Добавить в корзинуПозвонить
Найти в Дзене

Успешная операция при опухолевом поражении более чем 75% паренхимы печени. История пациентки.

История пациентки И., 40 лет. Около 2 лет назад впервые появились жалобы на тупого характера ноющую боль в правом подреберье. Как свойственно людям молодого возраста, особого значения боли И. не придавала, мыслей о плохом не было, поэтому за медицинской помощью не обращалась почти полгода. Но боль не проходила, а со временем даже стала усиливаться. При обследовании по месту жительства выявлено объемное образование печени больших размеров (150х120х160 мм), вторичноочаговое поражение наддиафрагмальных лимфоузлов. Выполнена биопсия печени, по данным гистологического исследования - морфологическая картина соответствует недифференцированной аденокарциноме, возможна как при холангиокарциноме, так и при метастатическом поражении аденокарциномой другой локализации.
По данным уточняющего иммуногистохимического исследования, с учетом клинических данных и морфологического строения опухоли, больше данных за умереннодифференцированную гепатоцеллюлярную карциному. То есть опухоль оказалась первичны

История пациентки И., 40 лет.

Около 2 лет назад впервые появились жалобы на тупого характера ноющую боль в правом подреберье. Как свойственно людям молодого возраста, особого значения боли И. не придавала, мыслей о плохом не было, поэтому за медицинской помощью не обращалась почти полгода. Но боль не проходила, а со временем даже стала усиливаться.

При обследовании по месту жительства выявлено объемное образование печени больших размеров (150х120х160 мм), вторичноочаговое поражение наддиафрагмальных лимфоузлов.

Выполнена биопсия печени, по данным гистологического исследования - морфологическая картина соответствует недифференцированной аденокарциноме, возможна как при холангиокарциноме, так и при метастатическом поражении аденокарциномой другой локализации.
По данным уточняющего иммуногистохимического исследования, с учетом клинических данных и морфологического строения опухоли, больше данных за умереннодифференцированную гепатоцеллюлярную карциному.

-2

То есть опухоль оказалась первичным раком печени - гепатоцеллюлярной карциномой.

В течение полугода было проведено 8 курсов комбинированной противоопухолевой терапии по схеме атезолизумаб+бевацизумаб с положительной динамикой в виде значительного уменьшения размеров опухоли.

После 8 курсов терапии был перерыв в лечении длительностью практически в 5 месяцев, то есть почти полгода никакого специального противоопухолевого лечения И. не получала.
По данным контрольной компьютерной томографии размеры опухоли в правой доле печени составили 117 х 110 мм., практически без динамики в сравнении с предыдущим КТ-исследованием двухмесячной давности (116 х 110 мм).

В поисках возможных вариантов лечения около года назад И. обратилась ко мне на консультацию для уточнения возможности и целесообразности проведения микроволновой абляции опухоли печени. Когда я открыл диск с компьютерной томографией и увидел размеры опухоли, сразу стало понятно, что микроволновую абляцию делать бесполезно - опухоль слишком крупная.

По более темному цвету в печени можно различить опухоль
По более темному цвету в печени можно различить опухоль

Химиоэмболизацию делать также было очень рискованно, так как при химиоэмболизации мог возникнуть массивный некроз и распад опухоли, что сопряжено с риском серьезных осложнений.

Но, учитывая молодой возраст и хорошее общее состояние пациентки, а также то, что опухолевое поражение локализовалось в правой доле печени, а левая доля была практически не поражена, можно было рассмотреть возможность хирургического лечения.

Я направил И. на консультацию к знакомому хирургу-онкологу в МНИОИ им. П.А. Герцена, а оттуда она была направлена к хирургам НИИ Склифосовского.

В Склифе консилиум принял решение о возможности операции в объеме резекции печени по методике ALPPS.

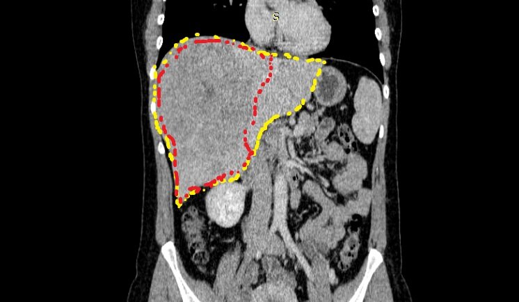
Красным пунктиром обозначены границы опухоли, желтым пунктиром - границы печени. Снимки перед планируемым хирургическим лечением.
Красным пунктиром обозначены границы опухоли, желтым пунктиром - границы печени. Снимки перед планируемым хирургическим лечением.

"Справка: ALPPS-резекция печени проводится в том случае, когда нужно удалить очень большой объем печени (75% объема органа и более) и есть риск развития послеоперационной печеночной недостаточности. Данная операция проводится в два этапа. На первом этапе перевязывается правая ветвь воротной вены и производится хирургическое разделение печени по линии планируемой будущей резекции. Первый этап операции нужен для того, чтобы оставшаяся здоровая часть печени гипертрофировалась, то есть увеличилась в объеме настолько, чтобы её хватило для обеспечения жизнедеятельности пациента. Обычно через 1-2 недели после первого этапа операции здоровая часть печени увеличивается на 70-90%. Вторым этапом производится удаление пораженной метастазами части печени. Данная методика позволяет избежать развития послеоперационной печеночной недостаточности пациентам с планируемым большим объемом резекции печени и небольшой остаточной “здоровой” частью органа."

Первым этапом пациентке И. была выполнена перевязка 6-7-8 ветвей правой воротной вены, транссекция паренхимы печени.

Через 13 дней после первого этапа операции выполнено удаление пораженной опухолью правой доли печени, а также пораженных метастазами наддиафрагмальных лимфоузлов.

Вот так выглядит гипертрофированная после операции левая доля печени.
Вот так выглядит гипертрофированная после операции левая доля печени.

Госпитализация оказалась очень длительной, И. более двух с половиной месяцев провела в стационаре.

Из осложнений в послеоперационном периоде наблюдалась умеренная печеночная недостаточность, а также нарушение желчеоттока из печени из-за сужения желчных протоков, что потребовало установки стента.

Однако через 2,5 месяца счастливая И. была выписана из клиники, все проявления заболевания были удалены и никакое противоопухолевое лечение не проводится.

После операции уже прошел почти год, признаков прогрессирования болезни нет, по МРТ всё чисто и онкомаркер практически в норме и не нарастает в динамике.

-6

И. живет абсолютно полноценной жизнью, какие-либо жалобы у неё отсутствуют.

Почти через год после операции в печени все чисто
Почти через год после операции в печени все чисто
-8
-9

При виде таких результатов “до” и “после” даже у меня, онколога с более чем 12-летним стажем, подкрепляется вера в то, что чудеса, пусть редко, но иногда все-таки случаются.

Также, Вам может быть интересно: