Добавить в корзинуПозвонить
Найти в Дзене
Evolutis Clinic

Когда сустав перестает двигаться — что нужно знать об анкилозе

Каждый сустав в нашем теле — это сложный механизм, обеспечивающий подвижность, свободу движений и качество жизни. И когда этот механизм выходит из строя, страдает не только физическое здоровье, но и психологическое состояние человека. Одной из самых серьёзных патологий, приводящих к полной утрате подвижности, является анкилоз сустава. Это не просто ограничение амплитуды движений — это состояние, при котором сустав буквально «заклинивает» и перестаёт двигаться вовсе. Анкилоз — это не самостоятельное заболевание, а, скорее, осложнение или следствие другого процесса. Разобраться, что его вызывает, как его распознать и какие существуют подходы к лечению, — задача не только врача, но и пациента. Чем раньше выявить проблему, тем выше шансы сохранить свободу движений. Главное об анкилозе рассказали врачи Кунцевского центра Evolutis Clinic. Термин «анкилоз» происходит от греческого ankylos, что означает «изогнутый» или «неподвижный». В медицинской практике это понятие обозначает полное отсутст
Оглавление

Каждый сустав в нашем теле — это сложный механизм, обеспечивающий подвижность, свободу движений и качество жизни. И когда этот механизм выходит из строя, страдает не только физическое здоровье, но и психологическое состояние человека. Одной из самых серьёзных патологий, приводящих к полной утрате подвижности, является анкилоз сустава. Это не просто ограничение амплитуды движений — это состояние, при котором сустав буквально «заклинивает» и перестаёт двигаться вовсе.

Анкилоз — это не самостоятельное заболевание, а, скорее, осложнение или следствие другого процесса. Разобраться, что его вызывает, как его распознать и какие существуют подходы к лечению, — задача не только врача, но и пациента. Чем раньше выявить проблему, тем выше шансы сохранить свободу движений. Главное об анкилозе рассказали врачи Кунцевского центра Evolutis Clinic.

Что такое анкилоз?

Термин «анкилоз» происходит от греческого ankylos, что означает «изогнутый» или «неподвижный». В медицинской практике это понятие обозначает полное отсутствие движений в суставе — как активных (выполняемых усилием пациента), так и пассивных (которые может выполнить врач при обследовании). Это происходит из-за сращения суставных поверхностей костей — фиброзного (соединительная ткань), хрящевого или костного характера. В результате сустав как бы «цементируется» и становится абсолютно неподвижным.

-2

Анкилоз может развиться в любом суставе, но чаще всего страдают крупные — тазобедренный, коленный, локтевой. Также нередки анкилозы позвоночных сочленений, особенно при таких системных заболеваниях, как болезнь Бехтерева (анкилозирующий спондилит).

Заболевание классифицируют по нескольким признакам:

1. По типу ткани сращения:

  • фиброзный — менее плотное соединение — возможна незначительная подвижность;
  • костный — полная неподвижность;

2. По положению конечности:

  • функционально выгодный — например, колено зафиксировано в положении стоя;
  • функционально невыгодный — зафиксировано в согнутом положении, мешающем движению.

Причины анкилоза

Наиболее частые причины развития анкилоза:

  • травмы — сложные переломы, особенно внутри сустава, при отсутствии адекватного лечения или реабилитации;
  • инфекционные и воспалительные заболевания: гнойный артрит, анкилозирующий спондилит, болезнь Бехтерева;
  • аутоиммунные заболевания — ревматоидный артрит, системная красная волчанка;
  • дегенеративные изменения — остеоартрит на поздних стадиях;
  • хирургические вмешательства — например, после повторных операций на суставе без должной реабилитации;
  • врожденные аномалии развития — встречаются реже, но возможны.

Суть всех причин — в разрушении нормальной суставной поверхности и образовании рубцовой или костной ткани, которая «замыкает» сустав и делает его неподвижным.

Симптомы, которые нельзя игнорировать

Анкилоз не возникает внезапно — его развитие можно заметить по следующим симптомам:

  • снижение подвижности сустава, особенно по утрам;
  • боль при движении или в покое;
  • изменение формы сустава, припухлость;
  • ощущение «заклинивания»;
  • ограничение или исчезновение сгибания и разгибания;
  • изменение походки или осанки (при анкилозе тазобедренного или позвоночного суставов).
-3

Как диагностируют анкилоз?

Диагностика анкилоза начинается с подробного сбора анамнеза и физикального осмотра. Врач оценивает степень подвижности, наличие болей, деформаций.

Для уточнения диагноза используются:

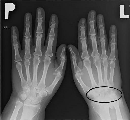
  • Рентгенография — позволяет оценить сращение костей;
  • МРТ и КТ — информативны при фиброзных анкилозах и ранних стадиях;
  • УЗИ сустава — используется для оценки состояния мягких тканей;
  • Лабораторные анализы — при подозрении на инфекционную или аутоиммунную природу заболевания.

Лечение — возможно ли вернуть движение?

Тактика лечения зависит от стадии и причин анкилоза, а также от возраста пациента и общего состояния здоровья.

Консервативное лечение включает:

  • противовоспалительную терапию;
  • физиотерапию (магнитотерапия, ультразвук, электрофорез);
  • ЛФК и мануальные методики;
  • при фиброзных анкилозах — разработка сустава под контролем специалиста.

При костных анкилозах или полной утрате функции применяют хирургическое лечение: артропластику, эндопротезирование, резекционные операции.

Можно ли предотвратить анкилоз?

Предотвращение анкилоза — в первую очередь, это правильное и своевременное лечение травм и воспалительных процессов суставов, а также грамотная реабилитация после операций и артритов. Регулярная физическая активность, контроль массы тела и раннее обращение к врачу при боли в суставах — основные шаги для профилактики.

Анкилоз — это не приговор, но состояние, которое требует внимания и комплексного подхода. При первых признаках ограничения подвижности важно обратиться к специалисту. Современная медицина предлагает эффективные методы диагностики и лечения, позволяющие сохранить или восстановить качество жизни.

Если вы замечаете, что один из суставов стал менее подвижным, вы испытываете боль или «скованность» — не откладывайте визит к врачу!