269 читали · 1 неделю назад
Почему зуб стал розовым после лечения? Глава 118.
Представьте: приходите вы к стоматологу, а он смотрит на ваш зуб и говорит: «Ну, тут всё непросто…» Именно так было с одним из наших пациентов. У него было воспаление на корне зуба. Сам зуб скрывался под пломбой — та уже изрядно покололась. Когда мы её убрали, картина стала яснее: -стенки зуба — розоватого оттенка; -дно — тёмно‑коричневое; -ткани корня-твердые Мы обсудили с пациентом все нюансы и приступили к лечению. Но тут у многих закономерно возник вопрос: что вообще происходило с этим зубом?...
4767 читали · 4 года назад
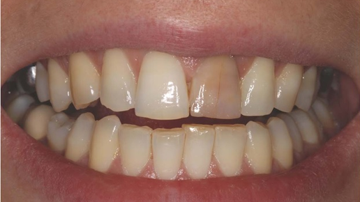
Почему зуб стал розовым и можно ли его отбелить?
Зуб мог изменить цвет из-за травмы или хронического воспалительного процесса. Возможно также, что в прошлом корневые каналы зуба были запломбированы материалом, который прокрасил его изнутри. В зависимости от причин, пигментацию убирают путем удаления окрашенных тканей и/или внутризубного отбеливания. Распространенная причина порозовения — травма зуба. Она часто сопровождается разрывом пульпы. Так называют сосудисто-нервный пучок, расположенный в полости зуба. Из поврежденных сосудов кровь проникает в дентин и заполняет его канальцы...