Добавить в корзинуПозвонить
Найти в Дзене

Первые симптомы гингивита. Почему катаральный гингивит встречается чаще всего.

Почему вокруг зубов появляется красная каёмка? Наличие каёмки говорит от развитии гингивита. Гингивит – это воспалительный процесс в десне, вызванный неблагоприятными факторами местного и общего вида, протекающие без нарушения целостности зубодесневого прикрепления. Гингивит встречается как у детей, так и у взрослых. Гингивит бывает локализованный в области одгого-двух зубов, а может быть генерализованный, распространённый по всей десне полости рта. Особенности катарального гингивита. Катаральный гингивит представлен в виде морфологических изменений в эпителии и подлежащей к нему соединительной ткани. При увеличении десны наблюдается участки десквамации, паракератоза, акантоза, увеличение уровня гликогена. Степени тяжести катарального гингивита: Катаральный гингивит встречается в нескольких степенях тяжести, каждая из которых отличается от предыдущей. Каждая степень гингивита способна переходить одна в другую. Без правильного лечения гингивит из лёгкой степени переходит в сре
Оглавление

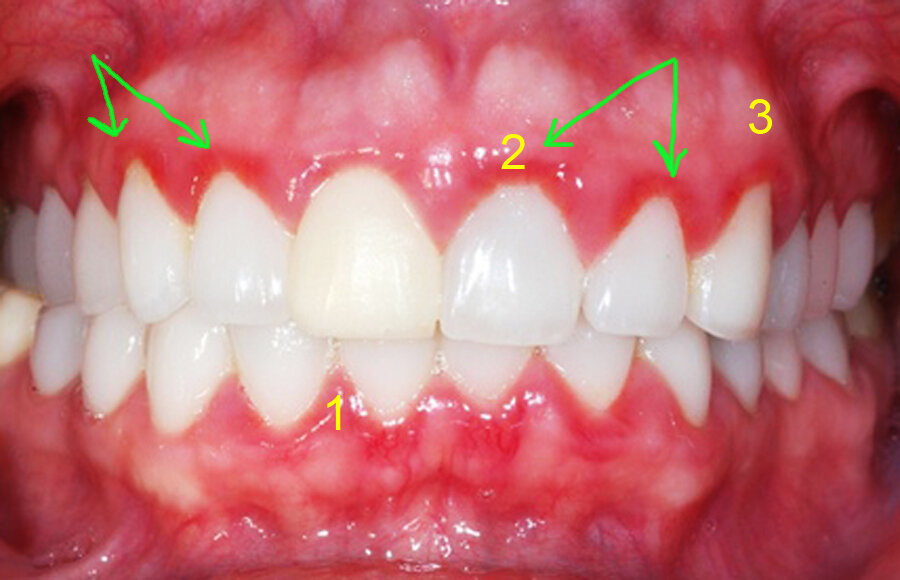
Почему вокруг зубов появляется красная каёмка? Наличие каёмки говорит от развитии гингивита.

Гингивит – это воспалительный процесс в десне, вызванный неблагоприятными факторами местного и общего вида, протекающие без нарушения целостности зубодесневого прикрепления.

Гингивит встречается как у детей, так и у взрослых. Гингивит бывает локализованный в области одгого-двух зубов, а может быть генерализованный, распространённый по всей десне полости рта.

Особенности катарального гингивита.

  • Наличие зубных отложений в виде неминерализованного мягкого налёта, пищевых остатков, а также минерализованных зубных отложений в виде наддесневых зубных камней.
  • Возникает кровоточивость десны даже при лёгком дотрагивании десневой борозды.
  • Общее состояние организма человека не нарушено.
  • Отсутствует десневой карман.
  • Сохранена круговая связка зуба.
  • На рентгенограмме отсутствуют признаки деструкции костной ткани. Сохранена высота межальвеолярных перегородок.
Катаральный гингивит представлен в виде морфологических изменений в эпителии и подлежащей к нему соединительной ткани. При увеличении десны наблюдается участки десквамации, паракератоза, акантоза, увеличение уровня гликогена.

Степени тяжести катарального гингивита:

Катаральный гингивит встречается в нескольких степенях тяжести, каждая из которых отличается от предыдущей.

-2

  1. При гингивите лёгкой степени тяжести воспаляются только десневые сосочки.
  2. При средней степени характерно воспаление десневых сосочков и маргинальной (краевой) десны.
  3. При тяжёлой степени воспаляется вся поверхность десны.

Каждая степень гингивита способна переходить одна в другую. Без правильного лечения гингивит из лёгкой степени переходит в среднюю, а потом в тяжёлую. В тоже время предпринятое лечение позволяет полностью купировать симптомы и восстановить состояние десны и мягких тканей пародонта.

Симптомы катарального гингивита:

  • Катаральный гингивит проявляется воспалением десны. Цвет десны становится ярко-красным или наоборот синеватого оттенка. Это хорошо видно при улыбке и разговоре собеседника и при обычном визуальном осмотре через зеркало.
  • К сожалению, люди не сразу обращаются к стоматологу при возникновении воспаления десны. Чаще всего может быть небольшой дискомфорт в дёснах, возникающая кровоточивость десны при чистке зубов или употреблении пищи, запах из полости рта. Как хорошо чистить зубы можно прочитать в этой публикации.
  • Десна приобретает сглаженный округлый контур и десневые сосочки становятся валикообразными.

Лечение.

Лечение катарального гингивита начинается с осмотра полости рта у стоматолога.

Профессиональная гигиена полости рта является важным этапом для того, чтобы убрать весь зубной налёт и придать зубам гладкость. На гладком зубе образуется меньше налёта, являющегося причиной воспалений.

Важно, чтобы лечение проводилось своевременно и по показаниям. После осмотра назначаются индивидуальные специальные средства, после применения которых десна приобретает первоначальный здоровый внешний вид.

Если у Вас остались вопросы или что-то нужно уточнить, обращайтесь ко мне лично на приём или спрашивайте в комментариях.

Рекомендую посмотреть:

ИМЕЮТСЯ ПРОТИВОПОКАЗАНИЯ, ТРЕБУЕТСЯ ОЧНАЯ КОНСУЛЬТАЦИЯ СПЕЦИАЛИСТА. ДАННАЯ ИНФОРМАЦИЯ СЛУЖИТ ДЛЯ ЗНАКОМСТВА, А НЕ ДЛЯ ВЫБОРА СПОСОБА ЛЕЧЕНИЯ.