Добавить в корзинуПозвонить
Найти в Дзене

Как отличить фиброзно-кистозную мастопатию от рака молочной железы?

Ни фиброз, ни простые кисты не повышают риск развития рака молочной железы в будущем – это доказанный факт. Тем не менее, существует небольшая вероятность развития злокачественной опухоли в атипичных кистах и сложных кистозно-фиброзных массах, особенно в том случае, если по результатам биопсии были получены столбики ткани или клетки с признаками атипии. Атипичная киста помимо жидкости содержит в себе различные тканевые структуры (полиповидные образования, утолщение стенок, перетяжки). Простая киста - она потому и простая, что кроме жидкости ничего в себе не содержит. Проблема фиброзно-кистозной мастопатии и рака молочной железы не в том, что рак может быть следствием мастопатии, а в том, что изменения в молочной железе, вызванные мастопатией, могут какое-то время маскировать злокачественную опухоль, что чревато выявлением рака на более поздней стадии с менее благоприятным прогнозом для пациента. Несмотря на то, что фиброзно-кистозная мастопатия (также её называют доброкачественной дисп
Оглавление
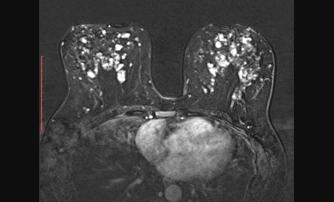
Многочисленные кисты обеих молочных желез.
Многочисленные кисты обеих молочных желез.

Ни фиброз, ни простые кисты не повышают риск развития рака молочной железы в будущем – это доказанный факт.

Тем не менее, существует небольшая вероятность развития злокачественной опухоли в атипичных кистах и сложных кистозно-фиброзных массах, особенно в том случае, если по результатам биопсии были получены столбики ткани или клетки с признаками атипии. Атипичная киста помимо жидкости содержит в себе различные тканевые структуры (полиповидные образования, утолщение стенок, перетяжки). Простая киста - она потому и простая, что кроме жидкости ничего в себе не содержит.

Проблема фиброзно-кистозной мастопатии и рака молочной железы не в том, что рак может быть следствием мастопатии, а в том, что изменения в молочной железе, вызванные мастопатией, могут какое-то время маскировать злокачественную опухоль, что чревато выявлением рака на более поздней стадии с менее благоприятным прогнозом для пациента.

Несмотря на то, что фиброзно-кистозная мастопатия (также её называют доброкачественной дисплазией или фиброзно-кистозной болезнью) и рак молочной железы являются совершенно различными заболеваниями как по своей природе, так и по последствиям для здоровья пациента, они имеют некоторые схожие симптомы.

Определенная схожесть клинических проявлений рождает опасность того, что женщина, привыкшая к проявлениям фиброзно-кистозной мастопатии, просто не придаст значения появлению ещё одного уплотнения в молочной железе. В жизни такое, увы, периодически случается.

Да и врачу на первичном приеме найти опухоль небольших размеров при пальпации молочной железы у пациентки с выраженным фиброзом заметно сложнее. При этом вероятность диагностических погрешностей, к примеру, маммографии в процессе исследования молочных желез с фиброзом, также заметно выше, ведь плотная фиброзная ткань может скрывать в своей толще плотную опухолевую ткань – в таких условиях выявить злокачественную опухоль сложнее.

Клинические проявления

-2

Одним из основных симптомов фиброзно-кистозной мастопатии и рака молочной железы являются уплотнения, но между ними есть несколько явных различий:

Боль. Один из способов определить, является ли уплотнение фиброзно-кистозным изменением или раком, — это оценить его болезненность. В этом контексте боль является благоприятным признаком. Фиброзно-кистозные изменения быстро увеличиваются (особенно перед началом очередного цикла), давя на ткани и вызывая боль. Напротив, более 90% злокачественных опухолей молочной железы на начальных стадиях не вызывают боли.

Цикличность. Фиброзно-кистозные уплотнения появляются, изменяются в размере (становятся больше или меньше) или вызывают более сильную боль непосредственно перед началом очередного цикла. Злокачественная опухоль, если она появилась, практически всегда постоянно увеличивается в размерах. Скорость роста опухолевого узла определяется скоростью деления опухолевых клеток – это индивидуальный показатель.

Какие симптомы рака молочной железы никогда не встречаются при мастопатии?

- появление безболезненного твердого уплотнения под мышкой;

- сморщивание или образование ямочек на коже, деформация контуров молочной железы;

- изменения соска, например, появление втянутости соска внутрь;

- изъязвление кожи молочной железы;

- появление красноватых безболезненных уплотнений на коже молочной железы.

Полезные советы:

При появлении в молочной железе любого нового уплотнения, которое на протяжении нескольких недель увеличивается в размерах, и это увеличение не имеет связи с циклом, необходимо обязательно обратится к врачу.

Регулярное ежемесячное самообследование молочных желез помогает запомнить обычную текстуру и плотность молочных желез, что заметно облегчит обнаружение даже небольших изменений.

Если по результатам маммографии выявлена высокая плотность молочных желез, а само исследование не ответило на поставленные перед ним задачи, имеет смысл подумать о другом дополнительном исследовании, таком как УЗИ или МРТ. Плотность ткани молочных желез оценивают по шкале ACR. Значение «C» или «D» соответствуют высокой плотности молочных желез.

Примеры различной плотности молочных желез от самой низкой "А" слева до самой высокой "D" справа.
Примеры различной плотности молочных желез от самой низкой "А" слева до самой высокой "D" справа.

При плотности D чувствительность маммографии снижается в два раза.

_____________________________________

Вячеслав Лисовой, врач-онколог. +7(915)050-85-81 (WhatsApp, Telegram)

Также Вам может быть интересно: