Добавить в корзинуПозвонить
Найти в Дзене

Эти опухоли чаще всего метастазируют в легкие

Почему легкие так часто становятся мишенью для метастазов? Легкие — один из самых уязвимых для метастазов органов. Согласно статистическим данным, примерно у 50% онкологических пациентов в процессе прогрессирования болезни развиваются метастазы в легких. И вот в чем причина: ➡️ Через капиллярную сеть легких проходит вся венозная кровь, возвращающаяся к сердцу от всех органов и тканей. ➡️ Лимфатическая система также тесно связана с легкими. Когда раковые клетки отрываются от первичной опухоли, они с током крови или лимфы легко попадают в легкие и могут задержаться там, дав начало новым опухолевым очагам. Какие типы рака чаще всего метастазируют в легкие? На самом деле, практически любая злокачественная опухоль способна метастазирование в легкие, но в этом списке есть явные «лидеры». 1. Рак легкого. Первичный рак легкого чаще всего метастазирует в противоположное легкое. Следующие "по популярности" мишени метастазирования рака легкого - это головной мозг (29%), кости (25%), надпочечники
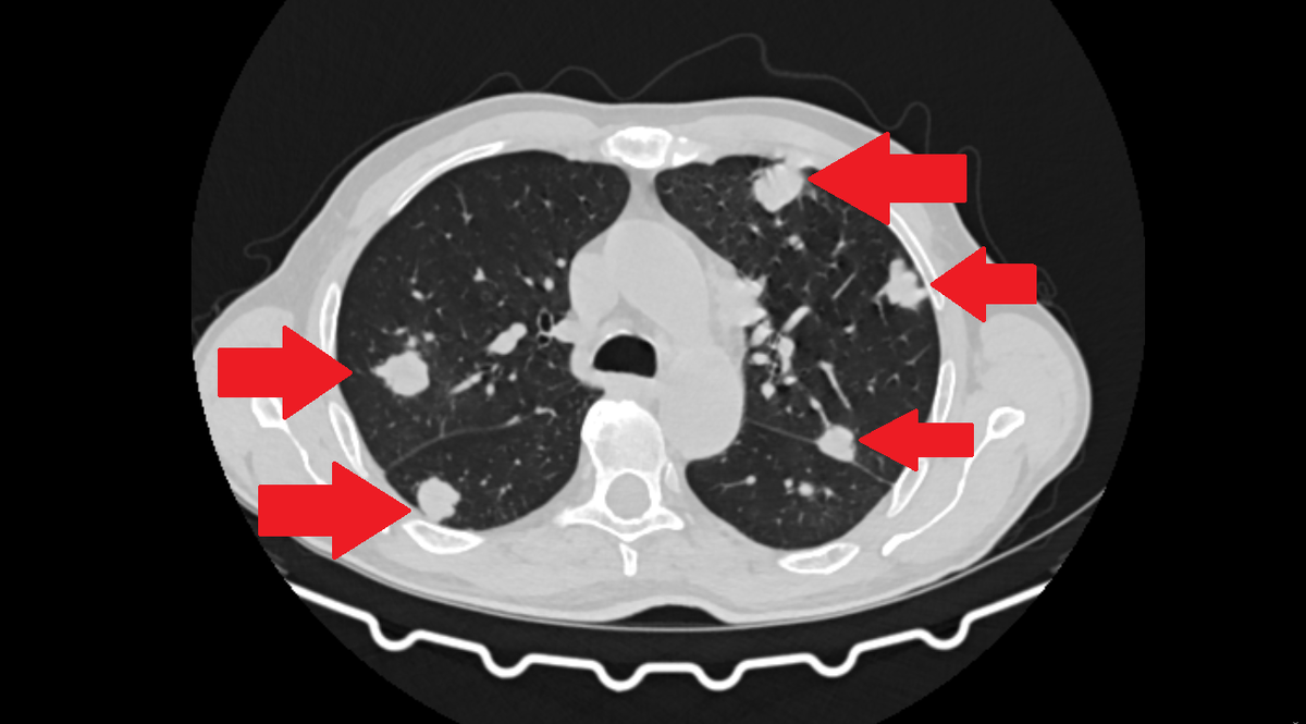
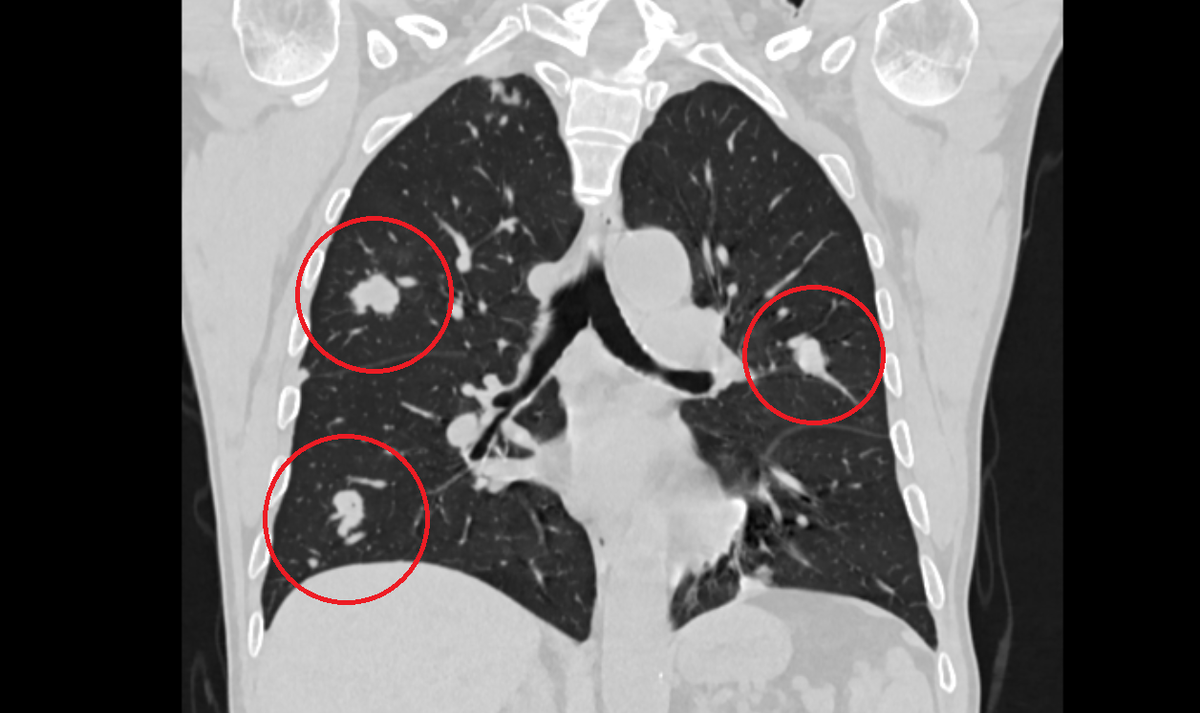
Множественное метастатическое поражение легких. Компьютерная томография.
Множественное метастатическое поражение легких. Компьютерная томография.

