Добавить в корзинуПозвонить
Найти в Дзене

Все о МРТ органов малого таза у женщин

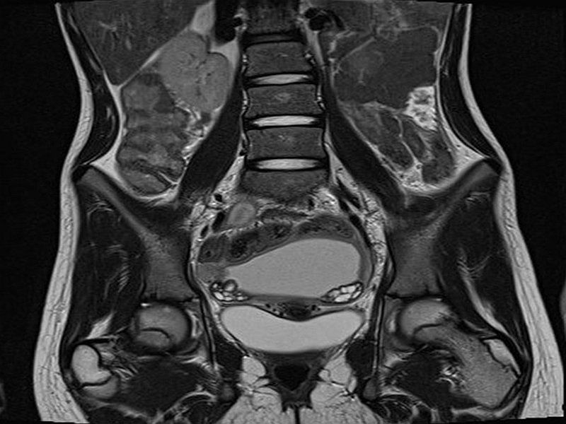
МРТ органов малого таза у женщин – это достаточно доступная процедура в клиниках Санкт-Петербурга. Ее проводят все медицинские центры, оборудованные томографами с мощностью магнитного поля не менее 1.5 Тесла. Обследование органов мочеполовой системы на менее мощном аппарате будет во многих случаях малоинформативно. МРТ малого таза у женщин на открытом томографе, как правило, используют в ситуациях крайней клаустрофобии пациентки или у маленьких детей, когда пациент не может выдержать 20-30-минутную сессию сканирования в закрытом аппарате. Существует несколько базовых протоколов исследования мочеполовых органов: Какую магнитно-резонансную томографию следует сделать, обычно определяет лечащий врач, исходя из фокуса диагностики, и отмечает протокол в своем направлении. Если женщина приняла самостоятельное решение пройти МРТ таза в качестве скрининга, начинать диагностику следует с базовой комплексной нативной МРТ малого таза у женщин. ЧТО ПОКАЖЕТ МРТ ОРГАНОВ МАЛОГО ТАЗА У ЖЕНЩИН? Женс
Оглавление

МРТ органов малого таза у женщин – это достаточно доступная процедура в клиниках Санкт-Петербурга. Ее проводят все медицинские центры, оборудованные томографами с мощностью магнитного поля не менее 1.5 Тесла. Обследование органов мочеполовой системы на менее мощном аппарате будет во многих случаях малоинформативно. МРТ малого таза у женщин на открытом томографе, как правило, используют в ситуациях крайней клаустрофобии пациентки или у маленьких детей, когда пациент не может выдержать 20-30-минутную сессию сканирования в закрытом аппарате. Существует несколько базовых протоколов исследования мочеполовых органов:

Какую магнитно-резонансную томографию следует сделать, обычно определяет лечащий врач, исходя из фокуса диагностики, и отмечает протокол в своем направлении. Если женщина приняла самостоятельное решение пройти МРТ таза в качестве скрининга, начинать диагностику следует с базовой комплексной нативной МРТ малого таза у женщин.

-2

ЧТО ПОКАЖЕТ МРТ ОРГАНОВ МАЛОГО ТАЗА У ЖЕНЩИН?

Женская МРТ малого таза получила широкое распространение при дифференциальной диагностике следующих заболеваний:

  • злокачественные новообразования, включая рак шейки матки, рак влагалища, рак матки, рак яичников, рак мочевого пузыря;
  • миомы;
  • полипы;
  • кистозные образования в матке и яичниках;
  • объемные образования в мочевом пузыре;
  • стеноз нижней части мочеточников.

ЧТО ТАКОЕ МРТ ОРГАНОВ МАЛОГО ТАЗА? 

При магнитно-резонансной томографии отсутствует лучевая нагрузка на организм, так как сканирование происходит благодаря воздействию магнитного поля, а не рентгеновских лучей. Поэтому МР-диагностика, как и УЗИ, считается абсолютно безопасным методом обследования. Ключевое преимущество этого сканирования заключается в возможности получения большого количества очень точных снимков, которые с помощью компьютерных программ трансформируются в объемные трехмерные изображения, что позволяет врачу-рентгенологу увидеть патологические изменения со всех сторон и сделать правильное заключение.

ЧТО ВХОДИТ В МРТ МАЛОГО ТАЗА У ЖЕНЩИН? 

При сканировании органов малого таза у пациентки визуализируются следующие органы: влагалище, тело матки, яичники, придатки (маточные трубы), мочевой пузырь, нижняя часть мочеточников, прямая кишка, лимфоузлы. В ходе обследования врач особое внимание уделит размерам и структуре матки, однородности миометрия, качеству эндометрия, виду и форме шейки матки и влагалища, ширине цервикального канала, особенностям анатомии правого и левого яичников, строению мочевого пузыря, тканевым особенностям прямой кишки и жировой клетчатки. Обзорно будут оценены кости таза и лимфатические узлы.

МРТ МАЛОГО ТАЗА У ЖЕНЩИН С КОНТРАСТОМ

МРТ малого таза у женщин с контрастированием - это особый метод диагностики. В ходе процедуры пациенту дополнительно вводят через локтевую вену специальный контрастный препарат на базе редкоземельного металла гадолиния. Контрастное вещество при попадании в кровь человека обладает накопительной функцией и окрашивает ткани. Область, пораженная опухолевым процессом, получает наиболее яркое окрашивание благодаря интенсивному кровотоку и на итоговых снимках отображается яркой тканевой контрастностью. МРТ малого таза с контрастом всегда проводится при подозрении на новообразования, так как контрастное усиление позволяет увидеть наименьшие аномалии и диагностировать онкологию на первых стадиях. Судить о злокачественном или доброкачественном потенциале опухоли врачи могут по типу накопления и сбрасывания контрастного вещества.

Существует два базовых способа введения контрастного препарата:

  • МРТ органов малого таза у женщин с ручным внутривенным контрастированием;
  • МРТ органов малого таза у женщин с динамическим болюсным контрастированием.

Выбор метода введения контраста зависит от первичного диагноза и целей диагностики.

ПРОЦЕДУРА

Бесконтрастная МРТ органов малого таза у женщин длится 20-30 минут. Если назначена МРТ малого таза с контрастом, продолжительность обследования увеличивается до 40-50 минут. По завершении этапа сканирования врач-рентгенолог приступает к расшифровке имеющихся томограмм. Обычно это занимает не более 1 часа. Диагност подробно описывает обнаруженные патологии, их характеристики и размеры. Письменное заключение и запись снимков на диске выдается пациентке на руки. На основании этих данных впоследствии лечащий врач сможет установить точный диагноз и назначить адекватное лечение.

Во время проведения сканирования не должно быть никаких металлических элементов в теле, на одежде и в виде украшений, так как пациент находится под воздействием сильного магнитного поля. Одежда должна быть удобной, так как необходимо пролежать в томографе неподвижно в течение некоторого времени.

Особенно важно, чтобы металла не было в организме пациентки. Ферромагнитный чужеродный предмет в тканях может вызвать ожог и кровотечение. Поэтому, если у вас установлены какие-либо импланты, вам разрешено пройти МРТ исследование, но необходимо предоставить документы (паспорт на протез, выписку из больницы), которые подтверждают, из какого сплава был сделан имплант.

Водители ритма также могут стать противопоказанием к МРТ. Сильное магнитное поле может вывести из строя кардиостимулятор, нейростимулятор, инсулиновые помпы, слуховые импланты, поэтому врач должен перед началом сканирования удостовериться, что в паспорте изделия стоит отметка о совместимости его с МРТ.

Цены на МРТ органов малого таза у женщин устанавливаются медицинскими центрами индивидуально. Они зависят от наличия или отсутствия скидок в клинике, от необходимости проводить дополнительные манипуляции (наркоз, седацию, введение контрастного вещества) и мощности магнитного поля установленного МРТ аппарата. Индукционная мощность томографа (польность) - один из самых важных факторов, определяющих и цену, и качество томографии. Существует три типа аппаратов, отличающихся по напряженности: низкопольный открытый (0,3-0,5 Тесла), высокопольный закрытый (1,5-2 Тесла) и сверхвысокопольный закрытый (3 Тесла и более). Чем меньше уровень напряженности аппарата, тем дешевле будет стоить магнитно-резонансная томография на нем, но и снимки будут меньшего разрешения. Поэтому перед тем, как делать МРТ, обязательно проконсультируйтесь с врачом о том, какой мощности оборудование лучше выбрать.

Стоит помнить, что, делая платную МРТ малого таза, пациент платит не только за технические возможности магнитно-резонансной установки, но и за квалификацию и опыт врача-рентгенолога, который проводит обследование, описывает, оценивает и интерпретирует томограммы. Поэтому при записи на диагностику нужно всегда уточнять квалификацию врача, который ведет прием в МРТ кабинете.

Значительное повышение цены на МРТ органов малого таза произойдет при использовании контрастного усиления. Обычно контрастная томография обходится в 2 раза дороже нативной версии. Необходимость такого вида исследования определяется врачом, поэтому, если назначена МРТ малого таза у женщин с контрастированием, то экономить в таком случае не стоит.

-3

КАК НЕДОРОГО ЗАПИСАТЬСЯ НА ЖЕНСКУЮ МАГНИТНО-РЕЗОНАНСНУЮ ТОМОГРАФИЮ В КЛИНИКАХ САНКТ-ПЕТЕРБУРГА? 

Сделать МРТ в Санкт-Петербурге можно как в государственных, так и частных клиниках на платной или бесплатной основе. Бесплатная МРТ малого таза по ОМС потребует получения направления от врача государственного образца и квоты. Период ожидания в очереди на обследование обычно составляет 30-40 дней. При онкологии по нормативам МРТ обязаны сделать в течение 14 дней. На коммерческой основе пройти томографию можно без бюрократической волокиты прямо в день обращения. Оперативно записаться на МРТ органов малого таза у женщин поможет бесплатная служба Единого центра записи на диагностику в СПб и Лен. области. Наши опытные консультанты помогут подобрать диагностическую клинику, исходя из ваших финансовых возможностей, месторасположения и целей обследования. Звоните, мы обязательно подберем Вам хороший вариант!