Найти в Дзене
БиоМедГазета 2.0

Иммунные клетки воспаляют свой собственный костный мозг из-за его неправильной формы

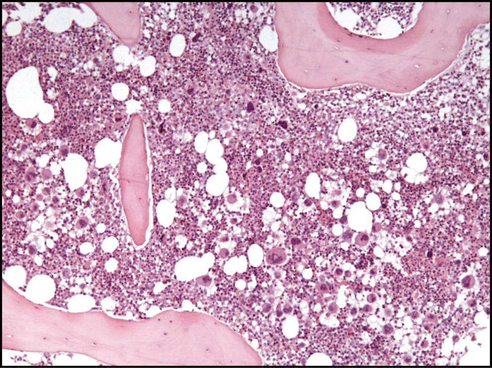
Фиброз представляет собой патологический процесс, при котором происходит утолщение различных соединительных тканей, вызванное отложением в организме внеклеточного матрикса. Если он сопровождается воспалением, то могут также появиться островки рубцовой ткани, которые просто так не рассасываются и разрушаться не могут. Это, в свою очередь, провоцирует ряд заболеваний разных органов, особенно легких, печени, сердца. Часто фиброз дает о себе знать и в костном мозге, губчатой ткани внутри многих костей, нарушая его функции, в том числе и роль кроветворения красного костного мозга. Одним из ярких примеров является хрoнический рак крoви, также известный по именем "миелопролиферативные новообразования". Как раз при нем развивается миелофиброз, который сбивает нормальное производство клеток крови. К примеру, моноциты, иммунные клетки, сверхпродуцируются и провоцируют беспричинное воспаление в среде костного мозга. Чтобы узнать о скрытых клеточных взаимодействиях при миелофиброзе, объединенная г
Костный мозг, пораженный фиброзом. Источник: Terapevticheskii arkhiv
Костный мозг, пораженный фиброзом. Источник: Terapevticheskii arkhiv

Фиброз представляет собой патологический процесс, при котором происходит утолщение различных соединительных тканей, вызванное отложением в организме внеклеточного матрикса. Если он сопровождается воспалением, то могут также появиться островки рубцовой ткани, которые просто так не рассасываются и разрушаться не могут. Это, в свою очередь, провоцирует ряд заболеваний разных органов, особенно легких, печени, сердца. Часто фиброз дает о себе знать и в костном мозге, губчатой ткани внутри многих костей, нарушая его функции, в том числе и роль кроветворения красного костного мозга.

Одним из ярких примеров является хрoнический рак крoви, также известный по именем "миелопролиферативные новообразования". Как раз при нем развивается миелофиброз, который сбивает нормальное производство клеток крови. К примеру, моноциты, иммунные клетки, сверхпродуцируются и провоцируют беспричинное воспаление в среде костного мозга.

Чтобы узнать о скрытых клеточных взаимодействиях при миелофиброзе, объединенная группа исследователей из Гарвардского института и смежных учреждений создала контролируемую модель in vitro (в стекле), заполнив среду гидрогелем, который имитировал здоровый или фиброзный костный мозг человека. Объединив систему с существующими моделями миелофиброза in vivo (в живом организме) у мышей, они продемонстрировали, что моноциты решают, переходить ли в провоспалительную форму на основании не только поступающей к ним информации в виде химических сигналов, но и исходя из механических свойств окружающей среды.

Моноцит в искусственной гидрогелевой среде
Моноцит в искусственной гидрогелевой среде

Это доказывает то, что пораженный фиброзом костный мозг действительно подвергается воспалению из-за своей деформации.

Также исследователи нашли, что препарат, ингибирующий (т.е. подавляющий) белок PI3K-gamma, ослабляет воспалительные процессы в костном мозге, а сместе с этим снижает количество провоспалительных клеток, по крайней мере, именно так происходит у мышей.

«Оказалось, что миелофиброз - это заболевание, связанное с механическими факторами, которое можно лечить, вмешиваясь в механическую передачу сигналов в клетках костного мозга».

– сказал Дэвид Муни, доктор философии, который руководил исследованием.

Оригинальная научная статья в Nature materials

DOI (цифровой идентификатор) статьи: DOI: 10.1038/s41563-022-01293-3

#кости #наука #биология #костныймозг #иммуннаясистема #иммунитетчеловека #биоинженерия #миелофиброз