Почему легкие так часто становятся мишенью для метастазов?

Легкие — один из самых уязвимых для метастазов органов. Согласно статистическим данным, примерно у 50% онкологических пациентов в процессе прогрессирования болезни развиваются метастазы в легких.

И вот в чем причина:

➡️ Через капиллярную сеть легких проходит вся венозная кровь, возвращающаяся к сердцу от всех органов и тканей.

➡️ Лимфатическая система также тесно связана с легкими.

Когда раковые клетки отрываются от первичной опухоли, они с током крови или лимфы легко попадают в легкие и могут задержаться там, дав начало новым опухолевым очагам.

Какие типы рака чаще всего метастазируют в легкие?

На самом деле, практически любая злокачественная опухоль способна метастазирование в легкие, но в этом списке есть явные «лидеры».

1. Рак легкого.

Первичный рак легкого чаще всего метастазирует в противоположное легкое. Следующие "по популярности" мишени метастазирования рака легкого - это головной мозг (29%), кости (25%), надпочечники (15%), печень (13%).

2. Рак молочной железы.

Опухолевые клетки из молочной железы легко проникают в лимфатическую систему и кровоток, попадая прямиком в легочную ткань. Легкие поражаются у 15-25% пациенток с метастатическим раком молочной железы.

3. Рак прямой кишки / желудка / поджелудочной железы.

Эти виды рака активно метастазируют в первую очередь в печень (48%), брюшину (32%) и легкие (15%).

4. Меланома.

Для нее характерно распространение через кровь, при котором легкие становятся частой мишенью: у 18-36% пациентов с метастатической меланомой диагностируется поражение легких.

5. Рак почки

Опухолевые клетки из почек легко попадают в почечную вену, затем в нижнюю полую вену и в правые отделы сердца, откуда направляются прямиком в легочную ткань.

Опасность легочных метастазов в том, что они могут длительное время развиваться абсолютно бессимптомно.

-2

Типичные признаки метастатического поражения легких:

• Упорный хронический кашель (иногда с примесью крови)

• Одышка (сначала при физической нагрузке, затем и в покое)

• Боль в грудной клетке

• Снижение веса и общая слабость

Важно понимать, что перечисленные выше симптомы неспецифичны и могут быть проявлением других заболеваний легких. Но если они появляются, то однозначно стоит обратиться к врачу и пройти обследование.

Для выявления метастазов в легких используются:

· Компьютерная томография. Это «золотой стандарт» диагностики, поскольку позволяет обнаружить даже мелкие очаги.

· Рентгенография грудной клетки. Менее чувствительный метод, но часто используется как первичный скрининг.

· ПЭТ-КТ. Наиболее точный метод, позволяющий оценить не только размеры очагов, но и их метаболическую активность.

В сомнительных случаях, либо в том случае, когда первичную опухоль выявить не удалось, выполняется биопсия одного из очагов в легких. Полученный образец опухолевой ткани направляется в лабораторию для цитологического, гистологического исследования.

Лечение метастазов зависит от типа первичной опухоли, количества и размера метастазов, общего состояния пациента и возможностей медицинской организации.

✅ Системная терапия (химиотерапия, таргетная терапия, иммунотерапия).

✅ Хирургическое лечение (удаление единичных метастазов). Удаляют лишь единичные метастазы при некоторых (не всех) типах опухолей и при условии отсутствия прогрессирования злокачественного процесса в других органах и тканях. При множественном поражении удаление метастатических очагов теряет всякий смысл.

✅ Лучевая терапия (в том числе стереотаксическая радиохирургия) также применяется при единичных метастатических очагах.

Например, при меланоме с метастазами иммунотерапия позволяет значительно повысить выживаемость пациентов, а при некоторых видах рака легкого с единичными метастазами удается добиться длительной ремиссии.

Если у вас уже диагностировано онкологическое заболевание, важно регулярно проходить контрольные обследования, которые назначил врач, чтобы вовремя обнаружить возможные метастазы и начать лечение.

Будьте здоровы и помните: современная медицина постоянно развивается, и появляются новые возможности в борьбе с онкологическими заболеваниями.

Также, Вам может быть интересно:

Наука
7 млн интересуются