Добавить в корзинуПозвонить
Найти в Дзене

Туберкулёз среди нас!

Молодой мужчина 32 лет обратился с жалобами на слабость, длительный кашель и невысокую температуру. На КТ выявлен двухсторонний воспалительный процесс в лёгких, преимущественно в верхних долях, полость распада в нижней доле левого лёгкого. Налицо типичная картина запущенного туберкулёза. 🔹Возбудитель: Mycobacterium tuberculosis (палочка Коха). Она может поражать почти любые органы и ткани человеческого тела. 🔹Передаётся: воздушно-капельным путём (при кашле, чихании, разговоре). 🔹Заразиться можно в местах скопления людей, при тесном контакте с больным. 🔹Диагностика: 🔸Туберкулиновая проба (Манту) – скрининг у детей. 🔸Диаскинтест – более точный аналог Манту. 🔸Флюорография/рентген/КТ лёгких – для взрослых (наиболее точный метод - КТ). 🔸Анализ мокроты (микроскопия, ПЦР, посев). 🔸Квантифероновый тест (анализ крови). 🔹Туберкулёз - смертельное заболевание. Ежегодно в мире от него умирает ≈ 1,4 млн человек. 🔹В 2023 г. в мире заболело ≈ 1,3 млн детей и подростков. 🔹Очень сложно понят

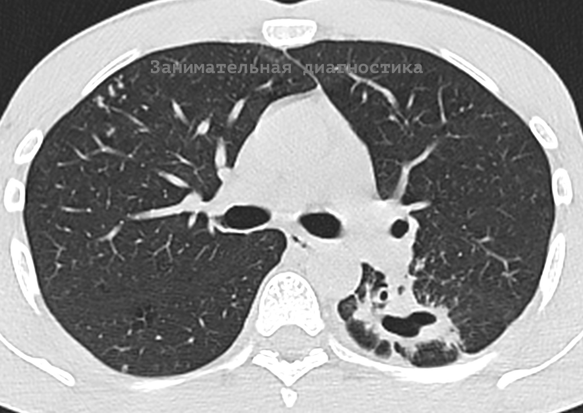
Молодой мужчина 32 лет обратился с жалобами на слабость, длительный кашель и невысокую температуру.

На КТ выявлен двухсторонний воспалительный процесс в лёгких, преимущественно в верхних долях, полость распада в нижней доле левого лёгкого.

-2

Налицо типичная картина запущенного туберкулёза.

🔹Возбудитель: Mycobacterium tuberculosis (палочка Коха). Она может поражать почти любые органы и ткани человеческого тела.

🔹Передаётся: воздушно-капельным путём (при кашле, чихании, разговоре).

🔹Заразиться можно в местах скопления людей, при тесном контакте с больным.

🔹Диагностика:

🔸Туберкулиновая проба (Манту) – скрининг у детей.

🔸Диаскинтест – более точный аналог Манту.

🔸Флюорография/рентген/КТ лёгких – для взрослых (наиболее точный метод - КТ).

🔸Анализ мокроты (микроскопия, ПЦР, посев).

🔸Квантифероновый тест (анализ крови).

🔹Туберкулёз - смертельное заболевание. Ежегодно в мире от него умирает ≈ 1,4 млн человек.

🔹В 2023 г. в мире заболело ≈ 1,3 млн детей и подростков.

🔹Очень сложно понять, что у человека есть туберкулёз по внешним признакам. Он распространён повсеместно. Пациенты могут быть больны длительное время и не знать об этом.

🔹Каждый третий житель земли является носителем - возбудитель есть, но иммунитет не даёт ему распространяться (от массового заболевания спасают прививки).

🔹Известные люди, умершие от туберкулёза: Антон Чехов (в 44 года), Фредерик Шопен (в 39 лет), Наполеон II (в 21 год), Виссарион Белинский (в 34 года), Франц Кафка (в 40 лет), Илья Ильф (в 39 лет), Борис Кустодиев (в 49 лет), Вивьен Ли (в 53 года), Василий Перов (в 48 лет) и многие другие.

🔹Туберкулёз - ведущая причина смерти пациентов с ВИЧ - инфекцией.

🔹В настоящее время, если у пациента подозревают туберкулез - пациентов проверяют в т.ч. на ВИЧ. Когда есть иммунодефицит - болезнь активизируется (человек длительное время мог быть просто носителем, без активного заболевания, до тех пор, пока иммунитет не снизился достаточно сильно).

🔹Главное спасение от туберкулёза - прививка БЦЖ (делают новорождённым и затем повторяют в 7-14 лет, это почти гарантировано спасает от тяжелых форм болезни).

🔹Сейчас туберкулёз в большинстве случаев излечим, но требует длительного лечения и строгого соблюдения рекомендаций врачей. При ранней диагностике и правильном лечении прогноз благоприятный.

🔹Около 79 млн жизней ежегодно удаётся спасти благодаря своевременным профилактике, диагностике и лечению.

24 марта - всемирный день борьбы с туберкулёзом.

Автор: Кокунин Алексей Олегович \ врач МРТ, КТ, рентгенолог \ Высшая категория \ Член Европейского общества радиологов (ESR)

Ссылка на мой телеграм-канал (там будет в т.ч. материал, которого не будет на Дзене):

Занимательная диагностика | Pro.Diagnosi

Читать ещё:

Клинический случай: "Рак, которого могло не быть"
Занимательная диагностика | Pro.Diagnosi5 мая 2024