Найти в Дзене
Parodoctor

Почему после имплантации передних зубов бывают провалы тканей и как этого не допустить. Одномоментная имплантация с IDR

Как-то гадко на душе, тяжёлая статья. К нам чаще, чем хотелось бы, обращаются пациентки - молодые женщины, как на подбор, как по закону подлости... Те, для кого эстетика особенно важна. Обращаются они с проблемой, которую очень сложно решить. Чаще - невозможно вообще. Имплантация во фронтальном отделе. Казалось бы, что тут может быть сложного? Имплантаты прижились, коронки стоят. А результат бедовый - провал тканей, оголённые импланты и корни зубов, просвечивающиеся сквозь десну темные части конструкций. Там, где должна была быть красивая улыбка - комплексы, страхи. Я не хочу ранить чьи-то чувства. Не хочу пугать тех, кому предстоит имплантация. Но я должна рассказать, почему фронтальный отдел - одна из самых коварных зон для имплантации и что нужно делать, чтобы не оказаться в ситуации, которую уже не исправить. Передние зубы - это витрина. Любая погрешность может бросаться в глаза - миллиметр провала десны, тень от металла, отсутствие межзубного сосочка. Если человек заморачивается
Оглавление

Как-то гадко на душе, тяжёлая статья. К нам чаще, чем хотелось бы, обращаются пациентки - молодые женщины, как на подбор, как по закону подлости... Те, для кого эстетика особенно важна. Обращаются они с проблемой, которую очень сложно решить. Чаще - невозможно вообще.

Имплантация во фронтальном отделе. Казалось бы, что тут может быть сложного? Имплантаты прижились, коронки стоят. А результат бедовый - провал тканей, оголённые импланты и корни зубов, просвечивающиеся сквозь десну темные части конструкций. Там, где должна была быть красивая улыбка - комплексы, страхи.

Я не хочу ранить чьи-то чувства. Не хочу пугать тех, кому предстоит имплантация. Но я должна рассказать, почему фронтальный отдел - одна из самых коварных зон для имплантации и что нужно делать, чтобы не оказаться в ситуации, которую уже не исправить.

Тонкая кость фронтального отдела - почему имплантация здесь опасна и требует от хирурга особых навыков

Передние зубы - это витрина. Любая погрешность может бросаться в глаза - миллиметр провала десны, тень от металла, отсутствие межзубного сосочка. Если человек заморачивается с внешним видом, то все эти дефекты будут для него труднопереживаемыми.

Дело не только в эстетике. Дело в анатомии.

У огромного числа людей кость в области передних зубов очень тонкая. Тонкая кость, тонкая вестибулярная (наружная) кортикальная пластинка - та стенка кости, которая обращена к губе.

Иногда корень зуба, буквально, толще кости, которая его удерживает. Кортикальные пластинки просто обхватывают корень и, пока зуб на месте и на него не действует чрезмерная нагрузка - всё держится. Кость существует ради зуба.

Но стоит зуб удалить и начинается катастрофа.

Резорбция кости после удаления переднего зуба - почему альвеола "схлопывается"

асается тонкокостных. Альвеола (костная лунка), в которой сидел зуб, "схлопывается". Организму нет смысла содержать пустую бесполезную кость. Функция утрачена, ткани начинают рассасываться.

Тонкая вестибулярная стенка уходит первой, за ней спешит остальной объём кости. За костью уже уходит десна.

Да, можно подсадить в лунку костный материал из банки - ксенографт. Какое-то время будет сохраняться видимость благополучия, так делают многие. Но природа в случае тонких костей и ососбенностей формирования альвеол (при особенностях прикуса) возьмёт своё - подсаженный материал без собственной кости и адекватного кровоснабжения резорбируется.

И вот мы имеем дефицит кости именно там, где он критичен - во фронтальной зоне, на виду.

Оголение имплантата во фронтальной зоне - что происходит при ошибке

А теперь представьте, что в эту зону с тонкой костью и дефицитом тканей, устанавливают имплантат без учёта анатомических особенностей, без планирования. Без понимания, что будет через год.

Имплантат приживается (это несложное дело), остеоинтеграция проходит успешно. Но кости вокруг него недостаточно изначально. Вестибулярная стенка тает, десна проседает. Имплантат начинает просвечивать, а потом - оголяться.

Из открытых источников сети интернет
Из открытых источников сети интернет

Получаем провал. Визуально - очень заметный, прямиком в зоне улыбки. Для многих женщин подобное становится ударом.

Нам присылают фотографии и 3Д КТ. Я не могу их показать, потому что мы не уверены, что сможем помочь. Но расскажу, что видим.

Один из случаев - имплантаты огромные, совершенно не подходящие для зоны фронтальных зубов при тонкой кости. Мультиюниты тоже массивные, светятся темнотой сквозь ткани десны. Не мини-абатменты, пригодные для эстетической зоны, а конструкции, которые уместны в жевательном отделе у крупного мужчины.

Зачем так было сделано? Уже не важно. Важно другое - такие имплантаты из кости без серьёзного урона не выкрутить. А кости и так осталось мало, а кость и была тонкая.

Работать с тем, что есть? Но как. Кость не нарастишь там, где дефицит питания и имплантат уже стоит. Десну можно попробовать, но шансы - 50/50.

Потеря костных пик и межзубных сосочков - почему это необратимо

Утраченные межзубные сосочки, утраченные костные пики, оголение корней (рецессии третьего класса по Миллеру). И всё это у человека без малейшей склонности к пародонтиту. С ним такого никогда не должно было случиться.

-2

Но случилось.

По-хорошему, исправлением должен заниматься тот, кто это наворотил. Другие врачи сильно рискуют, ввязываясь в чужую историю чужой ошибки. Потому что ожидания у пациенток всегда будут высокими - зона эстетически важная. А эстетически идеально уже не будет. При всём желании и мастерстве.

Сочувствую. Искренне. Что делать - не знаю.

Но знаю, как избежать подобных проблем.

Бугор верхней челюсти - лучший материал для костной пластики в эстетической зоне

Когда мы видим пациента с тонкой костью во фронтальном отделе (а видим мы это на этапе планирования при виртуальной примерке имплантата в цифре), мы заранее понимаем - здесь нужна костная пластика.

И на сцену выходит ценнейший для стоматологических нужд материал организма человека - бугор верхней челюсти.

Бугор - это участок кости за седьмыми верхними зубами, там, где когда-то росли восьмёрки. Зубы мудрости удалили, а костный бугор остался. Или не остался - тут генетика решает. Есть люди, которым природа этот материал не дала. Но если дала - мы его бережём и на другие цели не тратим.

Почему именно бугор? Потому что это аутогенная кость - собственная, родная. Она практически не даёт усадки, отлично приживается и является оптимальным материалом для эстетической зоны.

Одномоментная имплантация с IDR - сохраняем ткани при тонкой кости

Если у пациента с тонкой костью во фронтальном отделе есть зуб, который не спасти и требуется удаление, рецепт такой:

  1. Цифровой протокол - всё планируется и моделируется на компьютере в специальной программе до операции.
  2. Выбор правильного имплантата - тонкого, но прочного. Например, Straumann диаметром 3.5 мм - не "бандура" для жевательного отдела, а то, что создано для такой анатомии.
  3. Одномоментная имплантация - имплантат устанавливается сразу после удаления зуба, пока альвеола не "схлопнулась".
  4. Операция IDR с подсадкой бугра верхней челюсти - костная пластика собственным материалом, который восполняет дефицит и сохраняет объём тканей.

Оба хирурга моей клиники отлично владеют этой методикой и выполняют подобные операции на постоянной основе, успешно.

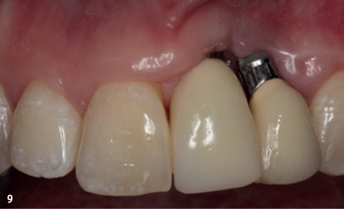
Одномоментная имплантация и IDR
Одномоментная имплантация и IDR

И ещё:

Одномоментная имплантация и IDR, снизу фото в момент установки коронки, анестезия выполнена, ткани бледные (это временное явление)
Одномоментная имплантация и IDR, снизу фото в момент установки коронки, анестезия выполнена, ткани бледные (это временное явление)

Я писала об этих и о других подобных работах раньше, ссылки прикреплю в конце этой статьи.

IDR и имплантация, была переустановка имплантата в ранний послеоперационный период
IDR и имплантация, была переустановка имплантата в ранний послеоперационный период

Вывод

Фронтальный отдел - чуть ли не самая коварная зона для имплантации. Тонкая кость, минимальный запас тканей, максимальные эстетические требования. Ошибка приводит к последствиям, которые крайне сложно или невозможно исправить.

Если вам предстоит имплантация в зоне передних зубов - убедитесь, что врач работает по цифровому протоколу, учитывает толщину кости, подбирает имплантат под вашу анатомию и владеет методиками костной пластики.

Лучше сразу всё сделать правильно и качественно, чем потом искать врача, который попытается исправить чужую ошибку. Потому что тот, кто уже допустил подобное осложение из-за недостатков планирования, вряд ли сравится с задачей по исправлению. Ибо это сложнее раз в 100.

Что имеем не храним, потерявши плачем. Методика IDR. Сохраняем "хлипкую" кость в зоне фронтальных зубов.
Parodoctor18 сентября 2023

Вопросы задавайте в моём Telegram-канале - там я их точно увижу и отвечу. В Дзене сотни комментариев под сотнями статей и я физически не успеваю всё мониторить - не смотрю и не отвечаю, никого не удаляю (все вопросы к Дзен, обиды направляйте площадке, пожалуйста). В Telegram все вопросы в одном месте, удобно отвечать, можно фото прикрепить. Так что жду в тг:

Parodoctor

Завела канал в MAX, чтобы был, называется он Parodoctor:

Parodoctor

С уважением, Лежачёва Наталия Александровна, хирург-пародонтолог и главный врач стоматологии Parodent, СПб.