Найти в Дзене
Medin

Что нужно знать об инсульте?

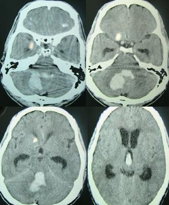
"Левая рука и нога уже совсем не слушаются, еще немеют и как будто одеревенели," - беспокойный взгляд пациента был направлен на невролога, собиравшего анамнез пострадавшего. Доктор поинтересовался, как давно это появилось. "Уже два дня, может и три," - пациент собирался с мыслями, а потом добавил, "я-то думал, что пройдет, потому что сила то исчезала, то появлялась." Доктор тяжело вздохнул и распорядился отправить больного на РКТ головного мозга. Выйдя из пультовой кабинета РКТ врач вынес свой вердикт - ишемический инсульт в бассейне правой СМА. Пациента госпитализировали в отделение нейрореанимации. Инсульт - по своей природе сосудистая катастрофа, которая чаще происходит в области головного мозга, хотя бывают инсульты и спинного мозга. Что подразумевается под понятием сосудистая катастрофа? Тут возможны две причины развития инсульта - это либо закупорка просвета сосуда, либо разрыв стенки сосуда с выходом крови за его пределы в окружающие ткани. Названия и лечения этих инсультов отли

"Левая рука и нога уже совсем не слушаются, еще немеют и как будто одеревенели," - беспокойный взгляд пациента был направлен на невролога, собиравшего анамнез пострадавшего. Доктор поинтересовался, как давно это появилось. "Уже два дня, может и три," - пациент собирался с мыслями, а потом добавил, "я-то думал, что пройдет, потому что сила то исчезала, то появлялась." Доктор тяжело вздохнул и распорядился отправить больного на РКТ головного мозга.

Выйдя из пультовой кабинета РКТ врач вынес свой вердикт - ишемический инсульт в бассейне правой СМА. Пациента госпитализировали в отделение нейрореанимации.

-2

Инсульт - по своей природе сосудистая катастрофа, которая чаще происходит в области головного мозга, хотя бывают инсульты и спинного мозга. Что подразумевается под понятием сосудистая катастрофа? Тут возможны две причины развития инсульта - это либо закупорка просвета сосуда, либо разрыв стенки сосуда с выходом крови за его пределы в окружающие ткани. Названия и лечения этих инсультов отличаются - в первом случае речь идет об ишемическом инсульте, во втором же - о геморрагическом.

Что общего у этих инсультов? Схожими могут быть проявления заболевания. Больных могут беспокоить головокружение, тошнота, слабость, нарушения силы и чувствительности в конечностях, нарушения речи, глотания и т.д. Если руки и ноги не слушаются или нарушилась их чувствительность, если появилась асимметричность лица (искривилась улыбка), то это, скорее всего, признаки инсульта. Также при обоих инсультах обычно высокое значение артериального давления, которое очень трудно поддается снижению. На этом сходства, пожалуй, заканчиваются.

-3

Ишемический инсульт, как правило, развивается постепенно, иногда признаки инсульта могут даже исчезнуть на время. Тромбы, которые перекрывают просвет сосуда, вначале бывают рыхлыми и могут рассыпаться, но со временем сосуд закрывается полностью. От этого и зависит клинические проявления заболевания.

Очень важно вовремя обратиться в клинику, как можно скорее с момента появления симптомов. От этого зависит возможный исход болезни. Есть понятие "золотого часа" - до 6 часов с начала проявлений заболевания - в течение которого возможно введение тромболитического препарата с целью полного растворения тромба, который перекрывает кровоток в сосуде. В это время еще есть шансы, что все утерянные функции обратятся, так как участок мозга еще не полностью умер.

Если же пациент поздно обращается в больницу, то лечение в основном направлено на поддержание пациента, с дальнейшей его реабилитацией.

При геморрагическом инсульте чаще всего виноват участок истончения стенки сосуда - аневризма. При повышении артериального давления, к примеру после семейной ссоры, в области аневризмы происходит разрыв и кровоизлияние. Это происходит резко, поэтому и признаки появляются внезапно. "Как будто ломом ударили по голове" - так описывают свое состояние больные. Изредка кровоизлияние протекает незаметно, единственное, что может беспокоить - легкое головокружение. В таком случае инсульт диагностируется случайно - как находка при проведении РКТ головного мозга. Лечение зависит от локализации катастрофы, если есть возможность, то пациенту проводится нейрохирургическая операция с трепанацией черепа и механическим удалением гематомы. При недоступности участка кровоизлияния в головном мозге для хирургического вмешательства проводится лечение в условиях нейрореанимации. Один из вариантов предотвращения кровоизлияния - использование методик рентгенхирургии. В данном случае аневризма заполняется специальной мелкой стружкой, таким образом укрепляется стенка в месте ее истончения.

В благоприятных условиях возможно полное восстановление утерянных функций после инсульта. На месте же инсульта формируется киста - полость в головном мозге.

Будьте внимательны к себе и к своим близким, при появлении признаков инсульта сразу вызывайте скорую. Ведь теперь Вы знаете, что время против нас.