Найти в Дзене

Почему метастаз в лимфоузле опаснее первичной опухоли? Объясняет онколог

Буквально за неделю до обращения ко мне пациентка самостоятельно обнаружила уплотнение в правой молочной железе.
По УЗИ в правой молочной железе выявлена опухоль размером 14х10 мм - BI-RADS-5. BI-RADS-5 означает, что картина по всем признакам соответствует раку, сомнений в диагнозе нет. Признаки поражения лимфоузлов отсутствуют. При осмотре в правой молочной железе четко определялась смещаемая плотная опухоль овальной формы размером до 2 см в наибольшем измерении. Учитывая предполагаемый диагноз, прямо в рамках первичного приема под УЗИ-контролем я выполнил кор-биопсию опухоли, полученные столбики опухолевой ткани были отправлены в лабораторию. Через двое суток после биопсии было готово гистологическое исследование, болезнь подтвердилась. Морфологически подтвержден инвазивный рак молочной железы промежуточной степени злокачественности (G2). По данным ИГХИ (иммуногистохимического исследования) в опухолевые клетки оказались выраженно гормонзависимыми - с большим количеством рецепторов

Буквально за неделю до обращения ко мне пациентка самостоятельно обнаружила уплотнение в правой молочной железе.
По УЗИ в правой молочной железе выявлена опухоль размером 14х10 мм - BI-RADS-5.

BI-RADS-5 означает, что картина по всем признакам соответствует раку, сомнений в диагнозе нет.

Признаки поражения лимфоузлов отсутствуют.

При осмотре в правой молочной железе четко определялась смещаемая плотная опухоль овальной формы размером до 2 см в наибольшем измерении.

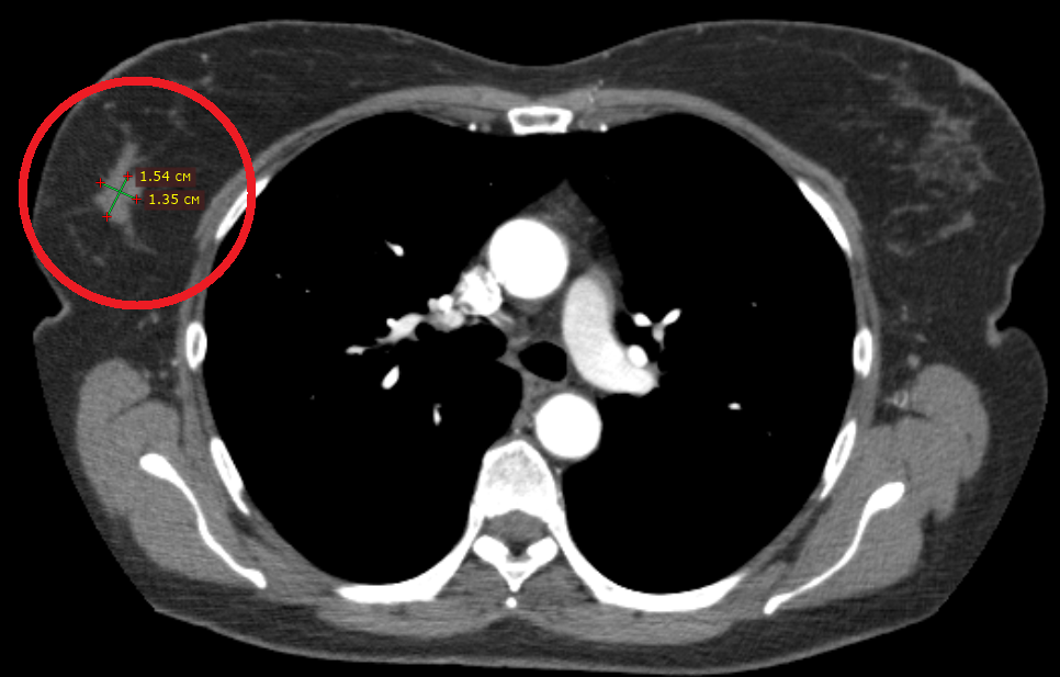
Компьютерная томография с контрастированием позволяет прекрасно визуализировать опухоль в молочной железе
Компьютерная томография с контрастированием позволяет прекрасно визуализировать опухоль в молочной железе

Учитывая предполагаемый диагноз, прямо в рамках первичного приема под УЗИ-контролем я выполнил кор-биопсию опухоли, полученные столбики опухолевой ткани были отправлены в лабораторию.

УЗИ-исследование молочной железы. Красным пунктиром обозначены границы опухоли.
УЗИ-исследование молочной железы. Красным пунктиром обозначены границы опухоли.

Через двое суток после биопсии было готово гистологическое исследование, болезнь подтвердилась. Морфологически подтвержден инвазивный рак молочной железы промежуточной степени злокачественности (G2).

-4

По данным ИГХИ (иммуногистохимического исследования) в опухолевые клетки оказались выраженно гормонзависимыми - с большим количеством рецепторов эстрогена и прогестерона (выраженная ядерная экспрессия в 95% опухолевых клеток (8 баллов); Progesterone Receptor - выраженная ядерная экспрессия в 98% опухолевых клеток (8 баллов) Ki67 - 15% клеток опухоли; Her2/neu ++ (неопределенный).

-5
Чем больше баллов по рецепторам эстрогена и прогестерона имеет опухоль, тем прогностически более благоприятным считается заболевание, так как пациентки с выраженно гормонзависимыми опухолями будут под надежной защитой гормонотерапии - лечение в этом случае будет более эффективным

В целом, учитывая выраженную гормонзависимость (максимальные 8 баллов по рецепторам эстрогенов и прогестерона), относительно низкий индекс клеточного деления (Ki67 - 15%), опухоль оказалась далеко не самой агрессивной.
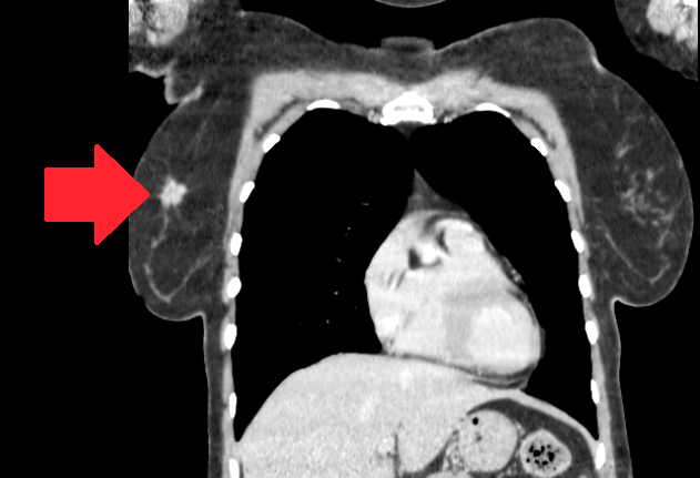
По данным компьютерной томографии всего тела с контрастированием признаки отдаленного метастазирования выявлены не были, но определился округлый подозрительный лимфоузел в правой подмышечной области. Размеры опухоли по КТ определились как 19х13.5х19 мм.

В центре красного круга определяется округлый подмышечный лимфоузел
В центре красного круга определяется округлый подмышечный лимфоузел

Проведен онкоконсилиум: учитывая данные морфологической верификации, а также распространенность заболевания, на первом этапе показано хирургическое лечение в объеме онкопластической резекции правой молочной железы.
Далее мы сделали органосохраняющую операцию с отличным эстетическим результатом, форма молочной железы практически не изменилась. По данным гистологического исследования операционного материала подтвердился инвазивный рак молочной железы G2. Фактические размеры опухоли оказались 17х15х15 мм., в одном подмышечном лимфоузле был выявлен метастаз рака.

-7

После операции диагноз стадирован как pT1сN1(1/8)M0 – IIA стадия.

Метастаз в подмышечном лимфоузле был направлен на иммуногистохимическое исследование, по результатам которого иммунофенотип опухоли был пересмотрен в сторону более агрессивного: количество рецепторов к гормонам уменьшилось до 6 баллов по эстрогену, также была определена гиперэкспрессия Her2/neu - 3+. Заключение: тип рака люминальный B, HER2-позитивный.

-8
При выявлении метастатически измененных лимфоузлов на иммуногистохимическое исследование нужно направлять не первичную опухоль, а именно метастаз, так как метастазируют более агрессивные клоны клеток, порой с более агрессивным иммунофенотипом, что может влиять на послеоперационное противоопухолевое лечение


Прогноз в данной ситуации:

- 15-летняя общая выживаемость на уровне 75-85%;

- 15-летняя безрецидивная выживаемость около 65-80%.

Учитывая распространенность и иммуногистохимические характеристики опухоли, в послеоперационном периоде показано 6 циклов химиотаргетной терапии, затем лучевая терапия и таргетная анти-HER2-терапия (продолжительность таргетной терапии 12 месяцев). Также одновременно с лучевой и таргетной терапией будет назначена гормонотерапия продолжительностью от 7 до 10 лет, учитывая такой фактор неблагоприятного прогноза, как метастатическое поражение лимфоузла.

Также Вам может быть интересно: