри клетки цепочку сигналов, которая приводит к клеточному делению. Убрав "ключи" или заблокировав "замки", мы можем остановить или существенно замедлить рост опухоли. Именно на этом и основана гормональная терапия - один из самых эффективных и при этом относительно щадящих противоопухолевых методов лечения рака молочной железы.

Рак молочной железы - это не одна болезнь, а целая группа заболеваний. Каждая опухоль имеет свой "паспорт" - набор молекулярных характеристик, которые определяют её поведение, скорость прогрессирования и чувствительность к тому или иному лечению. Гормонзависимость - это, пожалуй, самый важный пункт в этом паспорте.

Около 70% всех случаев рака молочной железы являются гормонзависимыми. В клетках гормонзависимого рака молочной железы находятся специальные белковые молекулы - рецепторы к эстрогену (ER) и прогестерону (PgR). Эти рецепторы связываются с женскими половыми гормонами (эстрогены) как ключ с замком. Когда гормон связывается с рецептором, он запускает внутри клетки цепочку сигналов, которая приводит к клеточному делению. Убрав "ключи" или заблокировав "замки", мы можем остановить или существенно замедлить рост опухоли. Именно на этом и основана гормональная терапия - один из самых эффективных и при этом относительно щадящих противоопухолевых методов лечения рака молочной железы.

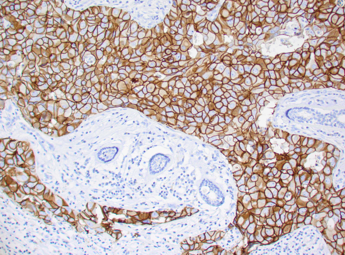
Как определяют гормональный статус опухоли?

Основной инструмент - иммуногистохимическое исследование (ИГХ) образцов опухолевой ткани. Это метод исследования, при котором на тончайший срез опухолевой ткани, полученный при биопсии или операции, наносят специальные реактивы (антитела). Эти антитела распознают рецепторы к эстрогену и прогестерону и окрашивают их в коричневый цвет. Врач-патоморфолог смотрит в микроскоп и оценивает количество окрашенных клеток и интенсивность окрашивания.

Два ключевых показателя - ER и PgR.

ER - рецепторы к эстрогенам. Это главный маркер гормонзависимости. Около 75% всех опухолей экспрессируют эти рецепторы.

PgR - рецепторы к прогестерону. Их наличие - дополнительный признак гормонзависимости.

Показание к гормонотерапии - наличие рецепторов к эстрогенам в опухолевых клетках. Но при наличии в клетках еще и рецепторов к прогестерону эффективность гормонотерапии возрастает.

Порог чувствительности - 1%

Существует четкий количественный критерий: опухоль считается гормонположительной, если хотя бы 1% ядер опухолевых клеток окрашивается на ER или PgR. Если окрашенных опухолевых клеток менее 1%, опухоль считается гормоннегативной, и гормональная терапия скорее всего будет неэффективной.

Степень гормональной чувствительности оценивается по балльной системе, где 0 баллов - отсутствие окрашенных клеток, а 8 баллов - означает более 66% интенсивно окрашенных опухолевых клеток. При наличии ER 3 балла и выше опухоль считается гормонзависимой и гормонотерапия может быть назначена. При этом выраженность и продолжительность противоопухолевого ответа при 8 баллах ожидаемо больше, чем при 3 баллах.

Гормональный статус - это лишь часть опухолевого "портрета" при раке молочной железы. Два других ключевых маркера - это HER2 и ki67.

HER2 - это белок, расположенный на поверхности нормальных клеток, регулирующий клеточное деление.

Вид под микроскопом. Коричневым цветом окрашиваются HER2-положительные клетки рака молочной железы
Вид под микроскопом. Коричневым цветом окрашиваются HER2-положительные клетки рака молочной железы

Приблизительно в 20% случаев на клетках рака молочной железы располагается аномально большое количество молекул HER2 (гиперэкспрессия HER2+++). Такая опухоль прогрессирует особенно агрессивно и рано метастазирует, благо, белок HER2 является мишенью для таргетных препаратов - трастузумаба, пертузумаба и т.д. Таргетная терапия значительно улучшает прогноз при HER2-положительном раке молочной железы.

Ki67 - это показатель интенсивности деления опухолевых клеток. Чем выше Ki67, тем агрессивнее опухоль.

Ориентировочные значения:

Ki67 менее 20% - низкая пролиферативная активность

Ki67 20-30% - пограничное значение.

Ki67 более 30% - высокая пролиферативная активность.

Что же делать с этими результатами?

ИГХ-исследование - это не просто набор цифр и букв, это ключ к персонализированному лечению.

Если опухоль позитивна по ER и PgR, одним из основных и обязательных методов лечения является гормонотерапия. Для усиления противоопухолевого эффекта в современных протоколах лечения гормонотерапия часто применяется в комбинации с таргетными препаратами - ингибиторами CDK4/6. Гормонотерапия - эффективный и относительно безопасный метод лечения гормонзависимого рака молочной железы, снижающий риск прогрессирования болезни и дарующий драгоценные годы жизни женщинам, столкнувшимся с раком молочной железы.

Также Вам может быть интересно: