Добавить в корзинуПозвонить
Найти в Дзене

Как люди губят свой мозг (и себя)

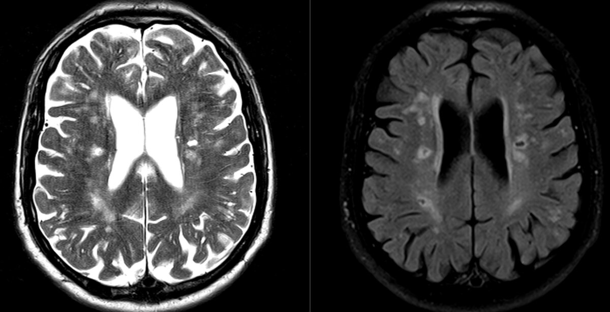
"Этот парень был из тех, кто просто любит жизнь..." (с) *** Мужчина 65 лет (только выходит на пенсию), обратился к нам для проведения МРТ. Перед исследованием, как обычно, спрашиваем что беспокоит. "Было уже несколько инсультов. Сейчас голова совсем не соображает и память плохая" - жалуется пациент. На МРТ мозга видим печальную картину: уменьшение объёма мозга (атрофия), множественные очаговые изменения, в т.ч. есть много "дырок", как в сыре: Эти "пробоины" - лакунарные кисты после множественных инсультов (они возникают, когда прекращается кровоток в мелких сосудах из-за бляшек и тромбов). Как с досадой в таких случаях говорит мой коллега, "очередная трухлявая голова". С первого взгляда на МРТ нам понятно, что у человека серьёзные проблемы с сосудами. Сам по себе мозг к 60 так сильно "испортиться" не может, ему надо "помочь". Если в возрасте 20 лет все мозги плюс-минус выглядят одинаково (спойлер - у 99% нормально), то посмотрев на МРТ мозга 60-летнего человека, опытным глазом можн
Оглавление

"Этот парень был из тех, кто просто любит жизнь..." (с)

***

Мужчина 65 лет (только выходит на пенсию), обратился к нам для проведения МРТ. Перед исследованием, как обычно, спрашиваем что беспокоит.

"Было уже несколько инсультов. Сейчас голова совсем не соображает и память плохая" - жалуется пациент.

На МРТ мозга видим печальную картину: уменьшение объёма мозга (атрофия), множественные очаговые изменения, в т.ч. есть много "дырок", как в сыре:

Эти "пробоины" - лакунарные кисты после множественных инсультов (они возникают, когда прекращается кровоток в мелких сосудах из-за бляшек и тромбов).

Как с досадой в таких случаях говорит мой коллега, "очередная трухлявая голова".

С первого взгляда на МРТ нам понятно, что у человека серьёзные проблемы с сосудами. Сам по себе мозг к 60 так сильно "испортиться" не может, ему надо "помочь".

Если в возрасте 20 лет все мозги плюс-минус выглядят одинаково (спойлер - у 99% нормально), то посмотрев на МРТ мозга 60-летнего человека, опытным глазом можно почти как гадалка проследить линию жизни, примерно понять как жил человек, как он заботился о себе и что его может ждать впереди.

Многое определяется генетикой ("на роду написано") и мы не в силах повлиять на это. Однако, образ жизни оказывает огромное влияние на уровень здоровья (сравнимое с генетикой).

Ниже перечислены факторы которыми люди сами усугубляют свои проблемы, сокращая (и без того короткую) жизнь.

Итак, как стать овощем повредить свой мозг аккурат к началу пенсионного возраста или вообще не дожить до пенсии?

Делюсь "рецептом":

1. Курить (сигареты / кальян - без разницы)

Пожалуй, самая идиотская привычка.

Можно ещё понять когда лет 50 назад многие курили (даже в самолётах разрешалось!), в фильмах актёры постоянно курили, в т.ч. благодаря работе табачного лобби. Обыватели попросту не понимали с какой отравой имеют дело.

Но сейчас мы имеем тысячи качественных доказательств уничтожающего действия сигарет. С курением связаны ранние инфаркты, инсульты, онко-заболевания, от рака языка, гортани до рака желудка, лёгких, поджелудочной железы, молочной железы, яичников, мочевого пузыря и др.

-2

На каждый сигарете пишут: курение - убивает! Это чистая правда! Мы это видим каждый день на наших пациентах!

-3

Конечно, человека жалко, но это когда в 60 лет у курильщика возникает рак лёгкого, горла и пр. это НОРМАЛЬНО! абсолютно ожидаемое событие!

Равно как НОРМАЛЬНО курильщику получить ранний инфаркт, аневризму аорты и пр. Вам это подтвердит любой кардиолог! Кто-то из курильщиков получает инфаркт даже до 50 лет! Почему же люди, как наивные дети, удивляются, что внезапно человек умирает в возрасте 50-60, если он убивал себя курил 20-30 лет до этого?

Отсутствие инфаркта/инсульта/рака/деменции (слабоумия) к пенсии у многолетнего курильщика - наоборот, редкое исключение (да да, это та самая знакомая знакомых, про которую говорят, но мало кто видел), значит у человека отличная генетика.

Кстати, среднем за 30 лет человек выкуривает сигарет на сумму эквивалентную текущим 3 млн рублей (умножаем х2 если в семье курят двое). Как думаете, наверное, есть более хорошие способы потратить это состояние?

2. Употреблять алкоголь и прочие наркотики

Это не опечатка, алкоголь внесён в перечень наркотиков с 1975г.

2,3 миллиона смертей ежегодно, или 3,8% всех смертей в мире, связаны с употреблением алкоголя, из которых более половины приходятся на связанные с алкоголем рак и сердечно-сосудистые заболевания.

Еще недавно ходил миф, что небольшие дозы алкоголя могут быть безвредны, чуть ли не полезны (все эти истории про французов, которые пропускают бокал за ужином).

Времена меняются, данные накапливаются. Теперь мы знаем, что безвредных доз - нет! Это не более чем миф, любой грамотный кардиолог это подтвердит. Недавно было опубликовано масштабное исследование (на десятках тысяч людей оценены показатели здоровья на протяжении многих лет, посчитаны онко-, сердечно-сосудистые и др. заболевания. Было сравнение с контрольной группой, которая не употребляла алкоголь).

Не пишите про Васю, который всю жизнь пил до потери сознания и умудрился дожить до пенсии. Это называется ошибка выжившего (англ. survivorship bias).
Ещё многие вспоминают бедного Черчилля, который "пил и курил" но умудрился дожить до старости (развалиной).
Статистика - вещь упрямая! Большинство не доживают или к пенсии становятся глубокими инвалидами с деменцией (слабоумием).
-4

Поэтому, давайте не будем больше нести бред про фужер красного или стопку коньячка "для сосудов" - это моветон.

Этанол, а точнее даже не он сам, а то, во что он превращается в организме, ацетальдегид - это сильный ЯД.

Алкогольное опьянение - это отравление. Именно поэтому вы чувствуете изменение сознания выпив алкоголь - нервные клетки плохо работают из-за отравления.

Кстати, с позиции современной наркологии, имеющим пристрастие к алкоголю считается каждый человек, кто выпивает этанол (алкоголь) чаще 1 раза в 2 недели, независимо от дозы.

Мнение, что алкоголь позволяет снять тоску - тоже миф. Он лишь позволяет на очень короткое время (пара часов) забыться. На самом же деле, алкоголь относят к группе депрессантов: он повышает стресс, депрессию и тревожность через несколько часов после приёма. Вспомните свои ощущения на следующий день после: эмоции намного хуже, чем были до; самочувствие паршивое.

Пить алкоголь или нет - личное дело каждого. Просто нужно адекватно понимать / принимать риски и называть вещи своими именами.

Есть ли безопасная доза?

Есть. Но безопасная не = безвредная! (также как с радиацией, кстати). Безопасную дозу организм сможет относительно быстро обезвредить. Скажем, 10-30 грамм этанола (это индивидуально).

Полезнее ли совсем не пить алкоголь?

Однозначно - ДА!

Единственный "плюс" алкоголя - при опьянении он раскрепощает, упрощает общение (если человек застенчивый). Как метко сказал один мой коллега, когда пьёшь алкоголь, ты получаешь "социальную смазку", но по очень плохому курсу (имея ввиду вред).

Про другие наркотики наверное не будем, тут и так всем всё ясно.

Совет: не дарите врачам алкоголь. Многие коллеги расстраиваются от таких "подарков". Однажды был свидетелем, как коллега хирург получив очередную (сотую?) подаренную бутылку, в коридоре больницы грустно спросил пациента: "По-вашему, я похож на алкоголика?".
Если Вам очень хочется поблагодарить медика, есть альтернатива: подарочный сертификат на что-либо, тех же интернет-магазинов.

3. Иметь избыточный вес

Метаболический синдром (ожирение) - поражает все органы и системы, с ним связаны сотни заболеваний, от разрушения суставов до онкологии и ранней деменции (слабоумия), опять же из-за преждевременного поражения сосудов атеросклеротическими бляшками. Примерно так же пагубно, как и курение.

-5
"Широкая кость" или жир? Заглянем внутрь!
Занимательная диагностика | Pro.Diagnosi18 июля 2022

4. Мало двигаться

Движение - жизнь! Оно заставляет кровь быстрее двигаться по сосудам, ткани получают больше питания, организм оздоравливается.

Малоподвижный образ жизни (гиподинамия) работает в обратном направлении. Это одна из главных проблем нашей цивилизации.

-6

5. Мало / нерегулярно спать

Сон - мощное "лекарство". Он восстанавливает работу всех систем, в т.ч. сердечно-сосудистой: сердце отдыхает, замедляясь до 40-50 уд/мин; сосуды расслабляются; давление снижается; клетки обновляются. В т.ч. клетки мозга избавляются от метаболитов, накопленных за день.

И еще важное преимущество сна - пока человек спит он НЕ ЕСТ! (см. п.2)

-7

6. Не следить за давлением

Гипертония подкрадывается незаметно. Вопреки распространённому мифу, от высокого давления (выше 130 мм.рт.ст.) голова чаще всего не болит. Повышенное давление поражает все сосуды, т.к. их стенка получает микротравмы, ускоряется рост атеросклеротических бляшек которые могут однажды разорваться и возникнет тромб.

-8

Гипертония это не только удел толстых и старых. Она нередко встречается и у молодых, до 40. Часто это бывает у тех, кто мало двигается (т.к. при движении выделяются собственные вещества, например оксид азота, которые снижают давление). Если в среднем вы делаете меньше 8-10 тыс. шагов (≈ 50-60 минут бодрым шагом в ежедневно) - вы в группе риска!

7. Иметь высокий уровень сахара в крови

Сахар - белый яд. В норме, если не злоупотреблять, здоровый организм его быстро метаболизирует. Если же функция поджелудочной железы нарушена и сахар в крови остаётся постоянно высоким, это за несколько лет может превратить человека в развалину. Стенки сосудов повреждаются, забиваются бляшками. В запущенных случаях человек быстро слепнет, буквально гниёт заживо, иногда приходится ампутировать конечности, т.к. кровь перестаёт течь по мелким сосудам.

-9

Самое опасное, что зачастую люди не знают, что у них есть проблемы с сахаром, это до поры до времени никак не ощущается. Это опасное состояние называется преддиабет.

Именно поэтому в диспансеризацию входит проверка уровня сахара натощак. Также информативный анализ крови - уровень гликированного гемоглобина. Актуально для людей с сах. диабетом, избыточным весом (метаболическим синдромом), а также всех людей в возрасте 45+ в т.ч. с нормальным весом (с возрастом функция поджелудочной железы снижается).

Подробности узнайте у своего врача (терапевта и/или эндокринолога).

8. Избыточный стресс, несобюдение баланса работа - отдых

Если в молодости организм позволяет работать почти без перерыва, то с возрастом такое насилие над собой чревато всяческими последствиями: повышением уровня стресса, застойными изменениями в тазу (при сидячей работе), повышением давления (см. п.6) и так далее. Всё это, конечно, отражается и на мозге.

Чтобы хорошо работать нужно делать паузы!

-10

ВЫВОДЫ: здоровье мозга определяется здоровьем вашей сердечно-сосудистой системы, в первую очередь. Поэтому когда мы видим на МРТ признаки сосудистых проблем в мозге, всегда рекомендуем консультацию кардиолога (помимо невролога). Это звенья одной цепи.

Средняя продолжительность жизни и в нашей стране, и в большинстве стран мира продолжает постепенно расти, хотя темп роста замедлился, потолок уже виден. Для человеческого тела биологический предел в среднем около 90-100 лет (некоторые люди с идеальной генетикой могут доживать и до 120, но при условии здорового образа жизни! (травмы и др. обстоятельства мы в расчет не берем).

Отсутствие вредных привычек не только продлевает жизнь ≈ 20-30% в среднем, но и позволяет сохранить до глубокой старости активность, оптимизм и ясность ума! Риски ранней деменции (слабоумия) снижаются в разы!

Конечно, важным фактором является ещё и экология: качество воздуха, воды и пр. Я, например, во многом из-за этого отказался от жизни в городе-миллионнике, предпочтя жизнь в пригороде. Такая возможность есть у большинства, но не у всех. Помимо экологии, в малых городах есть и другие плюсы.

_________________________

Как там говорят дураки "кто не курит и не пьёт тот здоровеньким помрет?".

Ну да, ну да... забывают добавить, что лет на 20 позже и с совершенно иным качеством жизни.

Для тех, кто в танке: отсутствие вышеперечисленных факторов - не гарантия, что у Вас не будет инсульта / инфаркта и пр. до 60 лет. Как было сказано выше, генетика тоже играет большую роль! Но всё же шансы дожить здоровым до глубокой старости в разы повышаются (например, при отказе от курения в 10 раз снижается вероятность получить рак лёгкого - статистика!).

К старости какие-то болезни нас всё равно настигнут, на этот счёт можно не беспокоиться! Но мы в силах существенно отсрочить их наступление.

Выбор каждый делает сам: стать трухлявым дураком к 60 или попробовать дотянуть в бодром состоянии хотя бы до 80.

Первые пойдут на балкон и закурят. Вторые пойдут прогуляются по парку, а сэкономленные на куреве и алкоголе 80 тыс. в год потратят, например, на путешествия.

-11
Да, любители этанола, дыма и прочие наркоманы - понимаю вашу боль и желание оправдать свои пороки. Но, пожалуйста, не пишите глупых комментариев. Отпишитесь и ступайте с миром! Нам с вами не по пути.

Самое главное для чего всё это нужно - КАЧЕСТВО ЖИЗНИ: чувствовать ясность ума, иметь хорошее настроение без допинга, ощущать себя живым и здоровым, что у тебя ничего не болит, а голова хорошо соображает!

Есть ли способы снизить стресс без ядов?

Есть, множество!

Прогуляйтесь по лесу, подышите с закрытыми глазами спокойно 5 минут, и т.д. Ваше состояние улучшится с первой попытки. Причем всё это - бесплатно!!!

Здоровых людей, которые отказываются от алкоголя и пр. наркотиков становится всё больше.

Кстати, если Вам любопытно проверить состояние своего мозга - можете пройти МРТ-исследование, это безвредно!

Желаю всем добра и активного долголетия!

-12
Автор: Кокунин Алексей Олегович \ врач МРТ, КТ, рентгенолог \ Высшая категория \ Член Европейского общества радиологов (ESR)

Интересный клинический случай, связанный с алкоголем:

Читать ещё:

Клинический случай: "Рак, которого могло не быть"
Занимательная диагностика | Pro.Diagnosi5 мая 2024