Добавить в корзинуПозвонить
Найти в Дзене
Гастроцентр Эксперт

Что такое диффузные изменения печени и поджелудочной железы и нужно ли их лечить?

«Диффузные изменения печени» и «диффузные изменения поджелудочной железы» – два достаточно часто встречаемых заключения УЗИ органов брюшной полости. У пациента такая формулировка может вызвать беспокойство («Доктор, значит, у меня гепатит / панкреатит?») или, наоборот, останется без должного внимания. У доктора же такое заключение может вызвать лишь одно: острую потребность внимательно прочитать описательную часть протокола ультразвукового исследования. В этой статье мы объясним почему. Что такое диффузные изменения? Хотя слово «диффузные» многим понятно на интуитивном уровне, обозначим основные моменты. Итак, изменения в органах могут быть: Иными словами, заключение «диффузные изменения печени» не является диагнозом и более того, не несет особо ценной информации для лечащего врача, потому что сообщает ему лишь о том, что какой-то процесс происходит во всем органе. А какой именно – нужно смотреть в описании УЗИ, которое расположено до заключения. Какие бывают диффузные изменения?
Наи
Оглавление
Диффузные изменения на УЗИ
Диффузные изменения на УЗИ

«Диффузные изменения печени» и «диффузные изменения поджелудочной железы» – два достаточно часто встречаемых заключения УЗИ органов брюшной полости. У пациента такая формулировка может вызвать беспокойство («Доктор, значит, у меня гепатит / панкреатит?») или, наоборот, останется без должного внимания. У доктора же такое заключение может вызвать лишь одно: острую потребность внимательно прочитать описательную часть протокола ультразвукового исследования. В этой статье мы объясним почему.

Что такое диффузные изменения?

Хотя слово «диффузные» многим понятно на интуитивном уровне, обозначим основные моменты. Итак, изменения в органах могут быть:

  • Очаговые – когда какие-то изменения наблюдаются только в части органа, например, одна киста, несколько «узлов», опухоль и т.д.
  • Диффузные – когда изменения (некий процесс) происходит во всем органе.

Иными словами, заключение «диффузные изменения печени» не является диагнозом и более того, не несет особо ценной информации для лечащего врача, потому что сообщает ему лишь о том, что какой-то процесс происходит во всем органе. А какой именно – нужно смотреть в описании УЗИ, которое расположено до заключения.

Какие бывают диффузные изменения?

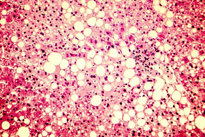
Жировой гепатоз печени
Жировой гепатоз печени

Наиболее часто под «диффузными изменениями» скрываются стеатоз печени и липоматоз поджелудочной железы. На УЗИ такие органы выглядят более светлыми, иногда почти белыми, могут быть увеличены в размерах. Для установления наличия стеатоза печени и липоматоза поджелудочной железы УЗИ будет достаточно.

Но помимо «ожирения» за диффузными изменениями могут скрываться воспаление или фиброз органов.

Воспаление печени (гепатит)

Для выявления «воспаления печени» одного лишь УЗИ недостаточно, поскольку не существует специфических изменений, позволяющих его подтвердить. Необходимо также выполнение анализов крови, а в некоторых случаях – биопсия печени, например, когда подозревается аутоиммунная причина воспаления, которую не удалось подтвердить лабораторно.

Воспаление поджелудочной железы (панкреатит)

Острый панкреатит нередко можно «узнать» уже по его симптомам (интенсивные опоясывающие боли в верхней части живота, постоянная тошнота, неукротимая рвота (не приносит облегчения), иногда – повышение температуры тела, вздутие живота и другие*), а УЗИ и анализы крови применяются для подтверждения предположения о данном диагнозе.

*При наличии симптомов острого панкреатита – незамедлительно вызовите бригаду скорой помощи!
Хронический панкреатит, тем не менее, имеет некоторые особенности на УЗИ (
кальцификация органа, кальциевые камни в протоках, псевдокисты и другие), однако выявляются они только на поздних стадиях заболевания. Для подтверждения диагноза хронического панкреатита на более раннем этапе необходимо проведение КТ с контрастированием или эндо-УЗИ.

Главное, запомните: диффузные изменения поджелудочной железы ≠ хронический панкреатит.

Фиброз печени и поджелудочной железы

По УЗИ можно заподозрить только финальные стадии фиброзной трансформации органов. Например, при циррозе печени на УЗИ можно выявить неровный контур и бугристую поверхность органа, а также признаки осложнений – расширение воротной вены, увеличение в размерах селезенки и другие.

Для оценки наличия и выраженности фиброза печени и поджелудочной железы УЗИ будет недостаточно. Существует другой неинвазивный метод оценки жесткости органов – эластография. Более подробно об этой методике вы можете прочитать в нашей статье «Ультразвуковая эластография и ее применение в гастроэнтерологии».

Нужно ли лечить диффузные изменения печени и поджелудочной железы?

Когда нужно лечить диффузные изменения?
Когда нужно лечить диффузные изменения?

Возвращаясь к началу статьи, напоминаем, что сама фраза «диффузные изменения органа» не несет в себе никакой информации, кроме той, что в «какой-то процесс» вовлечен весь орган целиком. Поэтому если у вас по результатам УЗИ в заключении написали «диффузные изменения печени» и/или «диффузные изменения поджелудочной железы» – обратитесь с этим заключением к гастроэнтерологу, чтобы он по описательной части протокола смог понять, какие именно диффузные изменения наблюдаются в органе, и назначил вам дообследование, которое сможет установить причины, вызвавшие эти диффузные изменения.

А о том, нужно ли и как лечить причины, вызвавшие диффузные изменения, – читайте в наших статьях:

Оценить выраженность фиброзных изменений в печени или поджелудочной железе можно с помощью ультразвуковой эластографии сдвиговой волной, данную диагностику вы можете пройти в нашем Гастроэнтерологическом центре.