Добавить в корзинуПозвонить
Найти в Дзене
Jonn Skeys

Болезнь Осгуда-Шляттера-имеется у каждого спортсмена.

Болезнь Осгуда-Шляттера — заболевание, при котором появляется бугристость на передней поверхности большеберцовой кости. Как правило, болезнь проявляется с начало полового созревания (в возрасте 10-15 лет). Причиной данного заболевания считается: Повреждение, из-за чрезмерного растяжения сухожилия надколенника в области незрелой эпифизарной зоны, что приводит отрывному микроперелому. Характерными симптомами болезни Осгуда-Шляттера являются боль, отек и болезненность над бугристостью большеберцовой кости во вставке сухожилия надколенника. Системные нарушения отсутствуют. При сильной физической нагрузке или занятиях спортом сухожилие перегружается в месте соединения с костью. Кроме того, детские мышцы и сухожилия растут быстрее, чем кости, делая их более уязвимыми к перенапряжению Симптомы: Симптомы заболевания: боль, отек и ощущение тепла в колене. Болезненные ощущения возникают при езде на велосипеде, беге, приседаниях, движении по лестнице и опускании на колени. Обычно болезнь п
Оглавление

Болезнь Осгуда-Шляттера — заболевание, при котором появляется бугристость на передней поверхности большеберцовой кости. Как правило, болезнь проявляется с начало полового созревания (в возрасте 10-15 лет).

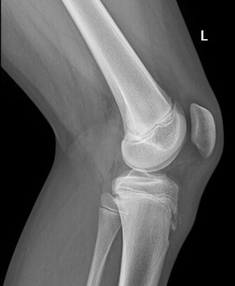
Вот так это выглядит на снимке
Вот так это выглядит на снимке

Причиной данного заболевания считается:

Повреждение, из-за чрезмерного растяжения сухожилия надколенника в области незрелой эпифизарной зоны, что приводит отрывному микроперелому. Характерными симптомами болезни Осгуда-Шляттера являются боль, отек и болезненность над бугристостью большеберцовой кости во вставке сухожилия надколенника. Системные нарушения отсутствуют.

При сильной физической нагрузке или занятиях спортом сухожилие перегружается в месте соединения с костью. Кроме того, детские мышцы и сухожилия растут быстрее, чем кости, делая их более уязвимыми к перенапряжению

Симптомы:

Симптомы заболевания: боль, отек и ощущение тепла в колене. Болезненные ощущения возникают при езде на велосипеде, беге, приседаниях, движении по лестнице и опускании на колени. Обычно болезнь поражает одно колено, но некоторые дети испытывают боль в обоих коленных суставах.

-2

В начальной стадии заболевания ребенок испытывает боль только во время занятий спортом. При развитии заболевания боль и припухлость сохраняются, в колене ощущается тепло и к нему больно прикасаться.

Занятия спортом

Болезнь Осгуда-Шляттера встречается у почти 20 процентов подростков, которые участвуют в спортивных состязаниях в то время, как только в 5 процентах случаев у подростков, не занимающихся спортом. Заболевание возникает в основном при занятиях такими видами спорта, где требуется много прыжков бег изменения траектории движения. Это, например:

  • Футбол
  • Баскетбол
  • Волейбол
  • Гимнастика
  • Фигурное катание
  • Балет

Лечение

Обычно болезнь Осгуда-Шлаттера излечивается самостоятельно, и симптомы исчезают после завершения роста костей. Если же симптоматика выраженная, то лечение включает медикаментозное лечение, физиотеропию, ЛФК.

Медикаментозное лечение заключается в назначении болеутоляющих, таких как ацетаминофен (тайленол и др.) или ибупрофен. Физиотерапия позволяет уменьшить воспаление снять отечность и боли.

ЛФК необходимо для подбора упражнений, растягивающих четырехглавую мышцу и подколенные сухожилия, что позволяет снизить нагрузку на область прикрепления сухожилия надколенника к большеберцовой кости. Упражнения на усиление мышц бедра помогают также стабилизировать коленный сустав.

Изменение образа жизни.

Предоставить разгрузку суставу и ограничить виды деятельности, усиливающие симптоматику (например, стояние на коленях прыжки бег).

Прикладывание холода в область повреждения.

Использование надколенника при занятиях спортом.

Замена видов спорта связанных с прыжками и бегом на такие виды как езда на велосипеде или плавание на период, необходимый для стихания симптоматики.