Добавить в корзинуПозвонить
Найти в Дзене

История пациента: профгигиена у девочки 12 лет

К нам на прием пришла 12-летняя девочка Маша. Как и многие подростки, она не всегда тщательно чистит зубы. Результат — много налета и воспаленные десны. Профгигиена была необходима в срочном порядке. Многие не знают, что профессиональную чистку можно и даже нужно проводить не только взрослым, но и детям и подросткам. Это важная процедура, которая помогает предотвратить развитие кариеса, болезни десен и другие проблемы с зубами, особенно в сменном прикусе, как у Маши. Первым делом мы провели диагностику, осмотрели зубы и десны пациентки. Десны выглядели воспаленными, покраснение и отек особенно заметны в области центральных резцов и клыков. Причина — налет. Его много, и он лежит плотным слоем, особенно на клыках. Зубы выглядят матовыми, шероховатыми, без естественного блеска. Очевидно, что Маша недостаточно тщательно их чистит. Когда десна опухает, она становится чувствительной и может кровоточить даже при обычной гигиене. Это вызывает боль и дискомфорт, из-за чего пациенты начинают изб
Оглавление

К нам на прием пришла 12-летняя девочка Маша. Как и многие подростки, она не всегда тщательно чистит зубы. Результат — много налета и воспаленные десны. Профгигиена была необходима в срочном порядке.

Многие не знают, что профессиональную чистку можно и даже нужно проводить не только взрослым, но и детям и подросткам. Это важная процедура, которая помогает предотвратить развитие кариеса, болезни десен и другие проблемы с зубами, особенно в сменном прикусе, как у Маши.

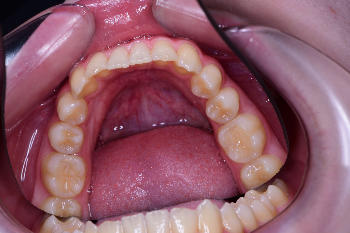
Клиническая картина

Первым делом мы провели диагностику, осмотрели зубы и десны пациентки. Десны выглядели воспаленными, покраснение и отек особенно заметны в области центральных резцов и клыков.

Машины десны выглядят массивными и воспаленными
Машины десны выглядят массивными и воспаленными

Причина — налет. Его много, и он лежит плотным слоем, особенно на клыках. Зубы выглядят матовыми, шероховатыми, без естественного блеска. Очевидно, что Маша недостаточно тщательно их чистит.

Чем опасна отечность десен?

Когда десна опухает, она становится чувствительной и может кровоточить даже при обычной гигиене. Это вызывает боль и дискомфорт, из-за чего пациенты начинают избегать тщательной очистки зубов в области десны, что лишь усугубляет ситуацию. Налет продолжает скапливаться в этих местах, и десна воспаляется еще сильнее, — это замкнутый круг.

Со временем, если не уделить должного внимания гигиене, воспаление десен может привести к пародонтологическим проблемам. Воспаленная десна начинает отдаляться от зуба, пытаясь защитить себя от микробного воздействия. Если не очистить налет вовремя, он начинает минерализоваться и превращается в зубной камень, который невозможно удалить без профессиональной чистки.

На более поздних стадиях воспаление может привести к атрофии десны. Она теряет свою защитную функцию, что открывает доступ к костной ткани. Скопившиеся на зубах микробы начинают разрушать костную ткань, что приводит к резорбции костной ткани. Таким образом можно потерять зубы.

На нижней челюсти уже прорезались седьмые зубы, хотя и не до конца. Зато первые моляры (шестые зубы) загерметизированы, а значит, защищены от кариеса.

На нижней челюсти практически полностью прорезались «семерки»
На нижней челюсти практически полностью прорезались «семерки»

На верхней челюсти седьмые зубы пока только начинают появляться: виден лишь один бугорок. Зато шестые зубы тоже загерметизированы, что радует. Верхние «пятерки» еще молочные.

Верхняя челюсть: «семерки» только начинают прорезываться, пятые зубы еще молочные
Верхняя челюсть: «семерки» только начинают прорезываться, пятые зубы еще молочные

Заметно, что клыки слегка приподняты над зубным рядом — это может быть поводом для установки брекет-системы в будущем. Но пока об этом думать еще рано, ведь не все постоянные зубы прорезались полностью.

Возможно, Маше потребуется ортодонтическое лечение
Возможно, Маше потребуется ортодонтическое лечение

Это интересно: как молочные зубы сменяются постоянными?

Смена молочных зубов на постоянные начинается примерно в 6 лет и длится до 12–14 лет. Молочные зубы выполняют роль «проводников» для постоянных зубов, помогая им занять правильное место в зубном ряду. Когда корни молочного зуба начинают рассасываться, его крепление ослабевает, и зуб выпадает, освобождая место для постоянного.

Это происходит примерно так:

  • 6–7 лет — выпадают передние резцы (те самые «зайкины» зубы).
  • 8–9 лет — очередь боковых резцов.
  • 9–12 лет — меняются клыки.
  • 10–13 лет — вместо молочных коренных зубов появляются постоянные премоляры.
  • 12–14 лет — прорезаются вторые моляры («семерки»).

К подростковому возрасту у ребенка уже 28 постоянных зубов. А вот зубы мудрости, если они решат появиться, прорежутся позже — ближе к 18 годам или даже позже.

Профессиональная гигиена

Маша — очень чувствительный и трепетный ребенок, с особенными потребностями. Мы старались учитывать ее особенности, чтобы она чувствовала себя как можно более комфортно. Например, ей сложнее, чем другим детям, воспринимать яркий свет и ориентироваться в пространстве. Из-за этого было важно не торопиться и уделить время на то, чтобы она спокойно открывала рот и привыкала к манипуляциям. Мы старались делать все, чтобы процесс был максимально мягким и не вызывал у нее дискомфорта, поэтому чистка заняла больше времени, чем обычно, — около полутора часов.

Индикация налета

Нанесли на зубы Маши специальный раствор-индикатор, содержащий краситель, который временно окрашивает налет на зубах в яркие цвета. На зубах появились оттенки розового, синего и даже зеленого, каждый из которых имеет свое значение:

  • Розовый налет — самый свежий. Он образовался в течение последних 24–36 часов.
  • Синий налет — признак того, что в этих зонах зубы не чистили 2–3 дня.
  • Зеленый налет — застарелый. Такой слой может накапливаться больше недели, он уже создает угрозу для эмали.
Провели индикацию налета
Провели индикацию налета

В области моляров на нижней челюсти под синим налетом обнаружился даже зеленый.

Нижние «семерки» Маша чистила хуже всего
Нижние «семерки» Маша чистила хуже всего

На этом этапе мы сделали акцент на важности регулярной заботы о зубах. Ведь профессиональная чистка — это только начало. Важно чистить зубы дважды в день и не забывать о профилактических визитах к стоматологу хотя бы раз в полгода. Напомнили Маше, что зубную щетку нужно менять регулярно, а после чистки у врача это нужно сделать обязательно.

Чистка AirFlow

Провели Маше чистку AirFlow — это самый эффективный способ удаления биопленки (это слой микроорганизмов, находящихся на поверхности зубов). Использовали мелкоабразивный порошок с эритритолом (еще можно использовать порошок с глицином). Этот порошок мягко и бережно очистил зубы, удалил налет, пигментацию и слабоминерализованные отложения, которые еще не перешли в стадию плотного зубного камня. Параллельно с очищением заполировали зубы тем же порошком и провели флоссинг — очистили межзубные промежутки и боковые поверхности зубов с помощью специальной нити.

Ультразвук использовать не понадобилось: полноценного зубного камня у Маши не было.

Увидели заметный результат: зубы очистились от желтого налета и других загрязнений, поверхность стала гладкой.

Результат порадовал и нас, и Машу
Результат порадовал и нас, и Машу

После чистки сделали аппликацию реминерализирующего геля.

Рекомендации

Порекомендовали Маше заменить зубную щетку на новую средней жесткости. Мягкая щетка чаще всего не справляется с удалением налета, особенно в подростковом возрасте. Для уменьшения чувствительности зубов порекомендовали реминерализирующий гель Tooth Mousse: после вечерней чистки зубов нанести небольшое количество геля на палец и распределить его по поверхности зубов. Оставить на 2-3 минуты, затем можно сплюнуть. Повторять в течение 2-3 недель, а затем сделать перерыв на месяц. И посоветовали зубную пасту, подходящую для подростков: Elmex Junior или Apadent Junior.

Дальнейшее лечение

Через неделю после профгигиены Маша пришла на процедуру герметизации фиссур зубов 4.7 и 3.7. Герметизация фиссур — это процедура, при которой на жевательные зубы наносится специальный материал, запечатывающий глубокие бороздки и ямки на поверхности зубов (фиссуры). В фиссурах скапливаются остатки пищи и налет, что способствует образованию кариеса. Герметик помогает предотвратить попадание бактерий в эти зоны, создавая защитную оболочку и снижая риск заболеваний зубов. Эта процедура особенно важна для детей и подростков, когда зубы еще развиваются и чувствительны к воздействию внешних факторов.

Кроме того, в рамках дальнейшего лечения Маша была направлена к ортодонту. В ближайшем будущем, как только прорежутся нижние семерки, возможно, ей установят брекеты.

Лечащий врач

  • Каракетова Софья Максимовна. Специалист по профессиональной гигиене полости рта, включая удаление налета и минерализованных отложений. Первичный осмотр. Проведение профессиональной гигиены. Реминерализирующая терапия. Герметизация фиссур на 3.7 и 4.7

🏥 Клиника реконструктивной стоматологии

Задать вопрос ✍️ WhatsApp

Позвонить 📞 +7 (495) 989-57-49

Мы рядом 🏥 Москва, Ленинский проспект, 105к1

Читайте также:

Смотрите также: