Найти в Дзене
ЗДРАВЫЙ СМЫСЛ

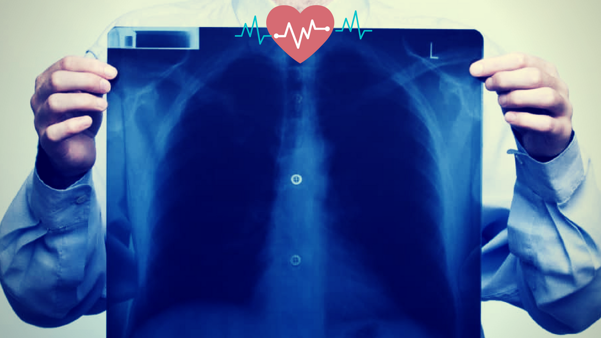
Вот почему в рентгеновском кабинете просят снять металлические предметы

Что будет, если делать рентген при неснятых с тела металлических предметах? Металл на рентгеновском снимке выглядит очень ярко, затмевая исследуемые области. Именно поэтому врач и просит вас снять металлические предметы. Если у вас в теле есть металлические имплантаты, и вы их, естественно, снять не можете, рентгенолог расположит вас на столе таким образом, чтобы имплантат не мешал сделать качественный рентгеновский снимок нужного места.
Почему металл получается таким ярким на рентгеновской пленке? Потому что он очень плотный. Рентгеновские лучи не могут пройти через него так легко, как они проходят через человеческие ткани. По той же причине кости на пленке получаются более яркими, чем все остальное, – они более плотные, чем кровь, связки или какие-либо другие мягкие органы.
Могут ли металлические предметы находиться в рентгеновском кабинете?
Если они не мешают прохождению рентгеновских лучей от рентгеновского коллиматора до требуемой к обследованию поверхности, их можно оставить.

Что будет, если делать рентген при неснятых с тела металлических предметах?

Металл на рентгеновском снимке выглядит очень ярко, затмевая исследуемые области. Именно поэтому врач и просит вас снять металлические предметы. Если у вас в теле есть металлические имплантаты, и вы их, естественно, снять не можете, рентгенолог расположит вас на столе таким образом, чтобы имплантат не мешал сделать качественный рентгеновский снимок нужного места.

Почему металл получается таким ярким на рентгеновской пленке? Потому что он очень плотный. Рентгеновские лучи не могут пройти через него так легко, как они проходят через человеческие ткани. По той же причине кости на пленке получаются более яркими, чем все остальное, – они более плотные, чем кровь, связки или какие-либо другие мягкие органы.

Могут ли металлические предметы находиться в рентгеновском кабинете?

Если они не мешают прохождению рентгеновских лучей от рентгеновского коллиматора до требуемой к обследованию поверхности, их можно оставить. Правда, если пациент находится не в рентгеновском кабинете, а в кабинете МРТ, то металлические предметы придется оставить вообще в другом помещении – при магниторезонансной томографии создается такое мощное магнитное поле, что вашим украшениям и прочим металлическим предметам не удастся удержаться на вашем теле.

При этом они и сами могут получить повреждения, и попутно травмировать вас. В общем, если врач предупреждает, что металлические предметы следует снять, не упрямьтесь, а последуйте его совету.

Статья оказалась полезной? Тогда подписывайтесь на этот канал и пусть во всем будет здравый смысл!
Не забывайте ставить "лайк", тогда больше людей узнают важную информацию.