Добавить в корзинуПозвонить
Найти в Дзене

Как находят сторожевые лимфоузлы при раке и меланоме?

Биопсия сторожевого лимфоузла выполняется пациентам при меланоме, раке молочной железы, злокачественными опухолями головы и шеи, раке шейки и тела матки, предстательной железы и некоторых других опухолях. Данная процедура проводится в случае отсутствия отдаленных метастазов, а также отсутствия метастатического поражения лимфоузлов по данным компьютерной томографии, либо ПЭТ-КТ. Целью биопсии сторожевого лимфоузла является исключение/подтверждение наличия микрометастазов, то есть совсем небольших скоплений опухолевых клеток, невидимых для инструментальных исследований. Смыслом биопсии сторожевого лимфоузла является возможность не выполнять регионарную лимфодиссекцию (то есть не удалять все лимфоузлы, расположенные в регионе возникновения опухоли). Сторожевые лимфоузлы – это самые первые лимфоузлы, в которые попадает лимфа от опухолевой ткани, обычно таких лимфоузлов бывает от 1 до 4. При полноценной лимфодиссекции, когда необходимо убрать все регионарные лимфоузлы, обычно их количество

Биопсия сторожевого лимфоузла выполняется пациентам при меланоме, раке молочной железы, злокачественными опухолями головы и шеи, раке шейки и тела матки, предстательной железы и некоторых других опухолях. Данная процедура проводится в случае отсутствия отдаленных метастазов, а также отсутствия метастатического поражения лимфоузлов по данным компьютерной томографии, либо ПЭТ-КТ. Целью биопсии сторожевого лимфоузла является исключение/подтверждение наличия микрометастазов, то есть совсем небольших скоплений опухолевых клеток, невидимых для инструментальных исследований.

Смыслом биопсии сторожевого лимфоузла является возможность не выполнять регионарную лимфодиссекцию (то есть не удалять все лимфоузлы, расположенные в регионе возникновения опухоли). Сторожевые лимфоузлы – это самые первые лимфоузлы, в которые попадает лимфа от опухолевой ткани, обычно таких лимфоузлов бывает от 1 до 4. При полноценной лимфодиссекции, когда необходимо убрать все регионарные лимфоузлы, обычно их количество составляет от 10 до 20 и даже больше, в зависимости от региона операции. Соответственно, биопсия сторожевого лимфоузла позволяет уменьшить хирургическую травму и значительно снизить риск таких осложнений, как лимфатический отек (лимфостаз). Если по результатам гистологического исследования в сторожевых лимфоузлах не находят признаков злокачественной опухоли, регионарная лимфодиссекция пациентам не проводится.

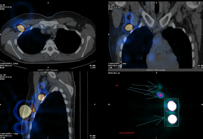
Как же найти те самые сторожевые лимфоузлы? Перед операцией в зону расположения опухоли вводится специальный раствор радиофармпрепарата, который избирательно накапливается в лимфоузлах. Через некоторое время (15-60 минут или немного больше, в зависимости от препарата), выполняется специальная компьютерная томография (ОФЭТ-КТ), по результатам которой в 3D-режиме специалисты получают информацию о сторожевых лимфоузлах.

Лимфоузлы визуализируются в виде ярких точек.

Визуализация сторожевых лимфоузлов
Визуализация сторожевых лимфоузлов

Данные ОФЭТ-КТ позволяют хирургу спланировать операцию. Непосредственно на операционном столе для поиска, выделения и удаления небольших лимфоузлов хирург пользуется специальным портативным гамма-детектором, который как маяк, указывает хирургу наиболее короткий путь к сторожевым лимфоузлам.

На фото во время операции я демонстрирую работу гамма-детектора. На экране монитора показывается фон от удаленного только что лимфоузла
На фото во время операции я демонстрирую работу гамма-детектора. На экране монитора показывается фон от удаленного только что лимфоузла

Также Вам может быть интересно: