Добавить в корзинуПозвонить
Найти в Дзене

Клинический случай: 4 опухоли в голове

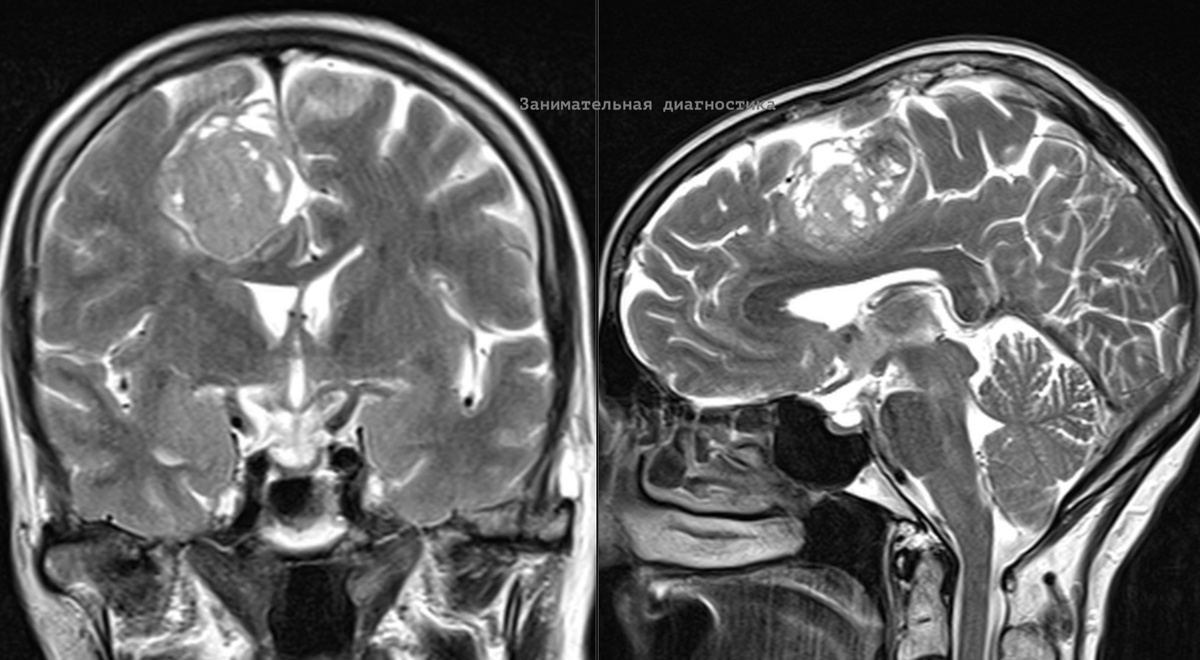
К нам на МРТ обратилась женщина 70 лет у которой ранее обнаружили опухоль на КТ. В таких случаях МРТ назначается для уточнения структуры опухоли и уточнения некоторых других нюансов (для решения по дальнейшей тактике). Образование достаточно крупное, размером с куриное яйцо, оказывает умеренное объёмное воздействие на мозг (масс-эффект). В таких ситуациях рекомендуется выполнение исследования с в/в контрастом. Это позволяет точнее оценить структуру опухоли и часто даже предположить её гистологический тип, что ранее (до эры МРТ) было нереальной задачей. Накопление контрастного препарата интенсивное. Расположение опухоли (она прилежит к твердой мозговой оболочке) и другие признаки позволяют нам на 99% быть уверенным гистологическом типе опухоли, это - менингиома. Менингиомы — это опухоли, которые развиваются из клеток мозговых оболочек, окружающих головной и спинной мозг. Случай интересен ещё и тем, что этих образований у женщины оказалось сразу четыре (!), в разных локализациях. Одно из

К нам на МРТ обратилась женщина 70 лет у которой ранее обнаружили опухоль на КТ.

В таких случаях МРТ назначается для уточнения структуры опухоли и уточнения некоторых других нюансов (для решения по дальнейшей тактике).

Образование достаточно крупное, размером с куриное яйцо, оказывает умеренное объёмное воздействие на мозг (масс-эффект).

-2

В таких ситуациях рекомендуется выполнение исследования с в/в контрастом. Это позволяет точнее оценить структуру опухоли и часто даже предположить её гистологический тип, что ранее (до эры МРТ) было нереальной задачей.

-3
-4
-5

Накопление контрастного препарата интенсивное. Расположение опухоли (она прилежит к твердой мозговой оболочке) и другие признаки позволяют нам на 99% быть уверенным гистологическом типе опухоли, это - менингиома.

Менингиомы — это опухоли, которые развиваются из клеток мозговых оболочек, окружающих головной и спинной мозг.

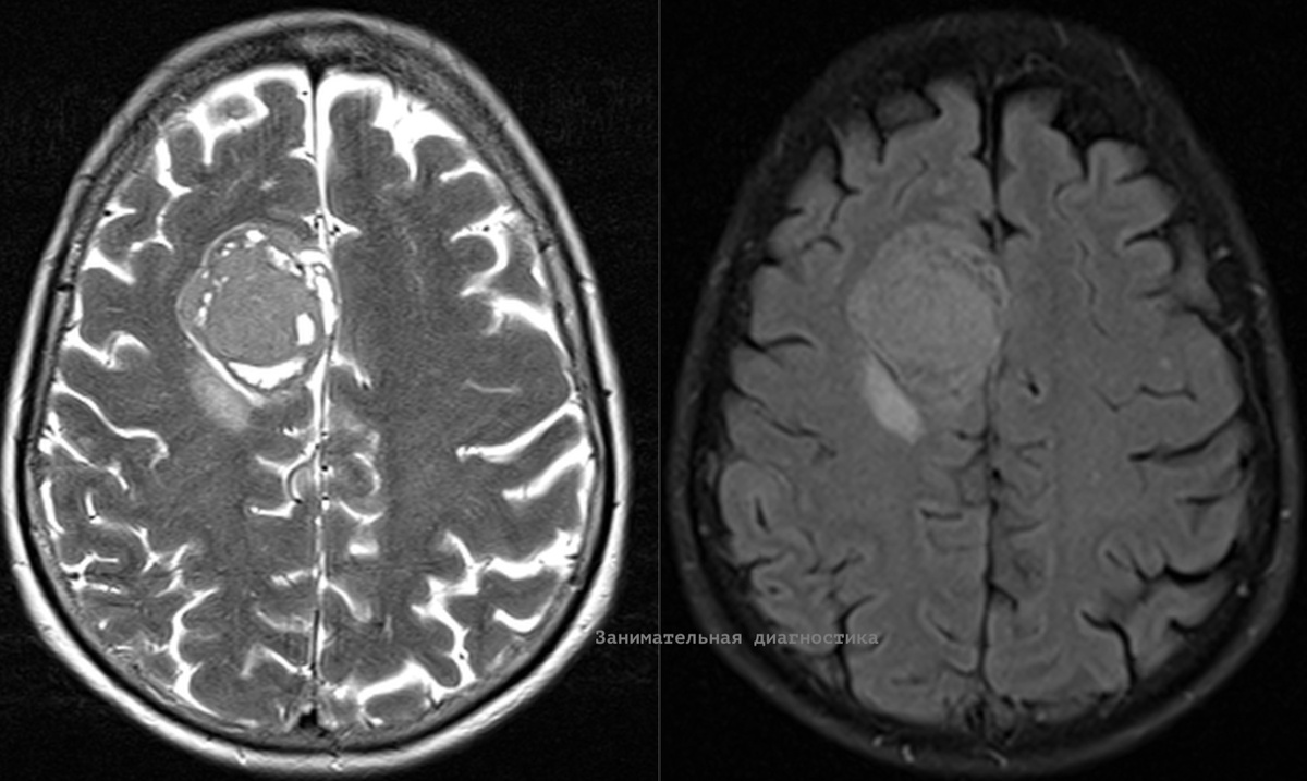
Случай интересен ещё и тем, что этих образований у женщины оказалось сразу четыре (!), в разных локализациях. Одно из них мы увидели только после контрастного усиления, слишком оно было мелким.

Учитывая пожилой возраст и крайне медленный рост таких опухолей, нейрохирургом было принято решение отказаться от операции и ограничиться наблюдением.

Спустя год на контрольном МРТ исследовании размеры образований практически не изменились (это к вопросу о том, насколько медленно они растут).

10 интересных фактов о менингиомах:

✅ Доброкачественные, но не всегда безобидные: большинство менингиом (> 90%) являются доброкачественными, однако они могут вызывать серьезные проблемы, если растут и сдавливают важные структуры.

✅ Менингиомы обычно растут медленно, иногда в течение многих лет. Это означает, что симптомы могут развиваться постепенно и оставаться незамеченными длительное время.

✅ Менингиомы чаще встречаются у женщин. Это может быть связано с гормональными факторами, так как некоторые исследования указывают на связь между уровнем эстрогена и ростом опухоли.

✅ Связь с радиацией: воздействие ионизирующего излучения (например, при лучевой терапии, лучевых исследованиях) может увеличить риск развития менингиом, особенно если облучение происходило в детском возрасте.

✅ Симптомы зависят от локализации: например, опухоль в области зрительного нерва может вызывать проблемы со зрением, а в области лобной доли — изменения в поведении (психике) и т.д.

✅ Часто случайная находка: многие менингиомы обнаруживаются случайно, например, при проведении МРТ или КТ по другому поводу, так как они могут вообще не вызывать симптомов.

✅ Лечение часто не требуется: если менингиома небольшая и не вызывает симптомов, часто выбирается тактика наблюдения, а не хирургического удаления лечения. Хирургическое удаление или лучевая терапия применяются, если опухоль растет / находится в опасном месте и вызывает проблемы.

✅ Редкие злокачественные формы: Около 1-3% менингиом являются злокачественными (атипичными или анапластическими). Они растут быстрее и могут рецидивировать после лечения.

✅ Генетические факторы: У людей с нейрофиброматозом типа 2 (редкое генетическое заболевание) риск развития менингиомы выше.

✅ Хороший прогноз: При своевременном лечении прогноз для пациентов с доброкачественными менингиомами обычно благоприятный, особенно если опухоль удалена полностью.

Если у вас есть подозрения на менингиому или другие проблемы со здоровьем, обратиться к врачу для диагностики и лечения.

Автор: Кокунин Алексей Олегович \ врач МРТ, КТ, рентгенолог \ Высшая категория \ Член Европейского общества радиологов (ESR)

Подписывайтесь на телеграм - канал, там будет в т.ч. материал, которого не будет на Дзен:

Pro.Diagnosi | Занимательная диагностика

Читать ещё:

Клинический случай: "Рак, которого могло не быть"
Занимательная диагностика | Pro.Diagnosi5 мая 2024

Наука
7 млн интересуются