Добавить в корзинуПозвонить
Найти в Дзене

Неопасное заболевание сердца – горшок для ловли осьминогов. Почему болеют в основном женщины?

Разбитое сердце. Однажды моя приятельница пожаловалась мне, что от нее отвернулась дочь. Очень самодостаточная девушка, которая росла без отца, вдруг сняла квартиру с подружками, перестала общаться с матерью и бабушкой, сдала их квартиру в новом районе Москвы (благо они жили в загородном доме). На попытки матери наладить контакт, очень деловая дочка сообщала, что мать ей очень много не додала в жизни (в частности, отца), что мать всю жизнь жила неправильно, очень старомодна и мешает ей. При этом квартирой родителей она распоряжалась как ни в чем не бывало. И так продолжалось 2 года. Конечно, моя знакомая была в шоке, все время об этом думала и, однажды, после разговора с дочерью почувствовала боль в сердце. Ей на тот момент было 60 лет. У нее уже была гипертоническая болезнь и она принимала лекарства от давления. Мы с ней встретились в кафе, и она пожаловалась, что у нее болит сердце и ей тяжело дышать. Конечно, я испугалась и начала ее обследовать. Сделали ЭКГ, на которой была картина

Разбитое сердце.

Однажды моя приятельница пожаловалась мне, что от нее отвернулась дочь. Очень самодостаточная девушка, которая росла без отца, вдруг сняла квартиру с подружками, перестала общаться с матерью и бабушкой, сдала их квартиру в новом районе Москвы (благо они жили в загородном доме). На попытки матери наладить контакт, очень деловая дочка сообщала, что мать ей очень много не додала в жизни (в частности, отца), что мать всю жизнь жила неправильно, очень старомодна и мешает ей. При этом квартирой родителей она распоряжалась как ни в чем не бывало.

И так продолжалось 2 года. Конечно, моя знакомая была в шоке, все время об этом думала и, однажды, после разговора с дочерью почувствовала боль в сердце. Ей на тот момент было 60 лет. У нее уже была гипертоническая болезнь и она принимала лекарства от давления.

Мы с ней встретились в кафе, и она пожаловалась, что у нее болит сердце и ей тяжело дышать.

Конечно, я испугалась и начала ее обследовать.

Сделали ЭКГ, на которой была картина инфаркта миокарда.

Вот такая приблизительно была ЭКГ.

Пациентку сразу госпитализировали в реанимационное отделение. И там было выполнено УЗИ-исследование сердца – ЭхоКГ.

Которое показало, что сердце сокращается плохо. Был поставлен диагноз инфаркт миокарда. Тем более, что давление у больной было низкое - 80/50 мм рт. ст.

Но пациентка очень быстро пошла на поправку, сократительная способность сердца стала стремительно восстанавливаться, и это вызвало подозрение…..

Горшок для ловли осьминогов.

В 1990 г. японец Sato H. опубликован отчет о 22 случаях странного заболевания, спровоцированного стрессовой ситуацией, самый первый из которых был выявлен в 1983 г в городской больнице г. Хиросимы [Sato H., Tateishi H., Dote K., Uchida T., Ishihara M. «Tako-tsubo-like left ventricular dysfunction due to multivessel coronary spasm» (в книге Kodama K., Haze K., Hori M. «Clinical aspect of myocardial injury: from ischemia to heart failure», Tokyo, 1990, стр. 56–64)].

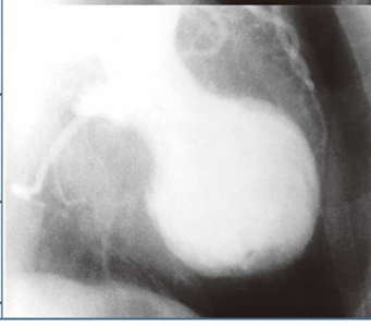
Заболевание напоминало инфаркт, и на ультразвуковом исследовании сердце выглядело так, как будто это был горшок для ловли осьминогов, широко применяемый в Японии.

-2

Так выглядит сердце при выполнении исследования Левого желудочка сердца с контрастом.

-3

Поэтому заболевание назвали «Кардиомиопатия такоцубо», что в переводе с японского означает - приспособление для ловли осьминогов - tako-tsubo.

Кардиомиопатия такоцубо - форма острой и, как правило, обратимой сердечной недостаточности, провоцируемой у большинства пациентов различными стрессовыми факторами, протекающая с преходящей дисфункцией Левого желудочка сердца, клинически и электрокардиографически напоминающая инфаркт.

Вот такой редкий случай – когда заболевание очень напоминает страшное, но таковым, в большинстве случаев, не является.

Кто болеет такоцубо?

Основную группу больных составляют женщины в период менопаузы, в возрасте 60-70 лет, но в последнее время все чаще заболевание описывается у мужчин в возрасте 50-75 лет.

В моем личном опыте есть случай заболевания молодого мужчины с дисплазией соединительной ткани (https://dzen.ru/a/Z8tCE5oXsydYBJhv

), у которого на фоне стресса были изменения ЭКГ.

Также могут болеть и дети. Большинство детей с кардиомиопатией такоцубо — мальчики-подростки, у многих из них есть психические расстройства или расстройства, связанные с употреблением психоактивных веществ, т.е. наркотиков. [Сенди П., Мартинес П., Чегонди М., Тотапалли Б. Р. Кардиомиопатия такоцубо у детей. Кардиология для молодых. 2020 ноябрь; 30 (11): 1711–1715. doi: 10.1017/S1047951120002632].

Но самым маленьким пациентом был недоношенный ребенок в возрасте 28 недель.

Что может вызвать такоцубо?

1. Разбитое сердце:

неожиданная потеря или болезнь близкого человека;

 получение плохих новостей (например, диагностика рака);

 несчастный случай;

 неожиданная отмена важной встречи;

 финансовый убыток;

 потеря работы;

 конфликты с близкими;

 сильный страх;

 публичные выступления;

 обман и травля и многие другие вызывающие стресс события.

2. Счастливое сердце.

празднованием юбилея, свадьбы;

 победа любимой спортивной команды или собственная победа в состязании;

 приобретение долгожданного имущества и т.д.

3. Физические причины.

тяжёлая физическая работа;

 внезапное падение АД;

 тяжёлая болезнь;

 хирургическое вмешательство или медицинская процедура;

 сильная боль;

 приступ бронхиальной астмы;

 тяжелое лечение;

 злоупотребление алкоголем и т.д.

Кто хочет ознакомиться с полным списком факторов – вот здесь есть: Schlossbauer SA, Ghadri J-R, Templin C. TakotsuboSyndrom – ein häufig verkanntes Krankheitsbild. Praxis.

2016;105(20):1185–92. DOI: 10.1024/1661-8157/a002434

Согласно данным литературы, ~50% пациентов с кардиопатией такотцубо страдают острым или хроническим неврологическим или психиатрическим заболеванием, самым распространенным из которых является депрессия.

Есть одно интересное наблюдение - поступления больных чаще отмечаются в летние и осенние месяцы (по сравнению с зимними), достигая пика в сентябре. Возможно, это связано с обострениями депрессии в конце лета или с грустью расставания с летом.

Распространенностьсиндрома такоцубо в настоящее

время составляет 1–3% от общего числа пациентов и 5–6%

среди женщин, которые госпитализируются с подозрением на инфаркт миокарда.

Каков же механизм возникновения заболевания сердца при стрессе?

Когда у человека возникает стресс, происходит высвобождение гормонов надпочечников - катехоламинов (адреналина и норадреналина). Команду для высвобождения дает головной мозг. В ответ на выброс гормонов происходит обширный спазм микрососудов, артериол и преартериол, что нарушает кровоснабжение сердечной мышцы. И клетки сердца впадают в состояние «оглушения», т.е. находятся в полуобморочном состоянии. В таком состоянии они перестают адекватно работать. Кроме того, происходит нарушение иннервации сегментов сердца, приводящее к нарушению его работы. Более того, большое количество гормонов токсически воздействует на сердце.

Почему болеют в основном женщины?

-4

Всему виной все те же эстрогены – женские половые гормоны. Которые перестают предохранять организм от сердечно-сосудистых заболеваний, когда наступает климакс: https://dzen.ru/a/aDyvj30kS0cBj6W8

https://dzen.ru/a/aBzdLtVoZD8KYheg

Вот что пишут Европейцы об основных факторах риска, которые способствуют повышенной восприимчивости определенных людей к развитию синдрома такоцубо:

1. Гормональные нарушения в виде снижения уровня эстрогенов (что является особенно характерным для женщин в постменопаузе).

2. Генетические факторы, наследственность.

3. Психические и неврологические расстройства: тревожно-депрессивные расстройства, а также определенные черты личности, которые были ассоциированы с повышенным сердечно-сосудистым риском (тип личности D, большая частота отрицательных эмоций).

