Добавить в корзинуПозвонить
Найти в Дзене
Биомолекула

Раскраски для взрослых, или зачем метить иммунные клетки рядом с опухолями

Методы, которыми пользуются клеточная биология и гистология для визуализации белков в тканях, постоянно совершенствуются, и на сегодняшний день позволяют увидеть локализацию более ста маркеров одновременно. Это помогает решать интересные задачи, в первую очередь, в онкологии, «наблюдая» за опухолевыми клетками в естественной среде обитания. Все знают, что тело человека состоит из тканей, а ткани — из клеток. Именно их характеристики, в основном, и определяют ее функциональность. Однако любая ткань — это не просто набор разных клеток, а сложно структурированная система, в которой, порой, важную роль играет не только то, кто именно ее составляет, но и как и с кем взаимодействует. Особенно хорошо это видно, если посмотреть на опухоль. Опухоль — это тоже ткань, которая вырастает в не предназначенном ей месте, тесня соседей. Ее клетки в результате мутаций приобретают способность неограниченно делиться, и также расползаться по организму, прорастая в соседнюю ткань и путешествуя в отдаленные
Аденокарцинома легких при многоцветном окрашивании. Изображение получено с помощью имиджинговой системы MACSima компании Miltenyi Biotec.
Аденокарцинома легких при многоцветном окрашивании. Изображение получено с помощью имиджинговой системы MACSima компании Miltenyi Biotec.

Методы, которыми пользуются клеточная биология и гистология для визуализации белков в тканях, постоянно совершенствуются, и на сегодняшний день позволяют увидеть локализацию более ста маркеров одновременно. Это помогает решать интересные задачи, в первую очередь, в онкологии, «наблюдая» за опухолевыми клетками в естественной среде обитания.

Все знают, что тело человека состоит из тканей, а ткани — из клеток. Именно их характеристики, в основном, и определяют ее функциональность. Однако любая ткань — это не просто набор разных клеток, а сложно структурированная система, в которой, порой, важную роль играет не только то, кто именно ее составляет, но и как и с кем взаимодействует. Особенно хорошо это видно, если посмотреть на опухоль.

Опухоль — это тоже ткань, которая вырастает в не предназначенном ей месте, тесня соседей. Ее клетки в результате мутаций приобретают способность неограниченно делиться, и также расползаться по организму, прорастая в соседнюю ткань и путешествуя в отдаленные органы, где они дают начало метастазам. Казалось бы, всё самое главное для роста и развития опухолей заложено непосредственно в самих клетках, но это не так. Для успешного роста опухолевым клеткам необходимо взаимодействовать и с внеклеточным матриксом, и с клетками нормальной ткани, и с иммунными клетками, причем нередко успешность роста напрямую зависит от этих контактов. Опухолевое микроокружение — совокупность клеток и молекул, ими производимых, — важнейшая составляющая успеха роста новообразования. Например, то, какие именно иммунные клетки соседствуют с опухолью, зачастую определяет ее агрессивность и стратегию лечения. «Опухолевые разговоры» могут происходить и более опосредованно, например, через экзосомы — маленькие пузырьки с разнообразным содержимым, которое диктует клетке, что ей делать.

Иммунные клетки — чрезвычайно важные игроки опухолевого микроокружения, поэтому их характеристика важна для понимания прогноза пациента и перспектив его лечения. Особенно в эпоху блокаторов иммунологических чекпоинтов, успешно применяющихся в онкологии. Если иммунных клеток в опухоли много и они готовы быть реактивированы для уничтожения опухолевых клеток, то такие препараты могут отлично сработать. Опухоли, которые вызывают сильный иммунный ответ, называются иммуногенными. К ним относятся, например, меланома, рак легких и рак почки.

Сколько маркеров нужно, чтобы распознать иммунные клетки?
Иммунные клетки чрезвычайно разнообразны, поэтому сказать: «Я вижу лимфоцит» — всё равно, что не сказать ничего. Множество субпопуляций внутри каждого вида клеток иммунитета выполняют нередко диаметрально противоположные действия в организме, поэтому важно понять, кто именно находится перед тобой. Фенотипирование иммунных клеток — сложная и многоступенчатая задача, и чтобы ее решить, нужен не один маркер-антиген, а много. Например, фенотипирование подтипов Т-лимфоцитов по вырабатываемым ими цитокинам требует регистрации около 30 антигенов, а Т-клеток памяти — почти 50. А это в 50 раз больше, чем может позволить стандартная ИГХ!

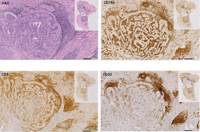
Самый простой способ их оценить — взять несколько срезов, сделанных последовательно, и "покрасить" каждый из них своим антителом. Так, как правило, и делается в рутинной клинической практике. Понять взаимное расположение маркеров на таких пошаговых срезах легко, но, конечно, с допущением: надо помнить, что срез имеет толщину в несколько микрометров, и каждый последующий, соответственно, проходит по другим, хоть и соседним, клеткам. На рисунке ниже — окрашивание пошаговых срезов лимфоидного фолликула на основные маркеры иммунных клеток. По ним можно увидеть характерное строение и взаимное расположение клеток.

Визуализация основных типов иммунных клеток в раке щитовидной железы. H&E — окрашивание гематоксилином-эозином; CD3 — Т-лимфоциты; CD79a — все B-клетки; CD20 — зрелые В-клетки.
Визуализация основных типов иммунных клеток в раке щитовидной железы. H&E — окрашивание гематоксилином-эозином; CD3 — Т-лимфоциты; CD79a — все B-клетки; CD20 — зрелые В-клетки.

А узнать больше о том, как прикрепляются маркеры и окрашиваются опухоли, вы можете здесь: https://bit.ly/3d8H9OL

Биология
8125 интересуются