Добавить в корзинуПозвонить
Найти в Дзене

История лечения: реставрация 4 передних зубов после лечения на брекетах БЕЗ ВИНИРОВ

Светлана мечтала о красивых ровных зубах с юных лет. Хотелось покорять сердца мужчин не только интеллектом, но и лучезарной улыбкой! Всегда что-то отвлекало: сначала нехватка времени, потом финансовая ситуация. Но пару лет назад она сделала шаг к своей мечте – занялась исправлением прикуса на брекет-системе в нашей клинике. Получив долгожданный результат, поняла, что ей для полного счастья не хватает крупных зубов. Именно так она сформулировала свой запрос нашему доктору — Антону Вадимовичу Иванову. «Хочу крупные зубы, но виниры ставить не буду!» — твердо заявила хрупкая девушка администраторам «Клиники реконструктивной стоматологии» и записалась на прием к стоматологу-терапевту. На консультации Светлана обрадовалась: ее пожелание легко осуществить при помощи композитных художественных реставраций с акцентом на эстетику и восстановление зубов. Антон Вадимович Иванов внимательно выслушал пациентку. Предложил добавить немного объема центральным резцам и слегка удлинить боковые для созда
Оглавление

Светлана мечтала о красивых ровных зубах с юных лет. Хотелось покорять сердца мужчин не только интеллектом, но и лучезарной улыбкой! Всегда что-то отвлекало: сначала нехватка времени, потом финансовая ситуация. Но пару лет назад она сделала шаг к своей мечте – занялась исправлением прикуса на брекет-системе в нашей клинике.

Получив долгожданный результат, поняла, что ей для полного счастья не хватает крупных зубов. Именно так она сформулировала свой запрос нашему доктору — Антону Вадимовичу Иванову.

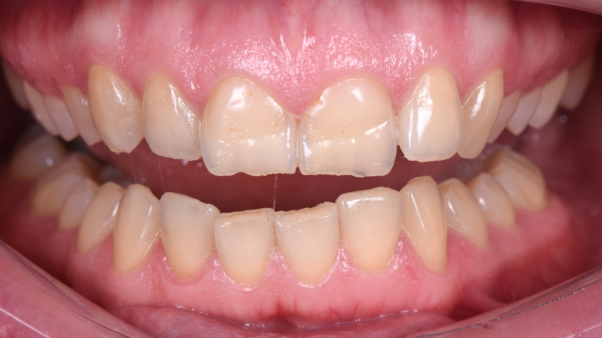
Исходная ситуация

Исходная ситуация до ортодонтического лечения и художественных реставраций
Исходная ситуация до ортодонтического лечения и художественных реставраций

«Хочу крупные зубы, но виниры ставить не буду!» — твердо заявила хрупкая девушка администраторам «Клиники реконструктивной стоматологии» и записалась на прием к стоматологу-терапевту. На консультации Светлана обрадовалась: ее пожелание легко осуществить при помощи композитных художественных реставраций с акцентом на эстетику и восстановление зубов.

Антон Вадимович Иванов внимательно выслушал пациентку. Предложил добавить немного объема центральным резцам и слегка удлинить боковые для создания гармоничной улыбки, которая бы не напоминала «жевательные подушечки Орбит». Ведь зачастую крупные зубы визуально воспринимаются именно так.

Художественная реставрация зубов – эстетическая стоматологическая манипуляция для восстановления анатомической формы зуба с использованием фотополимеров или композитных материалов. Метод позволяет исправить эстетику зубного ряда, скрыть трещины эмали, сколы и восстановить коронковую часть зуба

Шаг № 1. Консультация и сбор анамнеза

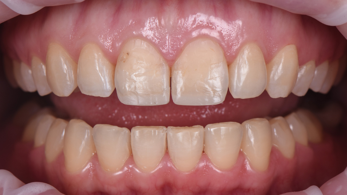
Ситуация в полости рта после ортодонтического лечения с временными художественными реставрациями на центральных резцах
Ситуация в полости рта после ортодонтического лечения с временными художественными реставрациями на центральных резцах
  • У Светланы уже был сформирован гармоничный прикус. Девушка завершила двухлетнее лечение на брекет-системе у нашего стоматолога-ортодонта Игоря Олеговича Ли
  • Благодаря ортодонтическому лечению зубной ряд выровнялся. У зубов появилась необходимая высота для последующей художественной реставрации
  • Старые объемные композитные пломбы на центральных резцах 1.1 и 2.1. износились и эстетически портили внешний вид улыбки
  • Режущий край зубов 2.2 и 1.2. был временно восстановлен композитными реставрациями на период ортодонтического лечения
  • Наличие десневой улыбки
  • У девушки наблюдалась стираемость режущих краёв и сколы режущего края из-за глубокого прикуса в прошлом. Выдвинутые резцы стирались во время движения при закрывании рта. Об этом свидетельствуют сколотые края прозрачной эмали
  • В пришеечной области начали образовываться клиновидные дефекты, которые ранее были перекрыты композитными пломбами
  • На центральном резце присутствовал пигментированный дефект

Шаг № 2. Выбор формы будущих зубов

  • Зубы Светланы были достаточно длинными. Увеличивать длину не пришлось.
  • Светлана настаивала на крупной и квадратной форме зубов.
  • С дефектами были только центральные резцы. Врач предложил для начала изменить форму зубов 1.2 и 1.1 для эстетически аккуратной и привлекательной улыбки.

Уже через неделю девушка вернулась, чтобы изменить еще и форму боковых резцов под номерами 2.2. и 1.2 🤭

Анатомическая форма крупных квадратных и угловатых зубов обычно свойственна мужчинам. У женщин они более округлые и сглаженные. Однако научного обоснования типичных форм зубов для мужской и женской улыбок не существует
-3

Первый этап лечения

Снятие старых пломб на центральных зубах 1.1. и 2.1

Под пломбами вторичный кариес не обнаружен. Дополнительное лечение не потребовалось

Далее — выбор метода художественной реставрации: она бывает прямая и непрямая. В первом случае послойно воссоздается утраченная часть зуба с помощью композитных материалов. Во втором случае используются дополнительные конструкции — вкладки, коронки, виниры. Светлане подошел бы метод как прямой, так и непрямой реставраций. Но, учитывая пожелание пациента и клиническую картину в полости рта, выбор был сделан в пользу прямых реставраций

Для восстановления дентинного слоя использовался композитный материал Estelite Asteria Syringe (оттенок A2B). Он предназначен для использования на передних и боковых зубах, требующих минимального препарирования или отсутствия препарирования вовсе. Покрывает весь край эмали за исключением режущего края

Для восстановления прозрачности режущего края использовался светоотвержаемый, рентгеноконтрастный композиционный материал Estelite Asteria (NE)

-4

Процедура длилась около часа. Светлана стала счастливой обладательницей центральных зубов своей мечты. Но ненадолго. Через неделю она вновь вернулась в кабинет доктора Иванова. Согласилась с эстетическим видением врача, и решила добавить художественные реставрации на соседние зубы под номером 2.2 и 1.2.

Второй этап лечения

Добавили объем и немного удлинили зубы 2.2. и 1.2. для создания гармоничной улыбки. Один зуб был немного стерт, второй — скруглен

Использовали светоотверждаемый рентгеноконтрастный композитный материал Estelite Asteria для достижения желаемого результата нескольких оттенков в несколько слоев

Результат

Художественная реставрация зубов длилась примерно 60 минут.

  • Крупные зубы гармонично сочетаются с тонкими чертами лица девушки. За счет их объема удалось визуально перекрыть эффект от десневой улыбки.
  • Девушка отметила, что стала больше улыбаться и быть коммуникабельной после завершения лечения.
  • Улучшилось качество жизни: утверждает, что стала более жизнерадостной.

Теперь Светлана абсолютно довольна своей улыбкой 🥰

🏥 Клиника реконструктивной стоматологии

Задать вопрос ✍️ WhatsApp

Позвонить 📞 +7 (495) 989-57-49

Мы рядом 🏥 Москва, Ленинский проспект, 105к1

📚 Читайте также

👀 Смотрите также