Коме того, женщины, как известно, гораздо более эмоциональны, чем мужчины.

Но и здесь есть очень интересные нюансы:

по данным немецко-итальяно-испанского регистра больных с синдромом такоцубо (GEIST), у мужчин чаще триггером был физический, а не эмоциональный фактор. Также, у мужчин синдром такоцубо ассоциировался с большей внутрибольничной смертностью, а также смертностью от всех причин в отдаленном периоде.

Кроме того, мужчины с синдромом такоцубо имеют больше сопутствующих заболеваний. Триггером у них чаще является физический, а не эмоциональный фактор. А прогноз после синдрома такоцубо у мужчин хуже, чем у женщин.

(Luca Arcari, et al. J Am Coll Cardiol. 2022;79(21):2085-2093.).

А вот что по этому поводу думают китайцы: Дуань, Х. Ю., Ван, Л. Л., Лю, Л. Ц. и др. Изучение клинических особенностей синдрома Такоцубо у пациентов из Китая в зависимости от пола. BMC Cardiovasc Disord 25, 490 (2025). https://doi.org/10.1186/s12872-025-04788-4.

«У пациенток женского пола чаще наблюдались эмоциональные триггеры. Женщины с такоцубо с более молодым возрастом или физическими триггерами имеют худший прогноз.

У пациенток женского пола реже наблюдались сопутствующие заболевания, такие как пневмония, послеоперационные осложнения на сердце, заболевания печени и почек, а также анемия (малокровие).

Если такоцубо развилась под влиянием физических факторов, а не эмоциональных, то прогноз тоже хуже и количество осложнений выше».

Лечение.

Подходом первой линии является "управление" стрессовыми ситуациями и сопутствующими заболеваниями, которые могут спровоцировать рецидив заболевания.

Это все, что надо знать вам. А для врачей скажу, что такоцубо лечится, в основном, как острый коронарный синдром. Во многом лечение зависит еще и от осложнений. Но главное – анамнез (тщательное выявление провоцирующего фактора), женский пол и возраст женщины, алгоритм дифференциальной диагностики, который подробно изложен в Рекомендациях Европейского общества кардиологов 2018 года. И быстрый регресс заболевания, резкое увеличение фракции выброса (приблизительно за 1-4 недели).

Прогноз.

Обратимость синдрома такоцубо —это важнейший признак, который помогает отличить его от многих других острых синдромов сердечной недостаточности. Временные границы восстановления функции сердца варьируются в зависимости от тяжести острого эпизода. Обычно это до 12 недель.

Однако есть риск неблагоприятных осложнений.

Одним из признаков плохого прогноза является удлинение определенного интервала между зубцами на ЭКГ – удлинение интервала QT. Это может послужить субстратом для развития жизнеугрожающих нарушений ритма сердца.

Поэтому, берегите, пожалуйста, близких. Не позволяйте им нервничать и уставать. А если уж наступила стрессовая ситуация, а она рано или поздно наступает у каждого, наверное, то постарайтесь поддержать родного человека. В конце концов – здоровье дороже любых финансов и имущества. И даже работы. Что касается других стрессовых ситуаций, то есть медикаментозная поддержка. Психологическая и врачебная помощь. Вы не одни.

И в конце, справедливости ради, скажу, что по сути впервые эта патология была представлена нашим соотечественником профессором Меерсоном Ф. З. в 1984 г. Именно этот ученый обобщил имеющуюся к тому времени информацию о катехоламиновом повреждении сердца у человека, а также результаты собственных экспериментов на животных. Он назвал эту болезнь стрессорной кардиомиопатией. И взгляды ученого на тот момент на механизмы развития заболевания практически полностью соответствуют современным представлениям. Так что браво нашей науке и не надо ее недооценивать.

Напоминаю вам, что у меня появился телеграмм канал: https://t.me/ekaterinaZvo

В нем можно задать вопрос, заказать тему статьи и принять участие в дискуссиях по актуальным вопросам.

И группа Вконтакте: https://vk.com/ekaterinablogzvo

Очень жду комментариев. Задавайте вопросы.

13 августа в рамках мероприятия "Человек в фокусе здоровья" я читаю он-лайн лекцию "Плохой хороший холестерин". С 17.35 до 18.05. Вход по ссылке https://my.mts-link.ru/j/111712985/2154912108 бесплатный.